Telefon:
+49 (0)241 95 163 153
Fax:
+49 (0)241 95 163 155
E-Mail:
orders@antikoerper-online.de

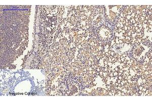
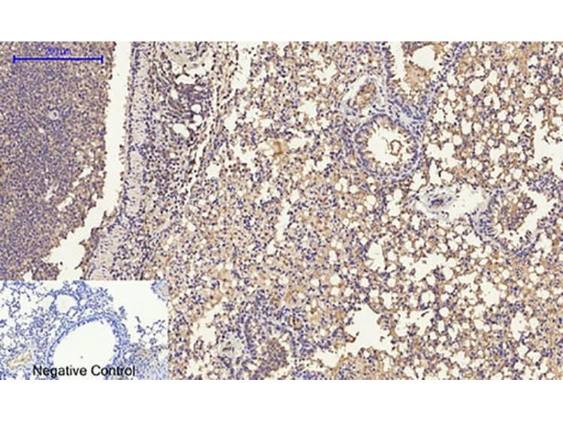
ERK1/2 Antikörper (AA 300-380)

Der Kaninchen Polyklonal anti-ERK1/2 Antikörper wird verwendet zum Nachweis von ERK1/2 in Proben von Human, Maus und Ratte. Er wurde validiert für WB, IHC, ELISA, IF und ChIP.
Produktnummer ABIN7206459
613,62 €
Zzgl. Versandkosten 20,00 € und MwSt
100 μL
Lieferung nach: Deutschland
Lieferung in 10 bis 14 Werktagen

Kurzübersicht für ERK1/2 Antikörper (AA 300-380) (ABIN7206459)

Target

Alle ERK1/2 (MAPK1/3) Antikörper anzeigen
ERK1/2 (MAPK1/3) (Mitogen-Activated Protein Kinase 1/3 (MAPK1/3))

Reaktivität

  • 219
  • 188
  • 182
  • 21
  • 21
  • 18
  • 6
  • 2
  • 2
  • 2
  • 2
  • 2
  • 1
  • 1
  • 1
  • 1
  • 1
  • 1
  • 1
Human, Maus, Ratte

Wirt

  • 175
  • 47
  • 3
Kaninchen

Klonalität

  • 132
  • 93
Polyklonal

Konjugat

  • 82
  • 13
  • 9
  • 9
  • 8
  • 8
  • 8
  • 8
  • 6
  • 5
  • 5
  • 5
  • 5
  • 5
  • 5
  • 5
  • 5
  • 5
  • 5
  • 5
  • 4
  • 4
  • 4
  • 3
  • 1
  • 1
  • 1
  • 1
Dieser ERK1/2 Antikörper ist unkonjugiert

Applikation

  • 173
  • 66
  • 58
  • 51
  • 51
  • 42
  • 41
  • 41
  • 33
  • 33
  • 13
  • 6
  • 3
  • 3
  • 1
Western Blotting (WB), Immunohistochemistry (IHC), ELISA, Immunofluorescence (IF), Chromatin Immunoprecipitation (ChIP)
  • Bindungsspezifität

    • 72
    • 45
    • 30
    • 30
    • 21
    • 16
    • 13
    • 13
    • 10
    • 4
    • 4
    • 3
    • 3
    • 3
    • 2
    • 2
    • 2
    • 2
    • 1
    • 1
    • 1
    • 1
    • 1
    • 1
    • 1
    • 1
    • 1
    • 1
    • 1
    • 1
    • 1
    • 1
    • 1
    • 1
    AA 300-380

    Verwendungszweck

    Rabbit Anti-ERK 1/2 Polyclonal Antibody

    Spezifität

    ERK 1/2 Polyclonal Antibody detects endogenous levels of ERK 1/2 protein.

    Aufreinigung

    The antibody was affinity-purified from rabbit antiserum by affinity-chromatography using epitope-specific immunogen.

    Immunogen

    Synthesized peptide derived from the C-terminal region of human ERK 1/2 at AA range: 300-380

    Isotyp

    IgG
  • Applikationshinweise

    Optimal working dilutions should be determined experimentally by the investigator. Suggested starting dilutions are as follows: IF 1:50-200,WB 1:500-1:2000,IHC 1:100-1:300,ELISA 1:10000,Not yet tested in other applications,

    Beschränkungen

    Nur für Forschungszwecke einsetzbar
  • Format

    Liquid

    Konzentration

    1 mg/mL

    Buffer

    Liquid in PBS containing 50 % glycerol, 0.5 % BSA and 0.02 % sodium azide.

    Konservierungsmittel

    Sodium azide

    Vorsichtsmaßnahmen

    This product contains Sodium azide: a POISONOUS AND HAZARDOUS SUBSTANCE which should be handled by trained staff only.

    Lagerung

    -20 °C

    Informationen zur Lagerung

    Stable for one year at -20°C from date of shipment. For maximum recovery of product, centrifuge the original vial after thawing and prior to removing the cap. Aliquot to avoid repeated freezing and thawing.

    Haltbarkeit

    12 months
  • Target

    ERK1/2 (MAPK1/3) (Mitogen-Activated Protein Kinase 1/3 (MAPK1/3))

    Andere Bezeichnung

    ERK 1/2

    Hintergrund

    MAPK3, ERK1, PRKM3, Mitogen-activated protein kinase 3, MAP kinase 3, MAPK 3, ERT2, Extracellular signal-regulated kinase 1, ERK-1, Insulin-stimulated MAP2 kinase, MAP kinase isoform p44, p44-MAPK, Microtubule-associated protein 2 kinase, pMitogen-activated protein kinase 3 encoded by MAPK3 is a member of the MAP kinase family. MAP kinases, also known as extracellular signal-regulated kinases (ERKs), act in a signaling cascade that regulates various cellular processes such as proliferation, differentiation, and cell cycle progression in response to a variety of extracellular signals. This kinase is activated by upstream kinases, resulting in its translocation to the nucleus where it phosphorylates nuclear targets. Alternatively spliced transcript variants encoding different protein isoforms have been described.

    Molekulargewicht

    42,44kD

    Gen-ID

    5595

    UniProt

    P27361, P28482
Sie sind hier:
Chat with us!