Telefon:
+49 (0)241 95 163 153
Fax:
+49 (0)241 95 163 155
E-Mail:
orders@antikoerper-online.de

FBP1 Antikörper

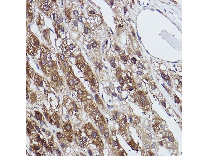
Der Kaninchen Monoklonal anti-FBP1 Antikörper (ABIN7267269) detektiert spezifisch FBP1 in WB, IHC und IF. Dieser Antikörper reagiert spezifisch mit Proben aus Human.
Produktnummer ABIN7267269
330,00 €
Zzgl. Versandkosten 20,00 € und MwSt
Lieferung nach: Deutschland
Lieferung in 7 bis 9 Werktagen

Kurzübersicht für FBP1 Antikörper (ABIN7267269)

Target

Alle FBP1 Antikörper anzeigen
FBP1 (Fructose-1,6-Bisphosphatase 1 (FBP1))

Reaktivität

  • 87
  • 52
  • 51
  • 2
  • 2
  • 2
  • 1
  • 1
  • 1
  • 1
  • 1
Human

Wirt

  • 88
  • 3
  • 2
Kaninchen

Klonalität

  • 61
  • 32
Monoklonal

Konjugat

  • 39
  • 6
  • 4
  • 4
  • 4
  • 4
  • 4
  • 4
  • 3
  • 3
  • 2
  • 2
  • 1
  • 1
  • 1
  • 1
  • 1
  • 1
  • 1
  • 1
  • 1
  • 1
  • 1
  • 1
  • 1
  • 1
Dieser FBP1 Antikörper ist unkonjugiert

Applikation

  • 80
  • 32
  • 20
  • 17
  • 15
  • 13
  • 13
  • 13
  • 8
  • 4
  • 4
  • 3
  • 2
Western Blotting (WB), Immunohistochemistry (IHC), Immunofluorescence (IF)
  • Verwendungszweck

    FBP1 Rabbit mAb

    Kreuzreaktivität

    Human, Maus, Ratte

    Produktmerkmale

    Monoclonal Antibodies

    Aufreinigung

    Affinity purification

    Immunogen

    A synthesized peptide derived from human FBP1

    Isotyp

    IgG
  • Applikationshinweise

    WB,1:500 - 1:2000,IHC,1:50 - 1:200,IF,1:50 - 1:200

    Beschränkungen

    Nur für Forschungszwecke einsetzbar
  • Format

    Liquid

    Buffer

    PBS with 0.02 % sodium azide,0.05 % BSA,50 % glycerol, pH 7.3.

    Konservierungsmittel

    Sodium azide

    Vorsichtsmaßnahmen

    This product contains Sodium azide: a POISONOUS AND HAZARDOUS SUBSTANCE which should be handled by trained staff only.

    Lagerung

    -20 °C

    Informationen zur Lagerung

    Store at -20°C. Avoid freeze / thaw cycles.
  • Target

    FBP1 (Fructose-1,6-Bisphosphatase 1 (FBP1))

    Andere Bezeichnung

    FBP1

    Hintergrund

    Fructose-1,6-bisphosphatase 1, a gluconeogenesis regulatory enzyme, catalyzes the hydrolysis of fructose 1,6-bisphosphate to fructose 6-phosphate and inorganic phosphate. Fructose-1,6-diphosphatase deficiency is associated with hypoglycemia and metabolic acidosis. [provided by RefSeq, Jul 2008],FBP,Cancer,Carbohydrate metabolism,DNA Damage & Repair,Endocrine & Metabolism,Epigenetics & Nuclear Signaling,Nucleotide metabolism,Signal Transduction,FBP1

    Molekulargewicht

    37 kDa

    Gen-ID

    2203

    UniProt

    P09467

    Pathways

    Cellular Glucan Metabolic Process, Regulation of Carbohydrate Metabolic Process, Dicarboxylic Acid Transport
Sie sind hier:
Chat with us!