Telefon:
+49 (0)241 95 163 153
Fax:
+49 (0)241 95 163 155
E-Mail:
orders@antikoerper-online.de

ERAP1 Antikörper

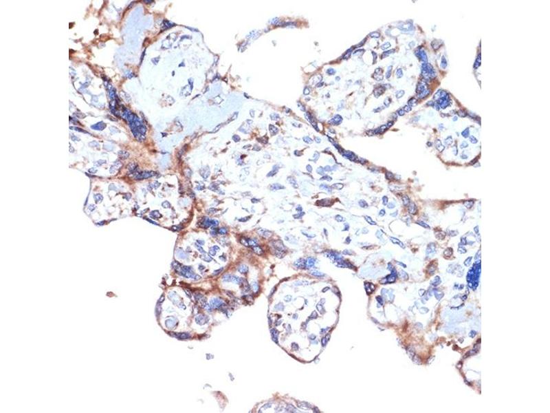
Der Kaninchen Monoklonal anti-ERAP1 Antikörper wird verwendet zum Nachweis von ERAP1 in Proben von Human. Er wurde validiert für WB und IHC.
Produktnummer ABIN7266941
330,00 €
Zzgl. Versandkosten 20,00 € und MwSt
Lieferung nach: Deutschland
Lieferung in 7 bis 9 Werktagen

Kurzübersicht für ERAP1 Antikörper (ABIN7266941)

Target

Alle ERAP1 Antikörper anzeigen
ERAP1 (Endoplasmic Reticulum Aminopeptidase 1 (ERAP1))

Reaktivität

  • 55
  • 38
  • 34
  • 1
  • 1
Human

Wirt

  • 55
  • 2
Kaninchen

Klonalität

  • 33
  • 24
Monoklonal

Konjugat

  • 28
  • 4
  • 3
  • 3
  • 3
  • 3
  • 3
  • 3
  • 2
  • 2
  • 2
  • 1
Dieser ERAP1 Antikörper ist unkonjugiert

Applikation

  • 41
  • 31
  • 17
  • 10
  • 8
  • 3
  • 3
  • 1
  • 1
  • 1
  • 1
  • 1
Western Blotting (WB), Immunohistochemistry (IHC)
  • Verwendungszweck

    ERAP1 Rabbit mAb

    Kreuzreaktivität

    Human, Maus, Ratte

    Produktmerkmale

    Monoclonal Antibodies

    Aufreinigung

    Affinity purification

    Immunogen

    A synthesized peptide derived from human ERAP1

    Isotyp

    IgG
  • Applikationshinweise

    WB,1:500 - 1:2000,IHC,1:50 - 1:200

    Beschränkungen

    Nur für Forschungszwecke einsetzbar
  • Format

    Liquid

    Buffer

    PBS with 0.02 % sodium azide,0.05 % BSA,50 % glycerol, pH 7.3.

    Konservierungsmittel

    Sodium azide

    Vorsichtsmaßnahmen

    This product contains Sodium azide: a POISONOUS AND HAZARDOUS SUBSTANCE which should be handled by trained staff only.

    Lagerung

    -20 °C

    Informationen zur Lagerung

    Store at -20°C. Avoid freeze / thaw cycles.
  • Target

    ERAP1 (Endoplasmic Reticulum Aminopeptidase 1 (ERAP1))

    Andere Bezeichnung

    ERAP1

    Hintergrund

    The protein encoded by this gene is an aminopeptidase involved in trimming HLA class I-binding precursors so that they can be presented on MHC class I molecules. The encoded protein acts as a monomer or as a heterodimer with ERAP2. This protein may also be involved in blood pressure regulation by inactivation of angiotensin II. Three transcript variants encoding two different isoforms have been found for this gene.[provided by RefSeq, Oct 2010],A-LAP, ALAP, APPILS, ARTS-1, ARTS1, ERAAP, ERAAP1, PILS-AP, PILSAP,Angiogenesis,Blood,Blood_Blood Pressure regulation,Cardiovascular,Cell Biology & Developmental Biology,Cytokines,Growth factors,Immunology & Inflammation,Ubiquitin,ERAP1

    Molekulargewicht

    100kDa

    Gen-ID

    51752

    UniProt

    Q9NZ08
Sie sind hier:
Chat with us!