Telefon:
+49 (0)241 95 163 153
Fax:
+49 (0)241 95 163 155
E-Mail:
orders@antikoerper-online.de

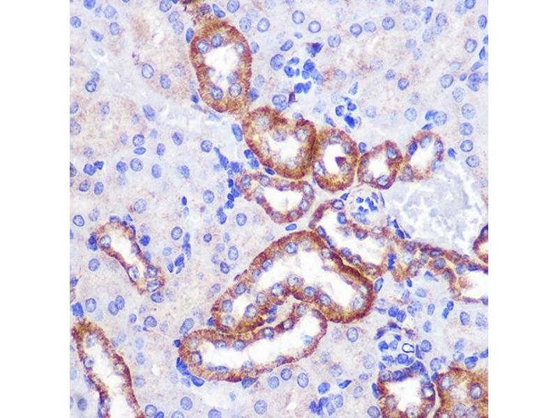
PIGM Antikörper (AA 35-96)

Der Kaninchen Polyklonal anti-PIGM Antikörper (ABIN7269294) detektiert spezifisch PIGM in WB, IHC und IF. Dieser Antikörper reagiert spezifisch mit Proben aus Human.
Produktnummer ABIN7269294
320,00 €
Zzgl. Versandkosten 20,00 € und MwSt
Lieferung nach: Deutschland
Lieferung in 7 bis 9 Werktagen

Kurzübersicht für PIGM Antikörper (AA 35-96) (ABIN7269294)

Target

Alle PIGM Antikörper anzeigen
PIGM (Phosphatidylinositol Glycan M (PIGM))

Reaktivität

  • 13
  • 2
  • 2
Human

Wirt

  • 12
  • 1
Kaninchen

Klonalität

  • 13
Polyklonal

Konjugat

  • 8
  • 1
  • 1
  • 1
  • 1
  • 1
Dieser PIGM Antikörper ist unkonjugiert

Applikation

  • 13
  • 11
  • 10
  • 9
  • 2
  • 1
Western Blotting (WB), Immunohistochemistry (IHC), Immunofluorescence (IF)
  • Bindungsspezifität

    • 9
    • 2
    • 1
    AA 35-96

    Verwendungszweck

    PIGM Rabbit pAb

    Sequenz

    YGVFQDRTLH VRYTDIDYQV FTDAARFVTE GRSPYLRATY RYTPLLGWLL TPNIYLSELF GK

    Kreuzreaktivität

    Human, Maus, Ratte

    Produktmerkmale

    Polyclonal Antibodies

    Aufreinigung

    Affinity purification

    Immunogen

    Recombinant fusion protein containing a sequence corresponding to amino acids 35-96 of human PIGM (NP_660150.1).

    Isotyp

    IgG
  • Applikationshinweise

    WB,1:500 - 1:2000,IHC,1:50 - 1:200,IF,1:50 - 1:200

    Beschränkungen

    Nur für Forschungszwecke einsetzbar
  • Format

    Liquid

    Buffer

    PBS with 0.02 % sodium azide,50 % glycerol, pH 7.3.

    Konservierungsmittel

    Sodium azide

    Vorsichtsmaßnahmen

    This product contains Sodium azide: a POISONOUS AND HAZARDOUS SUBSTANCE which should be handled by trained staff only.

    Lagerung

    -20 °C

    Informationen zur Lagerung

    Store at -20°C. Avoid freeze / thaw cycles.
  • Target

    PIGM (Phosphatidylinositol Glycan M (PIGM))

    Andere Bezeichnung

    PIGM

    Hintergrund

    This gene encodes a transmembrane protein that is located in the endoplasmic reticulum and is involved in GPI-anchor biosynthesis. The glycosylphosphatidylinositol (GPI)-anchor is a glycolipid which contains three mannose molecules in its core backbone. The GPI-anchor is found on many blood cells and serves to anchor proteins to the cell surface. This gene encodes a mannosyltransferase, GPI-MT-I, that transfers the first mannose to GPI on the lumenal side of the endoplasmic reticulum. [provided by RefSeq, Jul 2008],GPI-MT-I,PIGM,Signal Transduction,Endocrine & Metabolism,Lipid Metabolism,PIGM

    Gen-ID

    93183

    UniProt

    Q9H3S5

    Pathways

    Inositol Metabolic Process, Cellular Glucan Metabolic Process
Sie sind hier:
Chat with us!