×
Aktivieren Sie Javascript in Ihrem Browser, um unsere Webseite optimal zu nutzen.
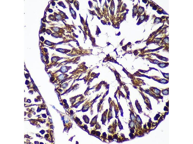
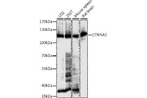
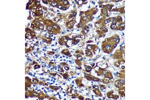
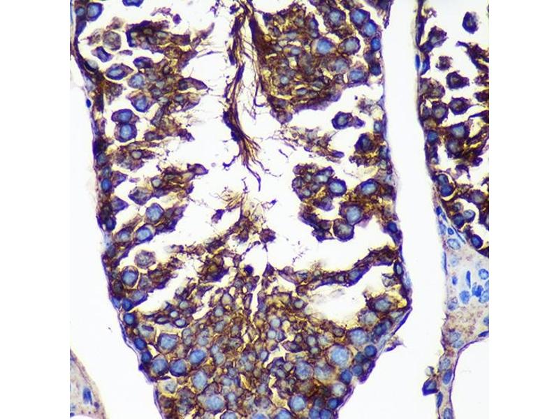
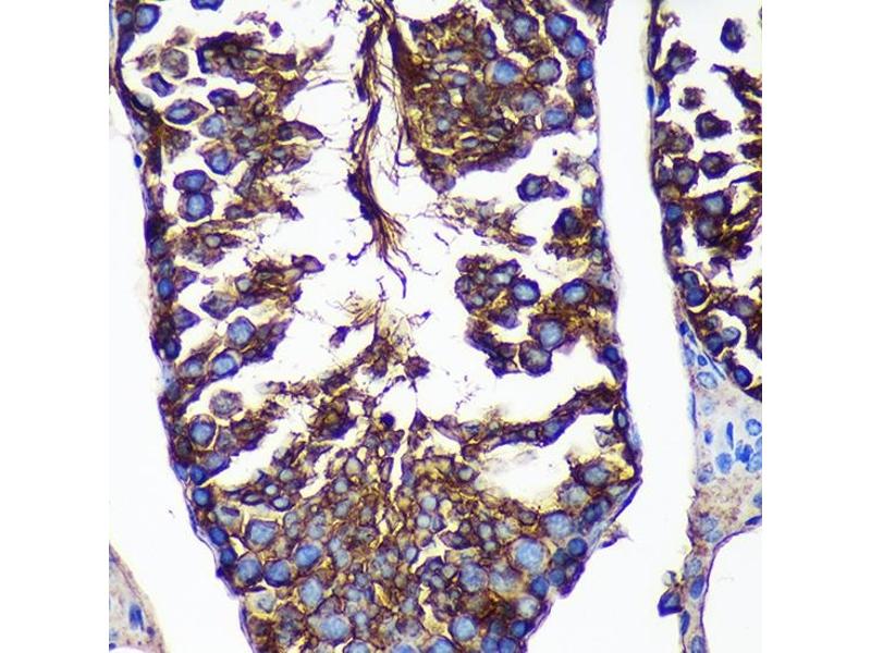
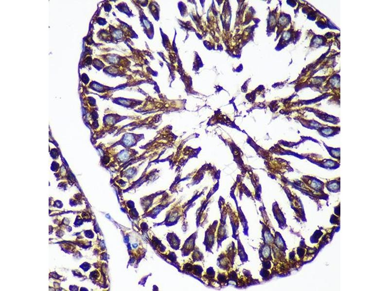
CTNNA3 Antikörper (AA 1-240)
Dieser Kaninchen Polyklonal Antikörper detektiert spezifisch CTNNA3 in WB, IHC und IF. Es zeigt Reaktivität gegenüber Proben von Human.
Produktnummer ABIN7266136
320,00 €
Zzgl. Versandkosten 20,00 € und MwSt
20 μL ABIN7531362
100 μL ABIN7266136
500 μL ABIN7750510
1000 μL ABIN7750512
20 μL ABIN7531362
100 μL ABIN7266136
500 μL ABIN7750510
1000 μL ABIN7750512
Lieferung in 7 bis 9 Werktagen
Kurzübersicht für CTNNA3 Antikörper (AA 1-240) (ABIN7266136)
Target
Alle CTNNA3 Antikörper anzeigen
CTNNA3
(Catenin (Cadherin-Associated Protein), alpha 3 (CTNNA3))
Reaktivität
Alle Reaktivitäten für CTNNA3 Antikörper
Human
Wirt
Alle Wirte für CTNNA3 Antikörper
Kaninchen
Klonalität
Alle Klonalitäten für CTNNA3 Antikörper
Polyklonal
Konjugat
Alle Konjugate für CTNNA3 Antikörper
Dieser CTNNA3 Antikörper ist unkonjugiert
Applikation
Alle Applikationen für CTNNA3 Antikörper
Western Blotting (WB), Immunohistochemistry (IHC), Immunofluorescence (IF)
Produktdetails anti-CTNNA3 Antikörper
(ausblenden)
Bindungsspezifität
Alle Epitope für CTNNA3 Antikörper
AA 1-240
Verwendungszweck
CTNNA3 Rabbit pAb
Sequenz
MKSTQRREKQ GSMSAETPIT LNIDPQDLQV QTFTVEKLLE PLIIQVTTLV NCPQNPSSRK KGRSKRASVL LASVEEATWN LLDKGEKIAQ EATVLKDELT ASLEEVRKES EALKVSAERF TDDPCFLPKR EAVVQAARAL LAAVTRLLIL ADMIDVMCLL QHVSAFQRTF ESLKNVANKS DLQKTYQKLG KELENLDYLA FKRQQDLKSP NQRDEIAGAR ASLKENSPLL HSICSACLEH
Kreuzreaktivität
Human, Maus, Ratte
Produktmerkmale
Polyclonal Antibodies
Aufreinigung
Affinity purification
Immunogen
Recombinant fusion protein containing a sequence corresponding to amino acids 1-240 of human CTNNA3 (NP_001278062.1).
Isotyp
IgG
Alternativen
(anzeigen)
Anwendungsinformationen
(ausblenden)
Applikationshinweise
WB,1:500 - 1:2000,IHC,1:50 - 1:200,IF,1:50 - 1:200
Beschränkungen
Nur für Forschungszwecke einsetzbar
Handhabung
(ausblenden)
Format
Liquid
Buffer
PBS with 0.02 % sodium azide,50 % glycerol, pH 7.3.
Konservierungsmittel
Sodium azide
Vorsichtsmaßnahmen
This product contains Sodium azide: a POISONOUS AND HAZARDOUS SUBSTANCE which should be handled by trained staff only.
Lagerung
-20 °C
Informationen zur Lagerung
Store at -20°C. Avoid freeze / thaw cycles.
Details zu CTNNA3
(ausblenden)
Target
CTNNA3
(Catenin (Cadherin-Associated Protein), alpha 3 (CTNNA3))
Andere Bezeichnung
CTNNA3
Hintergrund
This gene encodes a protein that belongs to the vinculin/alpha-catenin family. The encoded protein plays a role in cell-cell adhesion in muscle cells. Mutations in this gene are associated with arrhythmogenic right ventricular dysplasia, familial 13. Alternative splicing results in multiple transcript variants.,CTNNA3,ARVD13,VR22,CTNNA3
Molekulargewicht
57kDa/99kDa
Gen-ID
29119
UniProt
Q9UI47
Zuletzt angesehen
(ausblenden)
Sie sind hier:
Startseite
anti-CTNNA3 Antikörper (AA 1-240) (ABIN7266136)
Chat with us , powered by LiveChat