Telefon:
+49 (0)241 95 163 153
Fax:
+49 (0)241 95 163 155
E-Mail:
orders@antikoerper-online.de

LUM Antikörper

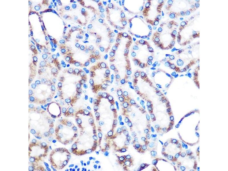
Der Kaninchen Monoklonal anti-LUM Antikörper wird verwendet zum Nachweis von LUM in Proben von Human. Er wurde validiert für WB und IHC.
Produktnummer ABIN7268309
330,00 €
Zzgl. Versandkosten 20,00 € und MwSt
Lieferung nach: Deutschland
Lieferung in 7 bis 9 Werktagen

Kurzübersicht für LUM Antikörper (ABIN7268309)

Target

Alle LUM Antikörper anzeigen
LUM (Lumican (LUM))

Reaktivität

  • 84
  • 50
  • 36
  • 4
  • 4
  • 3
  • 3
  • 2
  • 2
  • 1
  • 1
Human

Wirt

  • 86
  • 11
Kaninchen

Klonalität

  • 67
  • 30
Monoklonal

Konjugat

  • 43
  • 12
  • 5
  • 3
  • 3
  • 3
  • 3
  • 3
  • 3
  • 3
  • 1
  • 1
  • 1
  • 1
  • 1
  • 1
  • 1
  • 1
  • 1
  • 1
  • 1
  • 1
  • 1
  • 1
  • 1
  • 1
Dieser LUM Antikörper ist unkonjugiert

Applikation

  • 67
  • 36
  • 23
  • 21
  • 20
  • 16
  • 13
  • 13
  • 6
  • 5
  • 3
  • 2
  • 2
  • 2
  • 2
Western Blotting (WB), Immunohistochemistry (IHC)
  • Verwendungszweck

    Lumican (LUM) Rabbit mAb

    Kreuzreaktivität

    Human, Maus

    Produktmerkmale

    Monoclonal Antibodies

    Aufreinigung

    Affinity purification

    Immunogen

    A synthesized peptide derived from human Lumican (LUM) (LUM)

    Isotyp

    IgG
  • Applikationshinweise

    WB,1:500 - 1:2000,IHC,1:50 - 1:200

    Beschränkungen

    Nur für Forschungszwecke einsetzbar
  • Format

    Liquid

    Buffer

    PBS with 0.02 % sodium azide,0.05 % BSA,50 % glycerol, pH 7.3.

    Konservierungsmittel

    Sodium azide

    Vorsichtsmaßnahmen

    This product contains Sodium azide: a POISONOUS AND HAZARDOUS SUBSTANCE which should be handled by trained staff only.

    Lagerung

    -20 °C

    Informationen zur Lagerung

    Store at -20°C. Avoid freeze / thaw cycles.
  • Target

    LUM (Lumican (LUM))

    Andere Bezeichnung

    LUM

    Hintergrund

    This gene encodes a member of the small leucine-rich proteoglycan (SLRP) family that includes decorin, biglycan, fibromodulin, keratocan, epiphycan, and osteoglycin. In these bifunctional molecules, the protein moiety binds collagen fibrils and the highly charged hydrophilic glycosaminoglycans regulate interfibrillar spacings. Lumican is the major keratan sulfate proteoglycan of the cornea but is also distributed in interstitial collagenous matrices throughout the body. Lumican may regulate collagen fibril organization and circumferential growth, corneal transparency, and epithelial cell migration and tissue repair. [provided by RefSeq, Jul 2008],LDC, SLRR2D,Cancer,Cell Biology & Developmental Biology,Cytoskeleton,Extracellular Matrix,Invasion and Metastasis,Signal Transduction,LUM

    Molekulargewicht

    52kDa

    Gen-ID

    4060

    UniProt

    P51884

    Pathways

    Glycosaminoglycan Metabolic Process
Sie sind hier:
Chat with us!