Telefon:
+49 (0)241 95 163 153
Fax:
+49 (0)241 95 163 155
E-Mail:
orders@antikoerper-online.de

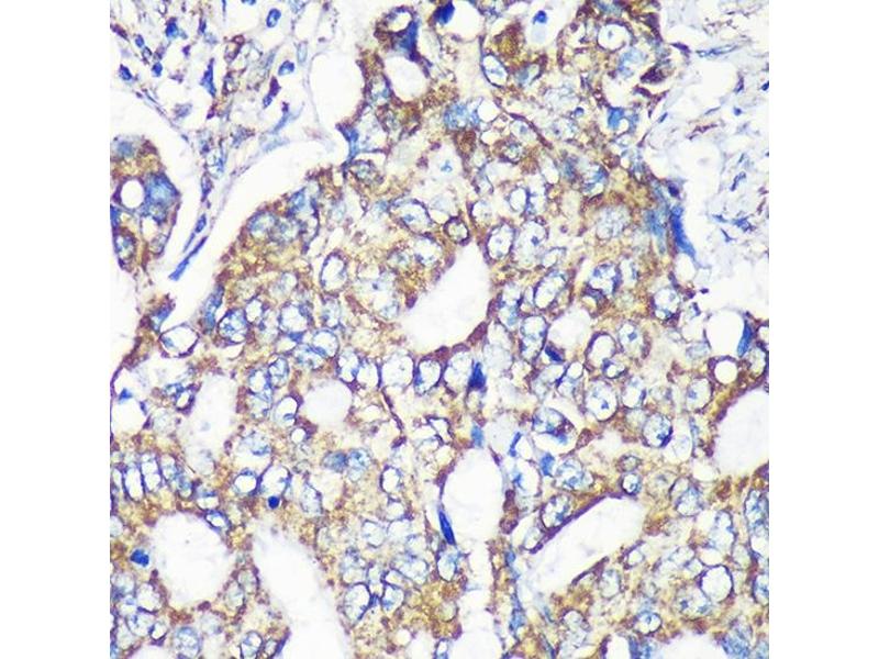
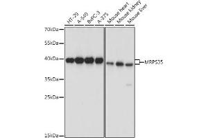
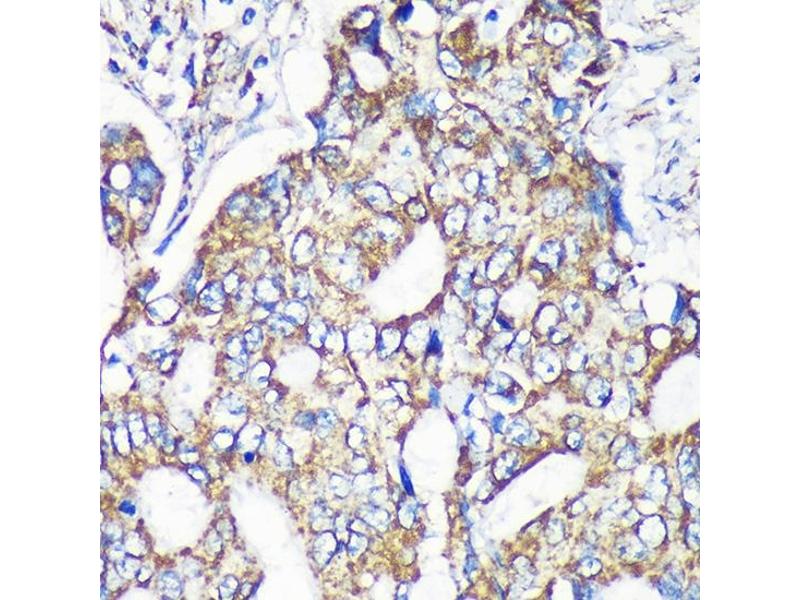
MRPS35 Antikörper (AA 1-323)

Dieser Kaninchen Polyklonal Antikörper detektiert spezifisch MRPS35 in WB, IHC und IF. Es zeigt Reaktivität gegenüber Proben von Human.
Produktnummer ABIN7268587
320,00 €
Zzgl. Versandkosten 20,00 € und MwSt
Lieferung nach: Deutschland
Lieferung in 7 bis 9 Werktagen

Kurzübersicht für MRPS35 Antikörper (AA 1-323) (ABIN7268587)

Target

Alle MRPS35 Antikörper anzeigen
MRPS35 (Mitochondrial Ribosomal Protein S35 (MRPS35))

Reaktivität

  • 13
  • 3
  • 2
Human

Wirt

  • 9
  • 4
Kaninchen

Klonalität

  • 12
  • 1
Polyklonal

Konjugat

  • 13
Dieser MRPS35 Antikörper ist unkonjugiert

Applikation

  • 13
  • 5
  • 4
  • 3
  • 1
  • 1
  • 1
Western Blotting (WB), Immunohistochemistry (IHC), Immunofluorescence (IF)
  • Bindungsspezifität

    • 2
    • 1
    • 1
    • 1
    • 1
    • 1
    • 1
    AA 1-323

    Verwendungszweck

    MRPS35 Rabbit pAb

    Sequenz

    MAAAALPAWL SLQSRARTLR AFSTAVYSAT PVPTPSLPER TPGNERPPRR KALPPRTEKM AVDQDWPSVY PVAAPFKPSA VPLPVRMGYP VKKGVPMAKE GNLELLKIPN FLHLTPVAIK KHCEALKDFC TEWPAALDSD EKCEKHFPIE IDSTDYVSSG PSVRNPRARV VVLRVKLSSL NLDDHAKKKL IKLVGERYCK TTDVLTIKTD RCPLRRQNYD YAVYLLTVLY HESWNTEEWE KSKTEADMEE YIWENSSSER NILETLLQMK AAEKNMEINK EELLGTKEIE EYKKSVVSLK NEEENENSIS QYKESVKRLL NVT

    Kreuzreaktivität

    Human, Maus

    Produktmerkmale

    Polyclonal Antibodies

    Aufreinigung

    Affinity purification

    Immunogen

    Recombinant fusion protein containing a sequence corresponding to amino acids 1-323 of human MRPS35 (NP_068593.2).

    Isotyp

    IgG
  • Applikationshinweise

    WB,1:500 - 1:2000,IHC,1:50 - 1:200,IF,1:50 - 1:200

    Beschränkungen

    Nur für Forschungszwecke einsetzbar
  • Format

    Liquid

    Buffer

    PBS with 0.02 % sodium azide,50 % glycerol, pH 7.3.

    Konservierungsmittel

    Sodium azide

    Vorsichtsmaßnahmen

    This product contains Sodium azide: a POISONOUS AND HAZARDOUS SUBSTANCE which should be handled by trained staff only.

    Lagerung

    -20 °C

    Informationen zur Lagerung

    Store at -20°C. Avoid freeze / thaw cycles.
  • Target

    MRPS35 (Mitochondrial Ribosomal Protein S35 (MRPS35))

    Andere Bezeichnung

    MRPS35

    Hintergrund

    Mammalian mitochondrial ribosomal proteins are encoded by nuclear genes and help in protein synthesis within the mitochondrion. Mitochondrial ribosomes (mitoribosomes) consist of a small 28S subunit and a large 39S subunit. They have an estimated 75 % protein to rRNA composition compared to prokaryotic ribosomes, where this ratio is reversed. Another difference between mammalian mitoribosomes and prokaryotic ribosomes is that the latter contain a 5S rRNA. Among different species, the proteins comprising the mitoribosome differ greatly in sequence, and sometimes in biochemical properties, which prevents easy recognition by sequence homology. This gene encodes a 28S subunit protein that has had confusing nomenclature in the literature. Alternatively spliced transcript variants encoding different isoforms have been found for this gene. Pseudogenes corresponding to this gene are found on chromosomes 3p, 5q, and 10q.,MRPS35,HDCMD11P,MDS023,MRP-S28,MRPS28,Epigenetics & Nuclear Signaling,Endocrine & Metabolism,Mitochondrial metabolism,Mitochondrial translation,MRPS35

    Molekulargewicht

    21kDa/36kDa

    Gen-ID

    60488

    UniProt

    P82673
Sie sind hier:
Chat with us!