Telefon:
+49 (0)241 95 163 153
Fax:
+49 (0)241 95 163 155
E-Mail:
orders@antikoerper-online.de

SYN1 Antikörper

Der Kaninchen Polyklonal anti-SYN1 Antikörper (ABIN7210003) detektiert spezifisch SYN1 in WB, ELISA, IF und IHC (p). Dieser Antikörper reagiert spezifisch mit Proben aus Human, Ratte und Maus.
Produktnummer ABIN7210003
613,62 €
Zzgl. Versandkosten 20,00 € und MwSt
100 μL
Lieferung nach: Deutschland
Lieferung in 10 bis 14 Werktagen

Kurzübersicht für SYN1 Antikörper (ABIN7210003)

Target

Alle SYN1 Antikörper anzeigen
SYN1 (Synapsin I (SYN1))

Reaktivität

  • 128
  • 104
  • 85
  • 15
  • 5
  • 4
  • 3
  • 2
  • 2
  • 1
  • 1
Human, Ratte, Maus

Wirt

  • 136
  • 8
Kaninchen

Klonalität

  • 116
  • 28
Polyklonal

Konjugat

  • 88
  • 7
  • 5
  • 5
  • 5
  • 5
  • 5
  • 5
  • 4
  • 2
  • 1
  • 1
  • 1
  • 1
  • 1
  • 1
  • 1
  • 1
  • 1
  • 1
  • 1
  • 1
  • 1
Dieser SYN1 Antikörper ist unkonjugiert

Applikation

  • 107
  • 54
  • 49
  • 23
  • 14
  • 13
  • 13
  • 9
  • 9
  • 7
  • 3
  • 3
  • 2
  • 1
  • 1
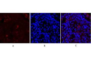
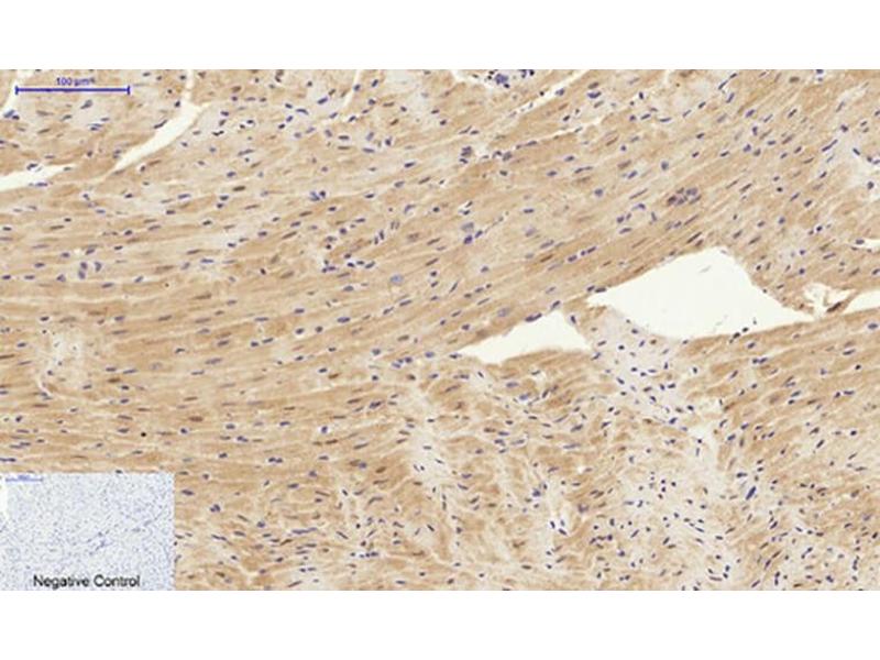
Western Blotting (WB), ELISA, Immunofluorescence (IF), Immunohistochemistry (Paraffin-embedded Sections) (IHC (p))
  • Verwendungszweck

    Synapsin I Polyclonal Antibody

    Spezifität

    Synapsin I Polyclonal Antibody detects endogenous levels of Synapsin I protein.

    Aufreinigung

    The antibody was affinity-purified from rabbit antiserum by affinity-chromatography using epitope-specific immunogen

    Immunogen

    Synthesized peptide derived from human Synapsin I around the non-phosphorylation site of S9

    Isotyp

    IgG
  • Applikationshinweise

    Optimal working dilutions should be determined experimentally by the investigator. Suggested starting dilutions are as follows: WB (1:500-1:2000), IF (1:200-1:1000), IHC-P (1:100-1:300), ELISA (1:20000). Not yet tested in other applications.

    Beschränkungen

    Nur für Forschungszwecke einsetzbar
  • Format

    Liquid

    Konzentration

    1 mg/mL

    Buffer

    PBS containing 50 % Glycerol, 0.5 % BSA and 0.02 % Sodium Azide.

    Konservierungsmittel

    Sodium azide

    Vorsichtsmaßnahmen

    This product contains Sodium azide: a POISONOUS AND HAZARDOUS SUBSTANCE which should be handled by trained staff only.

    Lagerung

    -20 °C

    Informationen zur Lagerung

    Stable for one year at -20°C from date of shipment. For maximum recovery of product, centrifuge the original vial after thawing and prior to removing the cap. Aliquot to avoid repeated freezing and thawing.
  • Target

    SYN1 (Synapsin I (SYN1))

    Andere Bezeichnung

    Synapsin I

    Hintergrund

    Rabbit Anti-Synapsin I Polyclonal Antibody,SYN1, Synapsin-1, Brain protein 4.1, Synapsin I,SYN1 is a member of the synapsin gene family. Synapsins encode neuronal phosphoproteins which associate with the cytoplasmic surface of synaptic vesicles. Family members are characterized by common protein domains, and they are implicated in synaptogenesis and the modulation of neurotransmitter release, suggesting a potential role in several neuropsychiatric diseases. This member of the synapsin family plays a role in regulation of axonogenesis and synaptogenesis. Synapsin-1 encoded serves as a substrate for several different protein kinases and phosphorylation may function in the regulation of this protein in the nerve terminal. Mutations in this gene may be associated with X-linked disorders with primary neuronal degeneration such as Rett syndrome. Alternatively spliced transcript variants encoding different isoforms have been identified.,Synapsin-1

    Gen-ID

    6853

    UniProt

    P17600
Sie sind hier:
Chat with us!