×
Aktivieren Sie Javascript in Ihrem Browser, um unsere Webseite optimal zu nutzen.
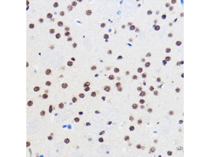
GTF3C3 Antikörper
Der Kaninchen Polyklonal anti-GTF3C3 Antikörper (ABIN7267374) detektiert spezifisch GTF3C3 in WB, IHC und IF.
Dieser Antikörper reagiert spezifisch mit Proben aus Human.
Produktnummer ABIN7267374
320,00 €
Zzgl. Versandkosten 20,00 € und MwSt
20 μL ABIN7532537
100 μL ABIN7267374
500 μL ABIN7753780
1000 μL ABIN7753783
20 μL ABIN7532537
100 μL ABIN7267374
500 μL ABIN7753780
1000 μL ABIN7753783
Lieferung in 7 bis 9 Werktagen
Kurzübersicht für GTF3C3 Antikörper (ABIN7267374)
Target
Alle GTF3C3 Antikörper anzeigen
GTF3C3
(General Transcription Factor IIIC, Polypeptide 3, 102kDa (GTF3C3))
Reaktivität
Alle Reaktivitäten für GTF3C3 Antikörper
Human
Wirt
Alle Wirte für GTF3C3 Antikörper
Kaninchen
Klonalität
Alle Klonalitäten für GTF3C3 Antikörper
Polyklonal
Konjugat
Alle Konjugate für GTF3C3 Antikörper
Dieser GTF3C3 Antikörper ist unkonjugiert
Applikation
Alle Applikationen für GTF3C3 Antikörper
Western Blotting (WB), Immunohistochemistry (IHC), Immunofluorescence (IF)
Produktdetails anti-GTF3C3 Antikörper
(ausblenden)
Verwendungszweck
GTF3C3 Rabbit pAb
Kreuzreaktivität
Human, Maus, Ratte
Produktmerkmale
Polyclonal Antibodies
Aufreinigung
Affinity purification
Immunogen
Recombinant protein of human GTF3C3.
Isotyp
IgG
Alternativen
(anzeigen)
Anwendungsinformationen
(ausblenden)
Applikationshinweise
WB,1:500 - 1:2000,IHC,1:50 - 1:200,IF,1:50 - 1:200
Beschränkungen
Nur für Forschungszwecke einsetzbar
Handhabung
(ausblenden)
Format
Liquid
Buffer
PBS with 0.02 % sodium azide,50 % glycerol, pH 7.3.
Konservierungsmittel
Sodium azide
Vorsichtsmaßnahmen
This product contains Sodium azide: a POISONOUS AND HAZARDOUS SUBSTANCE which should be handled by trained staff only.
Lagerung
-20 °C
Informationen zur Lagerung
Store at -20°C. Avoid freeze / thaw cycles.
Details zu GTF3C3
(ausblenden)
Target
GTF3C3
(General Transcription Factor IIIC, Polypeptide 3, 102kDa (GTF3C3))
Andere Bezeichnung
GTF3C3
Hintergrund
The protein encoded by this gene is part of the TFIIIC2 complex, which binds to the promoters of small nuclear and cytoplasmic RNA genes in order to recruit RNA polymerase III. The TFIIIC2 complex is composed of six subunits. Two transcript variants encoding different isoforms have been found for this gene. [provided by RefSeq, Oct 2011],TFIIIC102,TFIIICgamma,TFiiiC2-102,GTF3C3,Epigenetics & Nuclear Signaling,GTF3C3
Gen-ID
9330
UniProt
Q9Y5Q9
Zuletzt angesehen
(ausblenden)
Chat with us , powered by LiveChat