Telefon:
+49 (0)241 95 163 153
Fax:
+49 (0)241 95 163 155
E-Mail:
orders@antikoerper-online.de

GEMIN5 Antikörper (AA 750-950)

Der Kaninchen Polyklonal anti-GEMIN5 Antikörper wird verwendet zum Nachweis von GEMIN5 in Proben von Human. Er wurde validiert für WB und IHC.
Produktnummer ABIN7267367
320,00 €
Zzgl. Versandkosten 20,00 € und MwSt
Lieferung nach: Deutschland
Lieferung in 7 bis 9 Werktagen

Kurzübersicht für GEMIN5 Antikörper (AA 750-950) (ABIN7267367)

Target

Alle GEMIN5 Antikörper anzeigen
GEMIN5 (Gem (Nuclear Organelle) Associated Protein 5 (GEMIN5))

Reaktivität

  • 6
  • 2
Human

Wirt

  • 6
Kaninchen

Klonalität

  • 6
Polyklonal

Konjugat

  • 6
Dieser GEMIN5 Antikörper ist unkonjugiert

Applikation

  • 5
  • 4
  • 2
  • 2
  • 1
  • 1
  • 1
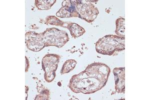
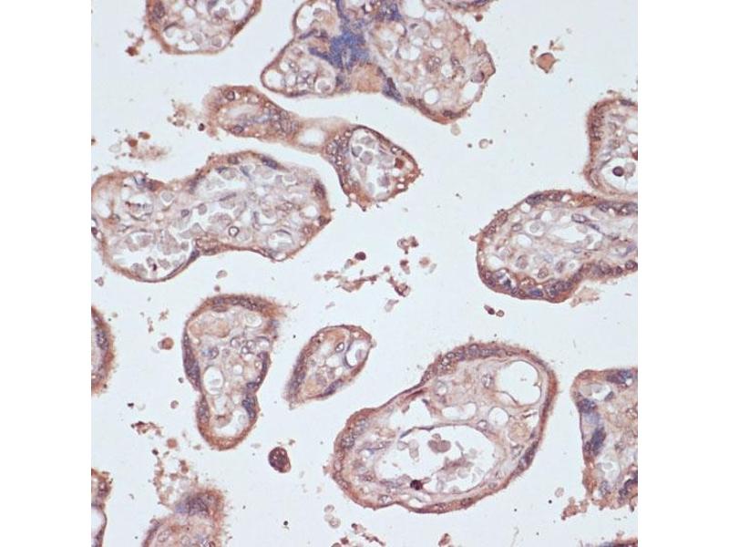
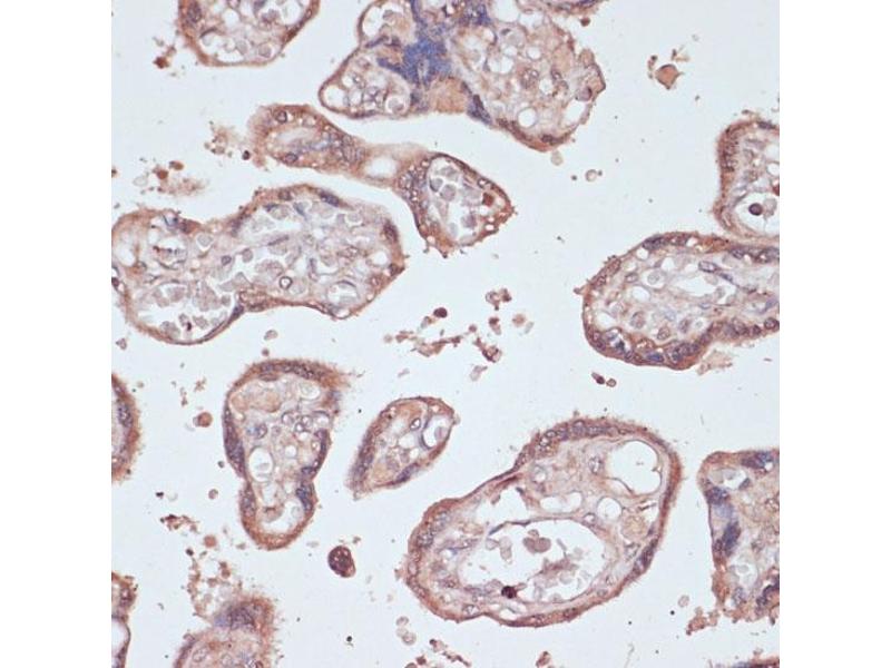
Western Blotting (WB), Immunohistochemistry (IHC)
  • Bindungsspezifität

    • 1
    • 1
    • 1
    • 1
    AA 750-950

    Verwendungszweck

    GEMIN5 Rabbit pAb

    Sequenz

    RTPVKLESID GNEEESMKEN SGPVENGVSD QEGEEQAREP ELPCGLAPAV SREPVICTPV SSGFEKSKVT INNKVILLKK EPPKEKPETL IKKRKARSLL PLSTSLDHRS KEELHQDCLV LATAKHSREL NEDVSADVEE RFHLGLFTDR ATLYRMIDIE GKGHLENGHP ELFHQLMLWK GDLKGVLQTA AERGELTDNL V

    Kreuzreaktivität

    Human, Maus, Ratte

    Produktmerkmale

    Polyclonal Antibodies

    Aufreinigung

    Affinity purification

    Immunogen

    Recombinant fusion protein containing a sequence corresponding to amino acids 750-950 of human GEMIN5 (NP_056280.2).

    Isotyp

    IgG
  • Applikationshinweise

    WB,1:500 - 1:2000,IHC,1:50 - 1:100

    Beschränkungen

    Nur für Forschungszwecke einsetzbar
  • Format

    Liquid

    Buffer

    PBS with 0.02 % sodium azide,50 % glycerol, pH 7.3.

    Konservierungsmittel

    Sodium azide

    Vorsichtsmaßnahmen

    This product contains Sodium azide: a POISONOUS AND HAZARDOUS SUBSTANCE which should be handled by trained staff only.

    Lagerung

    -20 °C

    Informationen zur Lagerung

    Store at -20°C. Avoid freeze / thaw cycles.
  • Target

    GEMIN5 (Gem (Nuclear Organelle) Associated Protein 5 (GEMIN5))

    Andere Bezeichnung

    GEMIN5

    Hintergrund

    This gene encodes a WD repeat protein that is a component of the survival of motor neurons (SMN) complex. The SMN complex plays a critical role in mRNA splicing through the assembly of spliceosomal small nuclear ribonucleoproteins (snRNPs), and may also mediate the assembly and transport of other classes of ribonucleoproteins. The encoded protein is the snRNA-binding component of the SMN complex. Dysregulation of this gene may play a role in alternative mRNA splicing and tumor cell motility. Alternatively spliced transcript variants encoding multiple isoforms have been observed for this gene.,GEMIN5,GEMIN-5,Epigenetics & Nuclear Signaling,RNA Binding,GEMIN5

    Molekulargewicht

    168kDa

    Gen-ID

    25929

    UniProt

    Q8TEQ6

    Pathways

    Ribonucleoprotein Complex Subunit Organization
Sie sind hier:
Chat with us!