Telefon:
+49 (0)241 95 163 153
Fax:
+49 (0)241 95 163 155
E-Mail:
orders@antikoerper-online.de

CBS Antikörper

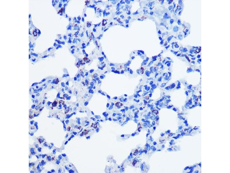
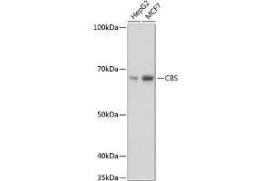
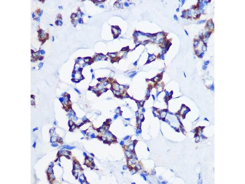
Der Kaninchen Monoklonal anti-CBS Antikörper (ABIN7266615) detektiert spezifisch CBS in WB, IHC und IF. Dieser Antikörper reagiert spezifisch mit Proben aus Human.
Produktnummer ABIN7266615
330,00 €
Zzgl. Versandkosten 20,00 € und MwSt
Lieferung nach: Deutschland
Lieferung in 7 bis 9 Werktagen

Kurzübersicht für CBS Antikörper (ABIN7266615)

Target

Alle CBS Antikörper anzeigen
CBS (Cystathionine-beta-Synthase (CBS))

Reaktivität

  • 70
  • 47
  • 15
  • 4
  • 2
  • 2
  • 2
  • 2
  • 2
  • 1
  • 1
  • 1
  • 1
Human

Wirt

  • 82
  • 11
Kaninchen

Klonalität

  • 66
  • 27
Monoklonal

Konjugat

  • 49
  • 7
  • 6
  • 4
  • 2
  • 2
  • 2
  • 2
  • 2
  • 2
  • 1
  • 1
  • 1
  • 1
  • 1
  • 1
  • 1
  • 1
  • 1
  • 1
  • 1
  • 1
  • 1
  • 1
  • 1
Dieser CBS Antikörper ist unkonjugiert

Applikation

  • 74
  • 33
  • 32
  • 26
  • 16
  • 14
  • 13
  • 13
  • 9
  • 9
  • 5
  • 3
  • 2
  • 1
  • 1
Western Blotting (WB), Immunohistochemistry (IHC), Immunofluorescence (IF)
  • Verwendungszweck

    CBS Rabbit mAb

    Kreuzreaktivität

    Human, Maus, Ratte

    Produktmerkmale

    Monoclonal Antibodies

    Aufreinigung

    Affinity purification

    Immunogen

    A synthesized peptide derived from human CBS

    Isotyp

    IgG
  • Applikationshinweise

    WB,1:500 - 1:2000,IHC,1:50 - 1:200,IF,1:50 - 1:200

    Beschränkungen

    Nur für Forschungszwecke einsetzbar
  • Format

    Liquid

    Buffer

    PBS with 0.02 % sodium azide,0.05 % BSA,50 % glycerol, pH 7.3.

    Konservierungsmittel

    Sodium azide

    Vorsichtsmaßnahmen

    This product contains Sodium azide: a POISONOUS AND HAZARDOUS SUBSTANCE which should be handled by trained staff only.

    Lagerung

    -20 °C

    Informationen zur Lagerung

    Store at -20°C. Avoid freeze / thaw cycles.
  • Target

    CBS (Cystathionine-beta-Synthase (CBS))

    Andere Bezeichnung

    CBS

    Hintergrund

    The protein encoded by this gene acts as a homotetramer to catalyze the conversion of homocysteine to cystathionine, the first step in the transsulfuration pathway. The encoded protein is allosterically activated by adenosyl-methionine and uses pyridoxal phosphate as a cofactor. Defects in this gene can cause cystathionine beta-synthase deficiency (CBSD), which can lead to homocystinuria. This gene is a major contributor to cellular hydrogen sulfide production. Multiple alternatively spliced transcript variants have been found for this gene. [provided by RefSeq, Feb 2016],HIP4,Amino acid metabolism,Cancer,Endocrine & Metabolism,Signal Transduction,CBS

    Molekulargewicht

    61kDa

    Gen-ID

    875

    UniProt

    P35520
Sie sind hier:
Chat with us!