GTF2F2 Antikörper
Kurzübersicht für GTF2F2 Antikörper (ABIN7267373)
Target
Alle GTF2F2 Antikörper anzeigenReaktivität
Wirt
Klonalität
Konjugat
Applikation
-
-
Verwendungszweck
- GTF2F2 Rabbit mAb
-
Kreuzreaktivität
- Human, Maus, Ratte
-
Produktmerkmale
- Monoclonal Antibodies
-
Aufreinigung
- Affinity purification
-
Immunogen
- A synthesized peptide derived from human GTF2F2.
-
Isotyp
- IgG
-
-
-
-
Applikationshinweise
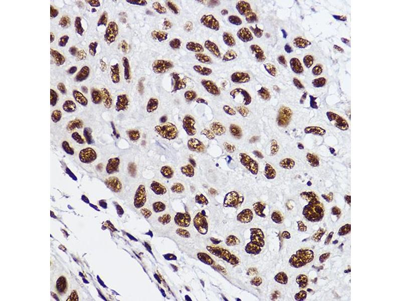
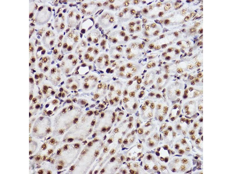
- WB,1:500 - 1:2000,IHC,1:50 - 1:200
-
Beschränkungen
- Nur für Forschungszwecke einsetzbar
-
-
-
Format
- Liquid
-
Buffer
- PBS with 0.02 % sodium azide,0.05 % BSA,50 % glycerol, pH 7.3.
-
Konservierungsmittel
- Sodium azide
-
Vorsichtsmaßnahmen
- This product contains Sodium azide: a POISONOUS AND HAZARDOUS SUBSTANCE which should be handled by trained staff only.
-
Lagerung
- -20 °C
-
Informationen zur Lagerung
- Store at -20°C. Avoid freeze / thaw cycles.
-
-
- GTF2F2 (General Transcription Factor IIF, Polypeptide 2, 30kDa (GTF2F2))
-
Andere Bezeichnung
- GTF2F2
-
Hintergrund
- TFIIF is a general transcription initiation factor that binds to RNA polymerase II and helps to recruit it to the initiation complex in collaboration with TFIIB. It promotes transcription elongation. This subunit shows ATP-dependent DNA-helicase activity.,GTF2F2, BTF4, RAP30, TF2F2, TFIIF, general transcription factor IIF subunit 2,Epigenetics & Nuclear Signaling,GTF2F2
-
Molekulargewicht
- 30kDa
-
Gen-ID
- 2963
-
UniProt
- P13984
-
Pathways
- SARS-CoV-2 Protein Interaktom
Target
-