HMMR Antikörper
Kurzübersicht für HMMR Antikörper (ABIN7267800)
Target
Alle HMMR Antikörper anzeigenReaktivität
Wirt
Klonalität
Konjugat
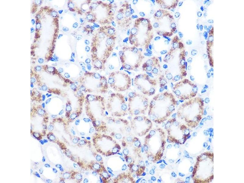
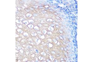
Applikation
-
-
Verwendungszweck
- CD168/RHAMM Rabbit mAb
-
Kreuzreaktivität
- Human, Maus
-
Produktmerkmale
- Monoclonal Antibodies
-
Aufreinigung
- Affinity purification
-
Immunogen
- A synthesized peptide derived from human CD168/RHAMM
-
Isotyp
- IgG
-
-
-
-
Applikationshinweise
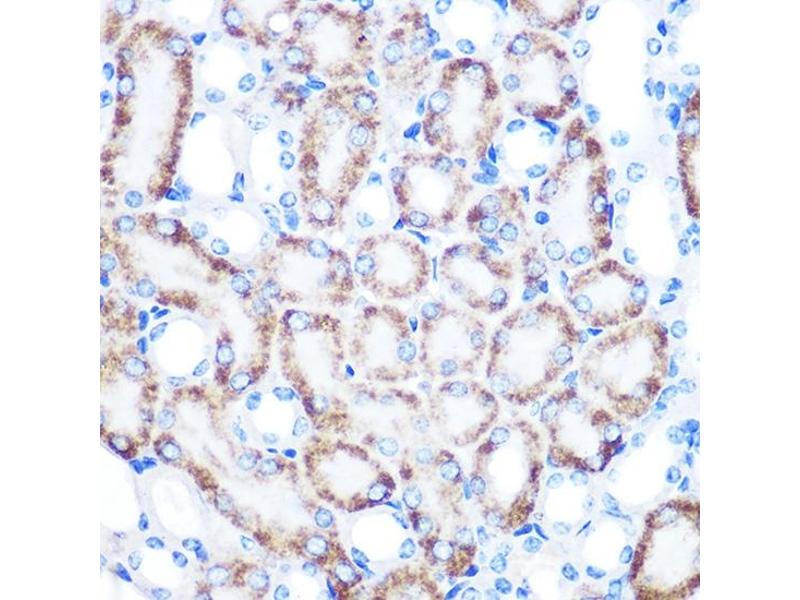
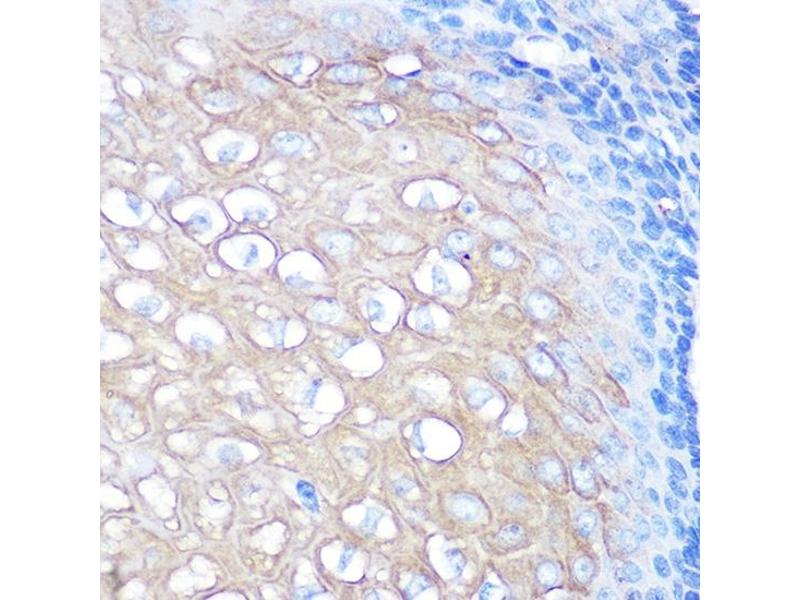
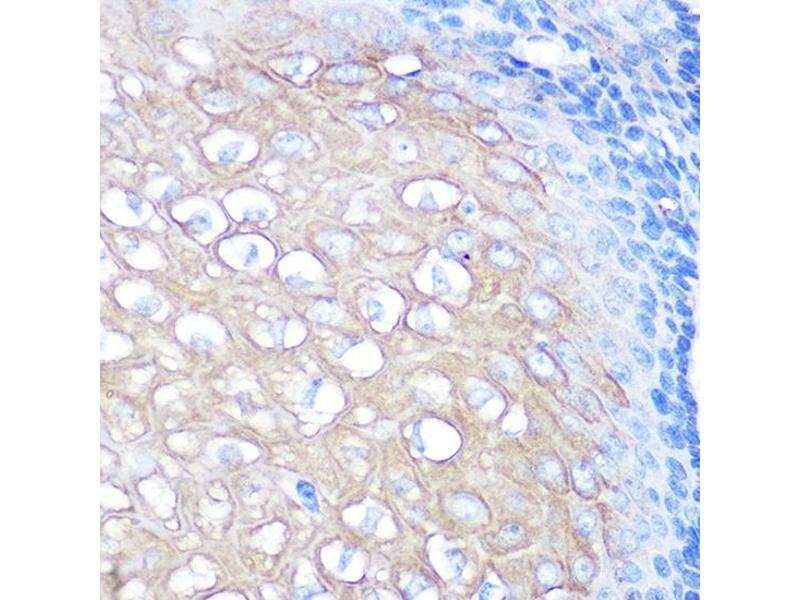
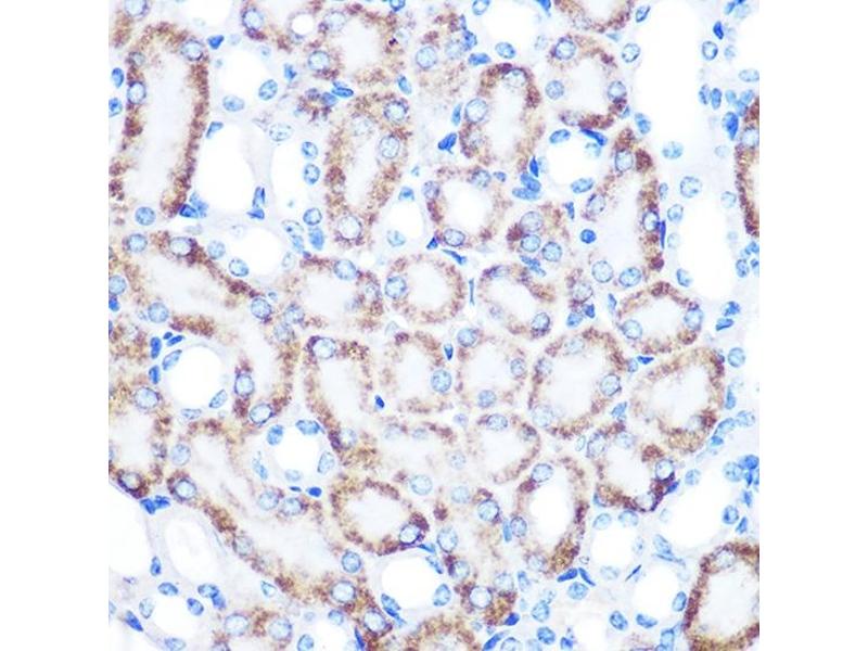
- WB,1:500 - 1:2000,IHC,1:50 - 1:200
-
Beschränkungen
- Nur für Forschungszwecke einsetzbar
-
-
-
Format
- Liquid
-
Buffer
- PBS with 0.02 % sodium azide,0.05 % BSA,50 % glycerol, pH 7.3.
-
Konservierungsmittel
- Sodium azide
-
Vorsichtsmaßnahmen
- This product contains Sodium azide: a POISONOUS AND HAZARDOUS SUBSTANCE which should be handled by trained staff only.
-
Lagerung
- -20 °C
-
Informationen zur Lagerung
- Store at -20°C. Avoid freeze / thaw cycles.
-
-
- HMMR (Hyaluronan-Mediated Motility Receptor (RHAMM) (HMMR))
-
Andere Bezeichnung
- HMMR
-
Hintergrund
- The protein encoded by this gene is involved in cell motility. It is expressed in breast tissue and together with other proteins, it forms a complex with BRCA1 and BRCA2, thus is potentially associated with higher risk of breast cancer. Alternatively spliced transcript variants encoding different isoforms have been noted for this gene. [provided by RefSeq, Dec 2008],CD168, IHABP, RHAMM,Cancer,CDs,Cell Biology & Developmental Biology,Embryonic Stem Cells,Immunology & Inflammation,Stem Cells,Tumor immunology,HMMR
-
Molekulargewicht
- 85kDa
-
Gen-ID
- 3161
-
UniProt
- O75330
-
Pathways
- Glycosaminoglycan Metabolic Process
Target
-