Telefon:
+49 (0)241 95 163 153
Fax:
+49 (0)241 95 163 155
E-Mail:
orders@antikoerper-online.de

Collagen Type I Antikörper

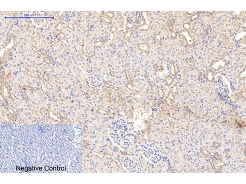
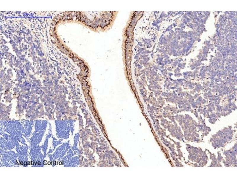
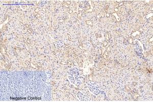
Der Maus Monoklonal anti-Collagen Type I Antikörper (Klon 4H10) (ABIN7212386) detektiert spezifisch Collagen Type I in IF und IHC (p). Dieser Antikörper reagiert spezifisch mit Proben aus Human, Maus und Ratte.
Produktnummer ABIN7212386
623,62 €
Zzgl. Versandkosten 20,00 € und MwSt
Lieferung nach: Deutschland
Lieferung in 10 bis 14 Werktagen

Kurzübersicht für Collagen Type I Antikörper (ABIN7212386)

Target

Alle Collagen Type I (COL1) Antikörper anzeigen
Collagen Type I (COL1) (Collagen, Type I (COL1))

Reaktivität

  • 98
  • 51
  • 45
  • 17
  • 15
  • 5
  • 4
  • 3
  • 3
  • 3
  • 2
  • 2
  • 2
  • 2
  • 2
  • 1
  • 1
  • 1
  • 1
Human, Maus, Ratte

Wirt

  • 65
  • 38
  • 13
Maus

Klonalität

  • 69
  • 47
Monoklonal

Konjugat

  • 61
  • 14
  • 5
  • 4
  • 2
  • 2
  • 2
  • 2
  • 2
  • 2
  • 2
  • 2
  • 2
  • 2
  • 2
  • 1
  • 1
  • 1
  • 1
  • 1
  • 1
  • 1
  • 1
  • 1
  • 1
Dieser Collagen Type I Antikörper ist unkonjugiert

Applikation

  • 75
  • 43
  • 41
  • 31
  • 28
  • 27
  • 25
  • 23
  • 18
  • 17
  • 16
  • 13
  • 10
  • 5
  • 4
  • 3
  • 1
Immunofluorescence (IF), Immunohistochemistry (Paraffin-embedded Sections) (IHC (p))

Klon

4H10
  • Verwendungszweck

    Collagen I Mouse Monoclonal Antibody (4H10)

    Spezifität

    The antibody detects endogenous Collagen I protein.

    Aufreinigung

    The antibody was affinity-purified from mouse ascites by affinity-chromatography using specific immunogen

    Immunogen

    Synthetic Peptide of Collagen I

    Isotyp

    IgG1
  • Applikationshinweise

    Optimal working dilutions should be determined experimentally by the investigator. Suggested starting dilutions are as follows: IHC-P (1:50-1:200).

    Kommentare

    Primary Antibody

    Beschränkungen

    Nur für Forschungszwecke einsetzbar
  • Format

    Liquid

    Konzentration

    1 mg/mL

    Buffer

    PBS, pH 7.4, containing 0.02 % Sodium Azide as preservative and 50 % Glycerol.

    Konservierungsmittel

    Sodium azide

    Vorsichtsmaßnahmen

    This product contains Sodium azide: a POISONOUS AND HAZARDOUS SUBSTANCE which should be handled by trained staff only.

    Lagerung

    -20 °C

    Informationen zur Lagerung

    Stable for one year at -20°C from date of shipment. For maximum recovery of product, centrifuge the original vial after thawing and prior to removing the cap. Aliquot to avoid repeated freezing and thawing.
  • Target

    Collagen Type I (COL1) (Collagen, Type I (COL1))

    Andere Bezeichnung

    Collagen I

    Hintergrund

    Mouse Anti-Collagen I Mouse Monoclonal Antibody (4H10),Collagen alpha-1(I) chain, Alpha-1 type I collagen,COL1A1 (collagen type I alpha 1 chain) encodes the pro-alpha1 chains of type I collagen whose triple helix comprises two alpha1 chains and one alpha2 chain. Type I is a fibril-forming collagen found in most connective tissues and is abundant in bone, cornea, dermis and tendon. Mutations in COL1A1 are associated with osteogenesis imperfecta types I-IV, Ehlers-Danlos syndrome type VIIA, Ehlers-Danlos syndrome Classical type, Caffey Disease and idiopathic osteoporosis. Reciprocal translocations between chromosomes 17 and 22, where this gene and the gene for platelet-derived growth factor beta are located, are associated with a particular type of skin tumor called dermatofibrosarcoma protuberans, resulting from unregulated expression of the growth factor. Two transcripts, resulting from the use of alternate polyadenylation signals, have been identified for COL1A1.,Collagen alpha-1(I) chain (Alpha-1 type I collagen)

    Molekulargewicht

    observerd band 139kDa

    Gen-ID

    1277, 1278

    UniProt

    P02452
Sie sind hier:
Chat with us!