Telefon:
+49 (0)241 95 163 153
Fax:
+49 (0)241 95 163 155
E-Mail:
orders@antikoerper-online.de

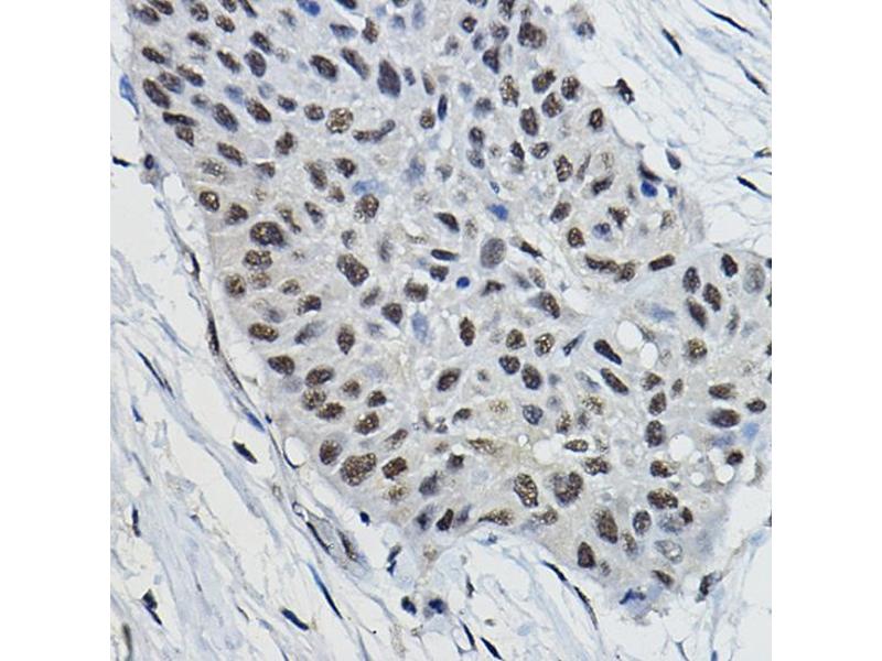
BRAP Antikörper (AA 1-200)

Der Kaninchen Polyklonal anti-BRAP Antikörper (ABIN7265922) detektiert spezifisch BRAP in WB, IHC und IF. Dieser Antikörper reagiert spezifisch mit Proben aus Human.
Produktnummer ABIN7265922
320,00 €
Zzgl. Versandkosten 20,00 € und MwSt
Lieferung nach: Deutschland
Lieferung in 7 bis 9 Werktagen

Kurzübersicht für BRAP Antikörper (AA 1-200) (ABIN7265922)

Target

Alle BRAP Antikörper anzeigen
BRAP (BRCA1 Associated Protein (BRAP))

Reaktivität

  • 27
  • 4
  • 3
  • 3
  • 3
  • 2
  • 2
  • 2
  • 1
  • 1
  • 1
  • 1
  • 1
Human

Wirt

  • 24
  • 3
Kaninchen

Klonalität

  • 24
  • 3
Polyklonal

Konjugat

  • 18
  • 3
  • 2
  • 2
  • 1
  • 1
Dieser BRAP Antikörper ist unkonjugiert

Applikation

  • 20
  • 15
  • 4
  • 4
  • 2
  • 1
  • 1
  • 1
  • 1
Western Blotting (WB), Immunohistochemistry (IHC), Immunofluorescence (IF)
  • Bindungsspezifität

    • 9
    • 6
    • 2
    • 2
    • 2
    • 2
    • 1
    • 1
    AA 1-200

    Verwendungszweck

    BRAP Rabbit pAb

    Sequenz

    MSVSLVVIRL ELAEHSPVPA GFGFSAAAGE MSDEEIKKTT LASAVACLEG KSPGEKVAII HQHLGRREMT DVIIETMKSN PDELKTTVEE RKSSEASPTA QRSKDHSKEC INAAPDSPSK QLPDQISFFS GNPSVEIVHG IMHLYKTNKM TSLKEDVRRS AMLCILTVPA AMTSHDLMKF VAPFNEVIEQ MKIIRDSTPN

    Kreuzreaktivität

    Human, Maus, Ratte

    Produktmerkmale

    Polyclonal Antibodies

    Aufreinigung

    Affinity purification

    Immunogen

    Recombinant fusion protein containing a sequence corresponding to amino acids 1-200 of human BRAP (NP_006759.3).

    Isotyp

    IgG
  • Applikationshinweise

    WB,1:500 - 1:2000,IHC,1:50 - 1:100,IF,1:50 - 1:100

    Beschränkungen

    Nur für Forschungszwecke einsetzbar
  • Format

    Liquid

    Buffer

    PBS with 0.02 % sodium azide,50 % glycerol, pH 7.3.

    Konservierungsmittel

    Sodium azide

    Vorsichtsmaßnahmen

    This product contains Sodium azide: a POISONOUS AND HAZARDOUS SUBSTANCE which should be handled by trained staff only.

    Lagerung

    -20 °C

    Informationen zur Lagerung

    Store at -20°C. Avoid freeze / thaw cycles.
  • Target

    BRAP (BRCA1 Associated Protein (BRAP))

    Andere Bezeichnung

    BRAP

    Hintergrund

    The protein encoded by this gene was identified by its ability to bind to the nuclear localization signal of BRCA1 and other proteins. It is a cytoplasmic protein which may regulate nuclear targeting by retaining proteins with a nuclear localization signal in the cytoplasm.,BRAP,BRAP2,IMP,RNF52,Epigenetics & Nuclear Signaling,DNA Damage & Repair,Signal Transduction,G protein signaling,G2/M DNA Damage Checkpoint,MAPK-Erk Signaling Pathway,BRAP

    Molekulargewicht

    47kDa/67kDa

    Gen-ID

    8315

    UniProt

    Q7Z569
Sie sind hier:
Chat with us!