Telefon:
+49 (0)241 95 163 153
Fax:
+49 (0)241 95 163 155
E-Mail:
orders@antikoerper-online.de

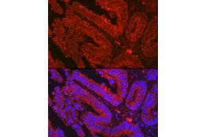
Olfactomedin 4 Antikörper (AA 211-510)

Der Kaninchen Polyklonal anti-Olfactomedin 4 Antikörper (ABIN7269084) detektiert spezifisch Olfactomedin 4 in WB und IF. Dieser Antikörper reagiert spezifisch mit Proben aus Human.
Produktnummer ABIN7269084
320,00 €
Zzgl. Versandkosten 20,00 € und MwSt
Lieferung nach: Deutschland
Lieferung in 7 bis 9 Werktagen

Kurzübersicht für Olfactomedin 4 Antikörper (AA 211-510) (ABIN7269084)

Target

Alle Olfactomedin 4 (OLFM4) Antikörper anzeigen
Olfactomedin 4 (OLFM4)

Reaktivität

  • 44
  • 35
  • 34
  • 4
  • 3
  • 2
  • 2
  • 2
  • 2
  • 1
  • 1
  • 1
  • 1
Human

Wirt

  • 68
  • 1
Kaninchen

Klonalität

  • 58
  • 12
Polyklonal

Konjugat

  • 26
  • 12
  • 5
  • 2
  • 2
  • 2
  • 2
  • 2
  • 2
  • 2
  • 1
  • 1
  • 1
  • 1
  • 1
  • 1
  • 1
  • 1
  • 1
  • 1
  • 1
  • 1
  • 1
Dieser Olfactomedin 4 Antikörper ist unkonjugiert

Applikation

  • 56
  • 20
  • 14
  • 14
  • 13
  • 13
  • 7
  • 4
  • 4
  • 2
  • 2
  • 1
Western Blotting (WB), Immunofluorescence (IF)
  • Bindungsspezifität

    • 15
    • 6
    • 4
    • 3
    • 3
    • 2
    • 2
    • 2
    • 1
    • 1
    AA 211-510

    Verwendungszweck

    OLFM4 Rabbit pAb

    Sequenz

    AIRREIVALK TKLKECEASK DQNTPVVHPP PTPGSCGHGG VVNISKPSVV QLNWRGFSYL YGAWGRDYSP QHPNKGLYWV APLNTDGRLL EYYRLYNTLD DLLLYINARE LRITYGQGSG TAVYNNNMYV NMYNTGNIAR VNLTTNTIAV TQTLPNAAYN NRFSYANVAW QDIDFAVDEN GLWVIYSTEA STGNMVISKL NDTTLQVLNT WYTKQYKPSA SNAFMVCGVL YATRTMNTRT EEIFYYYDTN TGKEGKLDIV MHKMQEKVQS INYNPFDQKL YVYNDGYLLN YDLSVLQKPQ

    Kreuzreaktivität

    Human, Maus, Ratte

    Produktmerkmale

    Polyclonal Antibodies

    Aufreinigung

    Affinity purification

    Immunogen

    Recombinant fusion protein containing a sequence corresponding to amino acids 211-510 of human OLFM4 (NP_006409.3).

    Isotyp

    IgG
  • Applikationshinweise

    WB,1:200 - 1:2000,IF,1:50 - 1:200

    Beschränkungen

    Nur für Forschungszwecke einsetzbar
  • Format

    Liquid

    Buffer

    PBS with 0.02 % sodium azide,50 % glycerol, pH 7.3.

    Konservierungsmittel

    Sodium azide

    Vorsichtsmaßnahmen

    This product contains Sodium azide: a POISONOUS AND HAZARDOUS SUBSTANCE which should be handled by trained staff only.

    Lagerung

    -20 °C

    Informationen zur Lagerung

    Store at -20°C. Avoid freeze / thaw cycles.
  • Target

    Olfactomedin 4 (OLFM4)

    Andere Bezeichnung

    OLFM4

    Hintergrund

    This gene was originally cloned from human myeloblasts and found to be selectively expressed in inflammed colonic epithelium. This gene encodes a member of the olfactomedin family. The encoded protein is an antiapoptotic factor that promotes tumor growth and is an extracellular matrix glycoprotein that facilitates cell adhesion.,OLFM4,GC1,GW112,OLM4,OlfD,UNQ362,bA209J19.1,hGC-1,hOLfD,Cancer,Tumor biomarkers,OLFM4

    Molekulargewicht

    57kDa

    Gen-ID

    10562

    UniProt

    Q6UX06
Sie sind hier:
Chat with us!