Telefon:
+49 (0)241 95 163 153
Fax:
+49 (0)241 95 163 155
E-Mail:
orders@antikoerper-online.de

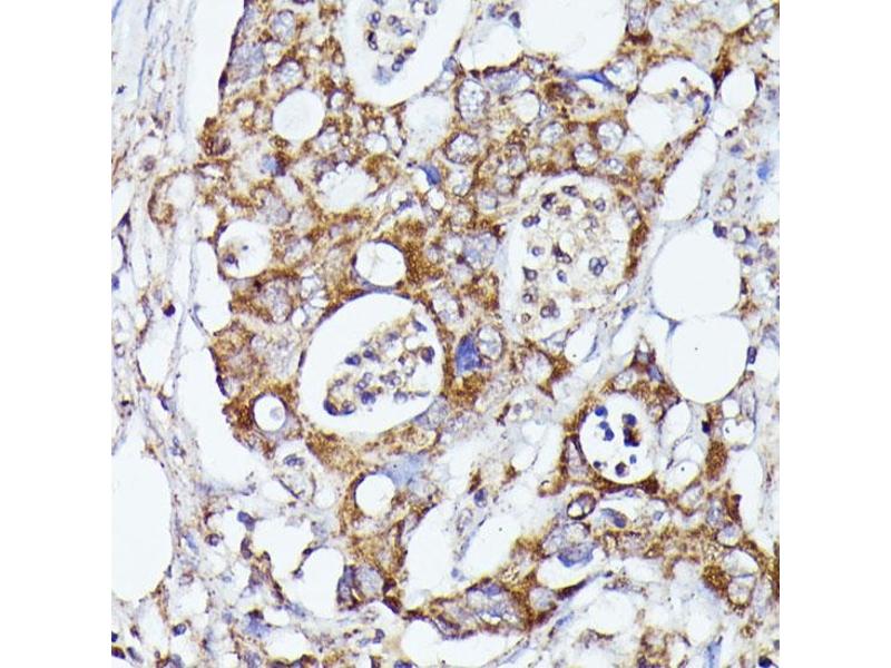
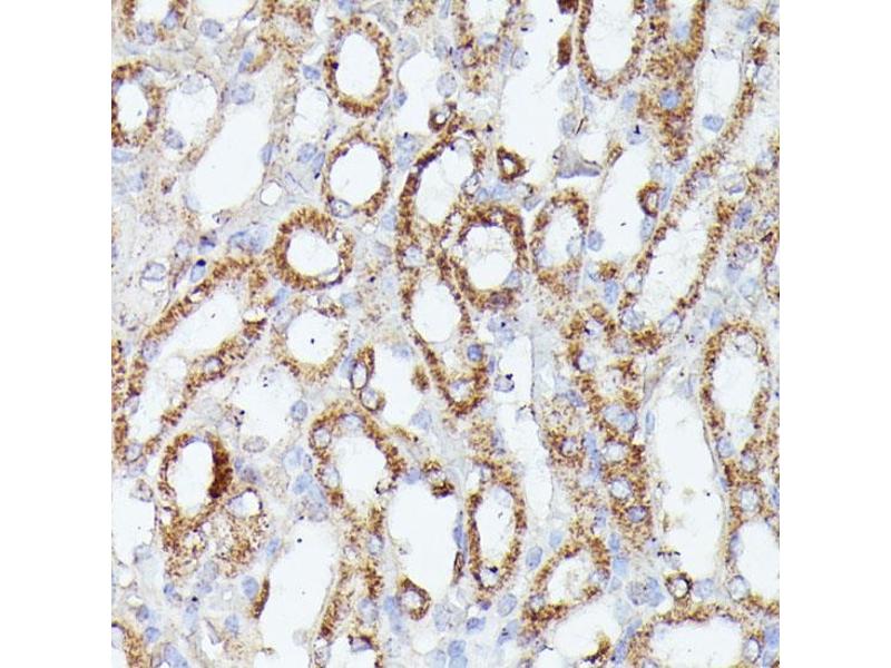
CDK5RAP1 Antikörper (AA 1-350)

Dieser Kaninchen Polyklonal Antikörper detektiert spezifisch CDK5RAP1 in WB und IHC. Es zeigt Reaktivität gegenüber Proben von Human.
Produktnummer ABIN7266235
320,00 €
Zzgl. Versandkosten 20,00 € und MwSt
Lieferung nach: Deutschland
Lieferung in 7 bis 9 Werktagen

Kurzübersicht für CDK5RAP1 Antikörper (AA 1-350) (ABIN7266235)

Target

Alle CDK5RAP1 Antikörper anzeigen
CDK5RAP1 (CDK5 Regulatory Subunit Associated Protein 1 (CDK5RAP1))

Reaktivität

  • 40
  • 25
  • 24
  • 4
  • 3
  • 3
  • 3
  • 3
  • 2
  • 2
  • 2
Human

Wirt

  • 40
Kaninchen

Klonalität

  • 40
Polyklonal

Konjugat

  • 21
  • 2
  • 2
  • 2
  • 1
  • 1
  • 1
  • 1
  • 1
  • 1
  • 1
  • 1
  • 1
  • 1
  • 1
  • 1
  • 1
Dieser CDK5RAP1 Antikörper ist unkonjugiert

Applikation

  • 37
  • 15
  • 13
  • 12
  • 9
  • 6
  • 2
  • 1
Western Blotting (WB), Immunohistochemistry (IHC)
  • Bindungsspezifität

    • 8
    • 6
    • 2
    • 2
    • 1
    • 1
    • 1
    • 1
    • 1
    • 1
    AA 1-350

    Verwendungszweck

    CDK5RAP1 Rabbit pAb

    Sequenz

    MHPLQCVLQV QRSLGWGPLA SVSWLSLRMC RAHSSLSSTM CPSPERQEDG ARKDFSSRLA AGPTFQHFLK SASAPQEKLS SEVEDPPPYL MMDELLGRQR KVYLETYGCQ MNVNDTEIAW SILQKSGYLR TSNLQEADVI LLVTCSIREK AEQTIWNRLH QLKALKTRRP RSRVPLRIGI LGCMAERLKE EILNREKMVD ILAGPDAYRD LPRLLAVAES GQQAANVLLS LDETYADVMP VQTSASATSA FVSIMRGCDN MCSYCIVPFT RGRERSRPIA SILEEVKKLS EQGLKEVTLL GQNVNSFRDN SEVQFNSAVP TNLSRGFTTN YKTKQGGLRF AHLLDQVSRV

    Kreuzreaktivität

    Human, Maus, Ratte

    Produktmerkmale

    Polyclonal Antibodies

    Aufreinigung

    Affinity purification

    Immunogen

    Recombinant fusion protein containing a sequence corresponding to amino acids 1-350 of human CDK5RAP1 (NP_057492.2).

    Isotyp

    IgG
  • Applikationshinweise

    WB,1:500 - 1:2000,IHC,1:50 - 1:100

    Beschränkungen

    Nur für Forschungszwecke einsetzbar
  • Format

    Liquid

    Buffer

    PBS with 0.02 % sodium azide,50 % glycerol, pH 7.3.

    Konservierungsmittel

    Sodium azide

    Vorsichtsmaßnahmen

    This product contains Sodium azide: a POISONOUS AND HAZARDOUS SUBSTANCE which should be handled by trained staff only.

    Lagerung

    -20 °C

    Informationen zur Lagerung

    Store at -20°C. Avoid freeze / thaw cycles.
  • Target

    CDK5RAP1 (CDK5 Regulatory Subunit Associated Protein 1 (CDK5RAP1))

    Andere Bezeichnung

    CDK5RAP1

    Hintergrund

    This gene encodes a regulator of cyclin-dependent kinase 5 activity. This protein has also been reported to modify RNA by adding a methylthio-group and may thus have a dual function as an RNA methylthiotransferase and as an inhibitor of cyclin-dependent kinase 5 activity. Alternative splicing results in multiple transcript variants that encode different isoforms.,CDK5RAP1,C20orf34,C42,CGI-05,HSPC167,Kinase,Cell Biology & Developmental Biology,Cell Cycle,CDK5RAP1

    Molekulargewicht

    48kDa/56kDa/57kDa/64kDa/66kDa/67kDa

    Gen-ID

    51654

    UniProt

    Q96SZ6
Sie sind hier:
Chat with us!