Telefon:
+49 (0)241 95 163 153
Fax:
+49 (0)241 95 163 155
E-Mail:
orders@antikoerper-online.de

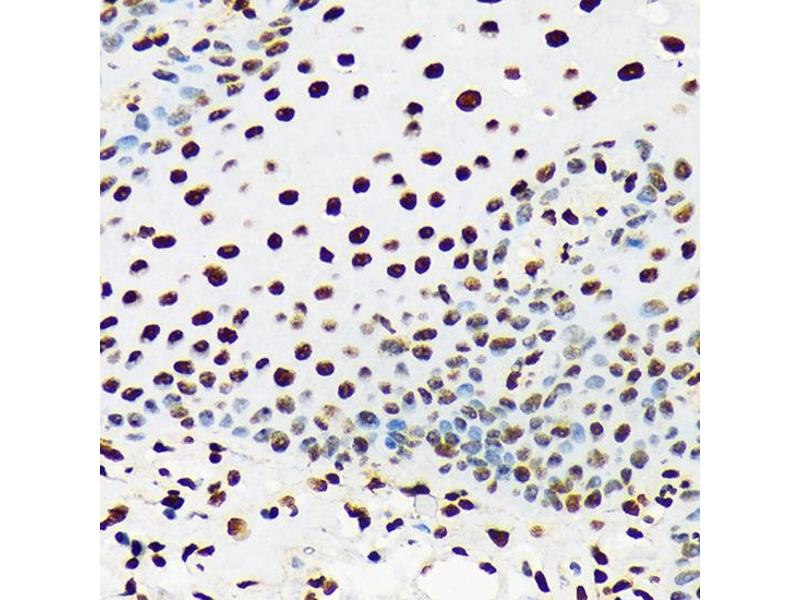
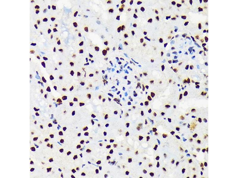
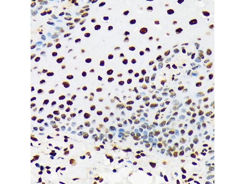
DDX39B Antikörper

Der Kaninchen Monoklonal anti-DDX39B Antikörper (ABIN7266696) detektiert spezifisch DDX39B in IHC und WB. Dieser Antikörper reagiert spezifisch mit Proben aus Human.
Produktnummer ABIN7266696
330,00 €
Zzgl. Versandkosten 20,00 € und MwSt
Lieferung nach: Deutschland
Lieferung in 7 bis 9 Werktagen

Kurzübersicht für DDX39B Antikörper (ABIN7266696)

Target

Alle DDX39B Antikörper anzeigen
DDX39B (DEAD (Asp-Glu-Ala-Asp) Box Polypeptide 39B (DDX39B))

Reaktivität

  • 46
  • 21
  • 17
  • 2
  • 2
  • 2
  • 2
  • 2
  • 2
  • 2
  • 1
  • 1
  • 1
Human

Wirt

  • 39
  • 7
Kaninchen

Klonalität

  • 28
  • 18
Monoklonal

Konjugat

  • 20
  • 5
  • 4
  • 3
  • 2
  • 2
  • 2
  • 2
  • 2
  • 2
  • 1
  • 1
Dieser DDX39B Antikörper ist unkonjugiert

Applikation

  • 34
  • 28
  • 16
  • 15
  • 13
  • 12
  • 5
  • 1
  • 1
Immunohistochemistry (IHC), Western Blotting (WB)
  • Verwendungszweck

    UAP56/DDX39B Rabbit mAb

    Kreuzreaktivität

    Human, Maus, Ratte

    Produktmerkmale

    Monoclonal Antibodies

    Aufreinigung

    Affinity purification

    Immunogen

    A synthesized peptide derived from human UAP56/DDX39B

    Isotyp

    IgG
  • Applikationshinweise

    WB,1:500 - 1:2000,IHC,1:50 - 1:200

    Beschränkungen

    Nur für Forschungszwecke einsetzbar
  • Format

    Liquid

    Buffer

    PBS with 0.02 % sodium azide,0.05 % BSA,50 % glycerol, pH 7.3.

    Konservierungsmittel

    Sodium azide

    Vorsichtsmaßnahmen

    This product contains Sodium azide: a POISONOUS AND HAZARDOUS SUBSTANCE which should be handled by trained staff only.

    Lagerung

    -20 °C

    Informationen zur Lagerung

    Store at -20°C. Avoid freeze / thaw cycles.
  • Target

    DDX39B (DEAD (Asp-Glu-Ala-Asp) Box Polypeptide 39B (DDX39B))

    Andere Bezeichnung

    DDX39B

    Hintergrund

    This gene encodes a member of the DEAD box family of RNA-dependent ATPases that mediate ATP hydrolysis during pre-mRNA splicing. The encoded protein is an essential splicing factor required for association of U2 small nuclear ribonucleoprotein with pre-mRNA, and it also plays an important role in mRNA export from the nucleus to the cytoplasm. This gene belongs to a cluster of genes localized in the vicinity of the genes encoding tumor necrosis factor alpha and tumor necrosis factor beta. These genes are all within the human major histocompatibility complex class III region. Mutations in this gene may be associated with rheumatoid arthritis. Alternative splicing results in multiple transcript variants. Related pseudogenes have been identified on both chromosomes 6 and 11. Read-through transcription also occurs between this gene and the upstream ATP6V1G2 (ATPase, H+ transporting, lysosomal 13 kDa, V1 subunit G2) gene. [provided by RefSeq, Feb 2011],BAT1, D6S81E, UAP56,Epigenetics & Nuclear Signaling,DDX39B

    Molekulargewicht

    45kDa

    Gen-ID

    7919

    UniProt

    Q13838

    Pathways

    Ribonucleoprotein Complex Subunit Organization
Sie sind hier:
Chat with us!