Telefon:
+49 (0)241 95 163 153
Fax:
+49 (0)241 95 163 155
E-Mail:
orders@antikoerper-online.de

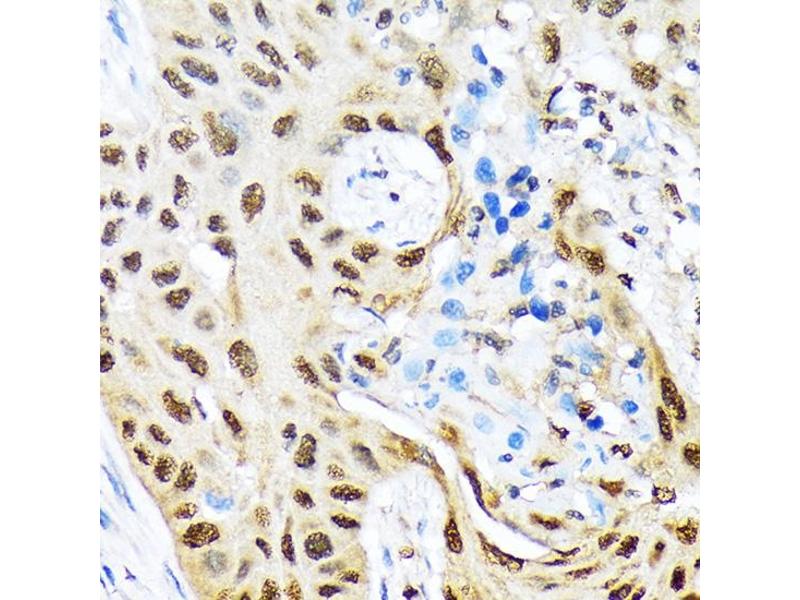
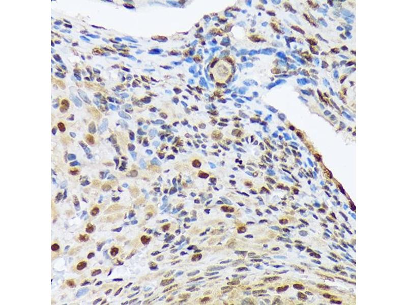
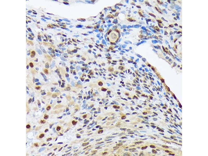
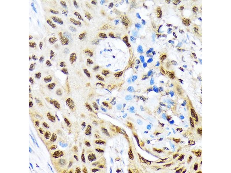
HES5 Antikörper

Der Kaninchen Monoklonal anti-HES5 Antikörper wird verwendet zum Nachweis von HES5 in Proben von Human. Er wurde validiert für WB und IHC.
Produktnummer ABIN7267559
330,00 €
Zzgl. Versandkosten 20,00 € und MwSt
Lieferung nach: Deutschland
Lieferung in 7 bis 9 Werktagen

Kurzübersicht für HES5 Antikörper (ABIN7267559)

Target

Alle HES5 Antikörper anzeigen
HES5 (Hairy and Enhancer of Split 5 (HES5))

Reaktivität

  • 44
  • 39
  • 39
  • 3
  • 2
  • 2
  • 1
Human

Wirt

  • 52
  • 2
Kaninchen

Klonalität

  • 39
  • 15
Monoklonal

Konjugat

  • 22
  • 3
  • 2
  • 2
  • 2
  • 2
  • 2
  • 2
  • 2
  • 2
  • 1
  • 1
  • 1
  • 1
  • 1
  • 1
  • 1
  • 1
  • 1
  • 1
  • 1
  • 1
  • 1
Dieser HES5 Antikörper ist unkonjugiert

Applikation

  • 43
  • 16
  • 15
  • 13
  • 13
  • 10
  • 6
  • 4
  • 2
  • 1
Western Blotting (WB), Immunohistochemistry (IHC)
  • Verwendungszweck

    HES5 Rabbit mAb

    Kreuzreaktivität

    Human, Maus, Ratte

    Produktmerkmale

    Monoclonal Antibodies

    Aufreinigung

    Affinity purification

    Immunogen

    A synthesized peptide derived from human HES5

    Isotyp

    IgG
  • Applikationshinweise

    WB,1:500 - 1:2000,IHC,1:50 - 1:200

    Beschränkungen

    Nur für Forschungszwecke einsetzbar
  • Format

    Liquid

    Buffer

    PBS with 0.02 % sodium azide,0.05 % BSA,50 % glycerol, pH 7.3.

    Konservierungsmittel

    Sodium azide

    Vorsichtsmaßnahmen

    This product contains Sodium azide: a POISONOUS AND HAZARDOUS SUBSTANCE which should be handled by trained staff only.

    Lagerung

    -20 °C

    Informationen zur Lagerung

    Store at -20°C. Avoid freeze / thaw cycles.
  • Target

    HES5 (Hairy and Enhancer of Split 5 (HES5))

    Andere Bezeichnung

    HES5

    Hintergrund

    This gene encodes a member of a family of basic helix-loop-helix transcriptional repressors. The protein product of this gene, which is activated downstream of the Notch pathway, regulates cell differentiation in multiple tissues. Disruptions in the normal expression of this gene have been associated with developmental diseases and cancer. [provided by RefSeq, Dec 2008],bHLHb38,Epigenetics & Nuclear Signaling,Neural Stem Cells,Neuroscience,Stem Cells,Transcription Factors,HES5

    Molekulargewicht

    18kDa

    Gen-ID

    388585

    UniProt

    Q5TA89

    Pathways

    Stem Cell Maintenance, Tube Formation
Sie sind hier:
Chat with us!