Telefon:
+49 (0)241 95 163 153
Fax:
+49 (0)241 95 163 155
E-Mail:
orders@antikoerper-online.de

DKC1 Antikörper

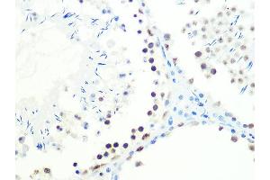
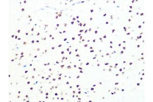
Der Kaninchen Monoklonal anti-DKC1 Antikörper wird verwendet zum Nachweis von DKC1 in Proben von Human. Er wurde validiert für WB und IHC.
Produktnummer ABIN7266869
330,00 €
Zzgl. Versandkosten 20,00 € und MwSt
Lieferung nach: Deutschland
Lieferung in 7 bis 9 Werktagen

Kurzübersicht für DKC1 Antikörper (ABIN7266869)

Target

Alle DKC1 Antikörper anzeigen
DKC1 (Dyskeratosis Congenita 1, Dyskerin (DKC1))

Reaktivität

  • 88
  • 53
  • 45
  • 3
  • 3
  • 3
  • 3
  • 3
  • 2
  • 2
  • 2
  • 1
  • 1
  • 1
  • 1
  • 1
Human

Wirt

  • 88
  • 3
  • 1
Kaninchen

Klonalität

  • 62
  • 30
Monoklonal

Konjugat

  • 37
  • 7
  • 4
  • 4
  • 4
  • 4
  • 4
  • 4
  • 4
  • 3
  • 2
  • 2
  • 1
  • 1
  • 1
  • 1
  • 1
  • 1
  • 1
  • 1
  • 1
  • 1
  • 1
  • 1
  • 1
Dieser DKC1 Antikörper ist unkonjugiert

Applikation

  • 72
  • 39
  • 32
  • 26
  • 21
  • 13
  • 13
  • 10
  • 10
  • 3
  • 3
  • 1
Western Blotting (WB), Immunohistochemistry (IHC)
  • Verwendungszweck

    DKC1 Rabbit mAb

    Kreuzreaktivität

    Human, Maus, Ratte

    Produktmerkmale

    Monoclonal Antibodies

    Aufreinigung

    Affinity purification

    Immunogen

    A synthesized peptide derived from human DKC1

    Isotyp

    IgG
  • Applikationshinweise

    WB,1:500 - 1:2000,IHC,1:50 - 1:200

    Beschränkungen

    Nur für Forschungszwecke einsetzbar
  • Format

    Liquid

    Buffer

    PBS with 0.02 % sodium azide,0.05 % BSA,50 % glycerol, pH 7.3.

    Konservierungsmittel

    Sodium azide

    Vorsichtsmaßnahmen

    This product contains Sodium azide: a POISONOUS AND HAZARDOUS SUBSTANCE which should be handled by trained staff only.

    Lagerung

    -20 °C

    Informationen zur Lagerung

    Store at -20°C. Avoid freeze / thaw cycles.
  • Target

    DKC1 (Dyskeratosis Congenita 1, Dyskerin (DKC1))

    Andere Bezeichnung

    DKC1

    Hintergrund

    This gene functions in two distinct complexes. It plays an active role in telomerase stabilization and maintenance, as well as recognition of snoRNAs containing H/ACA sequences which provides stability during biogenesis and assembly into H/ACA small nucleolar RNA ribonucleoproteins (snoRNPs). This gene is highly conserved and widely expressed, and may play additional roles in nucleo-cytoplasmic shuttling, DNA damage response, and cell adhesion. Mutations have been associated with X-linked dyskeratosis congenita. Alternative splicing results in multiple transcript variants. [provided by RefSeq, Jan 2014],CBF5, DKC, DKCX, NAP57, NOLA4, XAP101,Epigenetics & Nuclear Signaling,RNA Binding,DKC1

    Molekulargewicht

    58kDa

    Gen-ID

    1736

    UniProt

    O60832

    Pathways

    Telomere Maintenance
Sie sind hier:
Chat with us!