Telefon:
+49 (0)241 95 163 153
Fax:
+49 (0)241 95 163 155
E-Mail:
orders@antikoerper-online.de

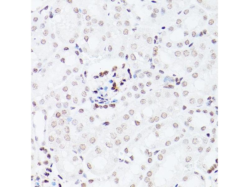
NSUN5 Antikörper (AA 277-466)

Der Kaninchen Polyklonal anti-NSUN5 Antikörper (ABIN7268955) detektiert spezifisch NSUN5 in WB und IHC. Dieser Antikörper reagiert spezifisch mit Proben aus Human.
Produktnummer ABIN7268955
320,00 €
Zzgl. Versandkosten 20,00 € und MwSt
Lieferung nach: Deutschland
Lieferung in 7 bis 9 Werktagen

Kurzübersicht für NSUN5 Antikörper (AA 277-466) (ABIN7268955)

Target

Alle NSUN5 Antikörper anzeigen
NSUN5 (NOP2/Sun Domain Family, Member 5 (NSUN5))

Reaktivität

  • 26
  • 4
  • 1
Human

Wirt

  • 26
Kaninchen

Klonalität

  • 26
Polyklonal

Konjugat

  • 9
  • 2
  • 2
  • 2
  • 1
  • 1
  • 1
  • 1
  • 1
  • 1
  • 1
  • 1
  • 1
  • 1
  • 1
Dieser NSUN5 Antikörper ist unkonjugiert

Applikation

  • 22
  • 13
  • 13
  • 10
  • 3
  • 3
  • 2
  • 1
  • 1
Western Blotting (WB), Immunohistochemistry (IHC)
  • Bindungsspezifität

    • 15
    • 4
    • 2
    • 1
    • 1
    • 1
    • 1
    AA 277-466

    Verwendungszweck

    NSUN5 Rabbit pAb

    Sequenz

    SCCELAEEDF LAVSPSDPRY HEVHYILLDP SCSGSGMPSR QLEEPGAGTP SPVRLHALAG FQQRALCHAL TFPSLQRLVY STCSLCQEEN EDVVRDALQQ NPGAFRLAPA LPAWPHRGLS TFPGAEHCLR ASPETTLSSG FFVAVIERVE VPSSASQAKA SAPERTPSPA PKRKKRQQRA AAGACTPPCT

    Kreuzreaktivität

    Human, Maus, Ratte

    Produktmerkmale

    Polyclonal Antibodies

    Aufreinigung

    Affinity purification

    Immunogen

    Recombinant fusion protein containing a sequence corresponding to amino acids 277-466 of human NSUN5 (NP_683759.1).

    Isotyp

    IgG
  • Applikationshinweise

    WB,1:200 - 1:2000,IHC,1:50 - 1:200

    Beschränkungen

    Nur für Forschungszwecke einsetzbar
  • Format

    Liquid

    Buffer

    PBS with 0.02 % sodium azide,50 % glycerol, pH 7.3.

    Konservierungsmittel

    Sodium azide

    Vorsichtsmaßnahmen

    This product contains Sodium azide: a POISONOUS AND HAZARDOUS SUBSTANCE which should be handled by trained staff only.

    Lagerung

    -20 °C

    Informationen zur Lagerung

    Store at -20°C. Avoid freeze / thaw cycles.
  • Target

    NSUN5 (NOP2/Sun Domain Family, Member 5 (NSUN5))

    Andere Bezeichnung

    NSUN5

    Hintergrund

    This gene encodes a member of an evolutionarily conserved family of proteins that may function as methyltransferases. This gene is located in a larger region of chromosome 7 that is deleted in Williams-Beuren syndrome, a multisystem developmental disorder. There are two pseudogenes for this gene located in the same region of chromosome 7. Alternative splicing results in multiple transcript variants encoding different isoforms.,NSUN5,NOL1,NOL1R,NSUN5A,WBSCR20,WBSCR20A,p120,p120(NOL1),Epigenetics & Nuclear Signaling,RNA Binding,Signal Transduction,Endocrine & Metabolism,NSUN5

    Molekulargewicht

    36kDa/42kDa/46kDa/50kDa/51kDa

    Gen-ID

    55695

    UniProt

    Q96P11
Sie sind hier:
Chat with us!