Telefon:
+49 (0)241 95 163 153
Fax:
+49 (0)241 95 163 155
E-Mail:
orders@antikoerper-online.de

Smad2/3 Antikörper

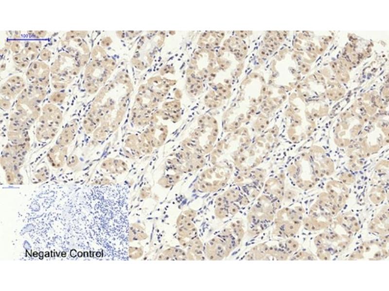
Der Kaninchen Polyklonal anti-Smad2/3 Antikörper wird verwendet zum Nachweis von Smad2/3 in Proben von Human, Ratte, Maus und Affe. Er wurde validiert für WB, ELISA und IHC (p).
Produktnummer ABIN7217046
748,34 €
Zzgl. Versandkosten 20,00 € und MwSt
Lieferung nach: Deutschland
Lieferung in 10 bis 14 Werktagen

Kurzübersicht für Smad2/3 Antikörper (ABIN7217046)

Target

Smad2/3 (SMAD2/3) (Smad2/3 Transcription Factor (SMAD2/3))

Reaktivität

  • 53
  • 43
  • 42
  • 4
  • 4
  • 4
  • 2
  • 1
  • 1
  • 1
Human, Ratte, Maus, Affe

Wirt

  • 50
  • 2
  • 1
  • 1
Kaninchen

Klonalität

  • 44
  • 10
Polyklonal

Konjugat

  • 20
  • 3
  • 2
  • 2
  • 2
  • 2
  • 2
  • 2
  • 2
  • 2
  • 1
  • 1
  • 1
  • 1
  • 1
  • 1
  • 1
  • 1
  • 1
  • 1
  • 1
  • 1
  • 1
  • 1
  • 1
Dieser Smad2/3 Antikörper ist unkonjugiert

Applikation

  • 43
  • 14
  • 13
  • 13
  • 12
  • 11
  • 10
  • 8
  • 6
  • 5
  • 3
  • 2
Western Blotting (WB), ELISA, Immunohistochemistry (Paraffin-embedded Sections) (IHC (p))
  • Verwendungszweck

    Smad2/3 Polyclonal Antibody

    Spezifität

    Smad2/3 Polyclonal Antibody detects endogenous levels of Smad2/3 protein.

    Aufreinigung

    The antibody was affinity-purified from rabbit antiserum by affinity-chromatography using epitope-specific immunogen

    Immunogen

    Synthesized peptide derived from human Smad2/3 around the non-phosphorylation site of T8

    Isotyp

    IgG
  • Applikationshinweise

    Optimal working dilutions should be determined experimentally by the investigator. Suggested starting dilutions are as follows: WB (1:500-1:2000), IHC-P (1:100-1:300), ELISA (1:10000). Not yet tested in other applications.

    Kommentare

    Primary Antibody

    Beschränkungen

    Nur für Forschungszwecke einsetzbar
  • Format

    Liquid

    Konzentration

    1 mg/mL

    Buffer

    PBS containing 50 % Glycerol, 0.5 % BSA and 0.02 % Sodium Azide.

    Konservierungsmittel

    Sodium azide

    Vorsichtsmaßnahmen

    This product contains Sodium azide: a POISONOUS AND HAZARDOUS SUBSTANCE which should be handled by trained staff only.

    Lagerung

    -20 °C

    Informationen zur Lagerung

    Stable for one year at -20°C from date of shipment. For maximum recovery of product, centrifuge the original vial after thawing and prior to removing the cap. Aliquot to avoid repeated freezing and thawing.
  • Target

    Smad2/3 (SMAD2/3) (Smad2/3 Transcription Factor (SMAD2/3))

    Andere Bezeichnung

    Smad2/3

    Hintergrund

    Rabbit Anti-Smad2/3 Polyclonal Antibody,SMAD2, MADH2, MADR2, Mothers against decapentaplegic homolog 2, MAD homolog 2, Mothers against DPP homolog 2, JV18-1, Mad-related protein 2, hMAD-2, SMAD family member 2, SMAD 2, Smad2, hSMAD2, SMAD3, MADH3, Mothers against decapentaplegic,Mothers against decapentaplegic homolog 2 encoded by SMAD2 belongs to the SMAD, a family of proteins similar to the gene products of the Drosophila gene 'mothers against decapentaplegic' (Mad) and the C. elegans gene Sma. SMAD proteins are signal transducers and transcriptional modulators that mediate multiple signaling pathways. This protein mediates the signal of the transforming growth factor (TGF) -beta, and thus regulates multiple cellular processes, such as cell proliferation, apoptosis, and differentiation. This protein is recruited to the TGF-beta receptors through its interaction with the SMAD anchor for receptor activation (SARA) protein. In response to TGF-beta signal, this protein is phosphorylated by the TGF-beta receptors. The phosphorylation induces the dissociation of this protein with SARA and the association with the family member SMAD4. The association with SMAD4 is important for the translocation of this protein into the nucleus, where it binds to target promoters and forms a transcription repressor complex with other cofactors. This protein can also be phosphorylated by activin type 1 receptor kinase, and mediates the signal from the activin. Alternatively spliced transcript variants have been observed for this gene.,Mothers against decapentaplegic homolog 2

    Molekulargewicht

    observerd band 48kDa

    Gen-ID

    4087, 4088
Sie sind hier:
Chat with us!