×
Aktivieren Sie Javascript in Ihrem Browser, um unsere Webseite optimal zu nutzen.
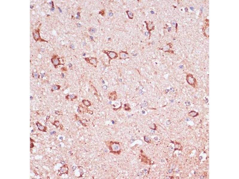
ENTPD6 Antikörper (AA 61-300)
Der Kaninchen Polyklonal anti-ENTPD6 Antikörper (ABIN7266897) detektiert spezifisch ENTPD6 in WB und IHC.
Dieser Antikörper reagiert spezifisch mit Proben aus Human.
Produktnummer ABIN7266897
320,00 €
Zzgl. Versandkosten 20,00 € und MwSt
20 μL ABIN7530646
100 μL ABIN7266897
500 μL ABIN7748672
1000 μL ABIN7748674
20 μL ABIN7530646
100 μL ABIN7266897
500 μL ABIN7748672
1000 μL ABIN7748674
Lieferung in 7 bis 9 Werktagen
Kurzübersicht für ENTPD6 Antikörper (AA 61-300) (ABIN7266897)
Target
Alle ENTPD6 Antikörper anzeigen
ENTPD6
(Ectonucleoside Triphosphate diphosphohydrolase 6 (ENTPD6))
Reaktivität
Alle Reaktivitäten für ENTPD6 Antikörper
Human
Wirt
Alle Wirte für ENTPD6 Antikörper
Kaninchen
Klonalität
Alle Klonalitäten für ENTPD6 Antikörper
Polyklonal
Konjugat
Alle Konjugate für ENTPD6 Antikörper
Dieser ENTPD6 Antikörper ist unkonjugiert
Applikation
Alle Applikationen für ENTPD6 Antikörper
Western Blotting (WB), Immunohistochemistry (IHC)
Produktdetails anti-ENTPD6 Antikörper
(ausblenden)
Bindungsspezifität
Alle Epitope für ENTPD6 Antikörper
AA 61-300
Verwendungszweck
ENTPD6 Rabbit pAb
Sequenz
WHRATATQAF FSITRAAPGA RWGQQAHSPL GTAADGHEVF YGIMFDAGST GTRVHVFQFT RPPRETPTLT HETFKALKPG LSAYADDVEK SAQGIRELLD VAKQDIPFDF WKATPLVLKA TAGLRLLPGE KAQKLLQKVK EVFKASPFLV GDDCVSIMNG TDEGVSAWIT INFLTGSLKT PGGSSVGMLD LGGGSTQIAF LPRVEGTLQA SPPGYLTALR MFNRTYKLYS YSYLGLGLMS
Kreuzreaktivität
Human, Maus, Ratte
Produktmerkmale
Polyclonal Antibodies
Aufreinigung
Affinity purification
Immunogen
Recombinant fusion protein containing a sequence corresponding to amino acids 61-300 of human ENTPD6 (NP_001304870.1).
Isotyp
IgG
Alternativen
(anzeigen)
Anwendungsinformationen
(ausblenden)
Applikationshinweise
WB,1:500 - 1:2000,IHC,1:100 - 1:200
Beschränkungen
Nur für Forschungszwecke einsetzbar
Handhabung
(ausblenden)
Format
Liquid
Buffer
PBS with 0.02 % sodium azide,50 % glycerol, pH 7.3.
Konservierungsmittel
Sodium azide
Vorsichtsmaßnahmen
This product contains Sodium azide: a POISONOUS AND HAZARDOUS SUBSTANCE which should be handled by trained staff only.
Lagerung
-20 °C
Informationen zur Lagerung
Store at -20°C. Avoid freeze / thaw cycles.
Details zu ENTPD6
(ausblenden)
Target
ENTPD6
(Ectonucleoside Triphosphate diphosphohydrolase 6 (ENTPD6))
Andere Bezeichnung
ENTPD6
Hintergrund
ENTPD6 is similar to E-type nucleotidases (NTPases). NTPases, such as CD39, mediate catabolism of extracellular nucleotides. ENTPD6 contains 4 apyrase-conserved regions which are characteristic of NTPases. Alternative splicing results in multiple transcript variants encoding different isoforms.,ENTPD6,CD39L2,IL-6SAG,IL6ST2,NTPDase-6,dJ738P15.3,Cancer,Signal Transduction,Endocrine & Metabolism,ENTPD6
Molekulargewicht
51kDa/53kDa
Gen-ID
955
UniProt
O75354
Zuletzt angesehen
(ausblenden)
Sie sind hier:
Startseite
anti-ENTPD6 Antikörper (AA 61-300) (ABIN7266897)
Chat with us , powered by LiveChat