PIGU Antikörper
Kurzübersicht für PIGU Antikörper (ABIN7269291)
Target
Alle PIGU Antikörper anzeigenReaktivität
Wirt
Klonalität
Konjugat
Applikation
-
-
Verwendungszweck
- PIGU Rabbit pAb
-
Kreuzreaktivität
- Human, Maus, Ratte
-
Produktmerkmale
- Polyclonal Antibodies
-
Aufreinigung
- Affinity purification
-
Immunogen
- Recombinant protein of human PIGU.
-
Isotyp
- IgG
-
-
-
-
Applikationshinweise
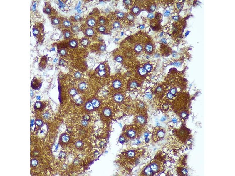
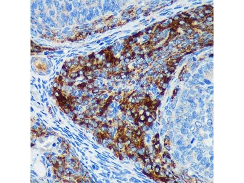
- WB,1:500 - 1:2000,IHC,1:50 - 1:200,IF,1:50 - 1:200
-
Beschränkungen
- Nur für Forschungszwecke einsetzbar
-
-
-
Format
- Liquid
-
Buffer
- PBS with 0.02 % sodium azide,50 % glycerol, pH 7.3.
-
Konservierungsmittel
- Sodium azide
-
Vorsichtsmaßnahmen
- This product contains Sodium azide: a POISONOUS AND HAZARDOUS SUBSTANCE which should be handled by trained staff only.
-
Lagerung
- -20 °C
-
Informationen zur Lagerung
- Store at -20°C. Avoid freeze / thaw cycles.
-
-
- PIGU (Phosphatidylinositol Glycan Anchor Biosynthesis, Class U (PIGU))
-
Andere Bezeichnung
- PIGU
-
Hintergrund
- The protein encoded by this gene shares similarity with Saccharomyces cerevisiae Cdc91, a predicted integral membrane protein that may function in cell division control. The protein encoded by this gene is the fifth subunit of GPI transamidase that attaches GPI-anchors to proteins. [provided by RefSeq, Jul 2008],CDC91L1,GAB1,PIGU,PIGU
-
Gen-ID
- 128869
-
UniProt
- Q9H490
-
Pathways
- Inositol Metabolic Process
Target
-