Telefon:
+49 (0)241 95 163 153
Fax:
+49 (0)241 95 163 155
E-Mail:
orders@antikoerper-online.de

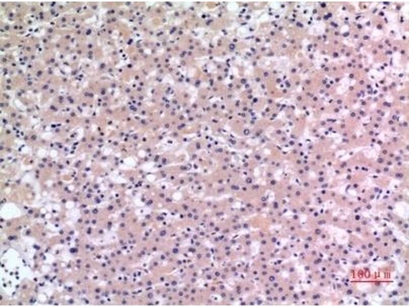
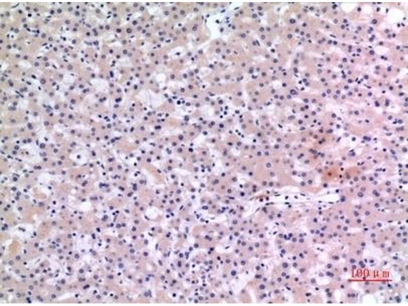
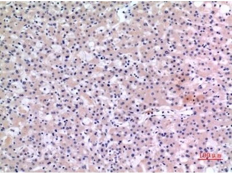
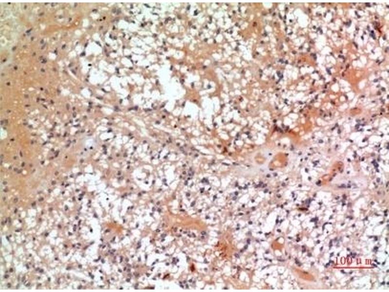
CMTM6 Antikörper (C-Term)

Dieser Kaninchen Polyklonal Antikörper detektiert spezifisch CMTM6 in WB, ELISA und IHC (p). Es zeigt Reaktivität gegenüber Proben von Human.
Produktnummer ABIN7218152
623,62 €
Zzgl. Versandkosten 20,00 € und MwSt
Lieferung nach: Deutschland
Lieferung in 10 bis 14 Werktagen

Kurzübersicht für CMTM6 Antikörper (C-Term) (ABIN7218152)

Target

Alle CMTM6 Antikörper anzeigen
CMTM6 (CKLF-Like MARVEL Transmembrane Domain Containing 6 (CMTM6))

Reaktivität

  • 19
  • 2
  • 1
  • 1
Human

Wirt

  • 19
  • 1
Kaninchen

Klonalität

  • 19
  • 1
Polyklonal

Konjugat

  • 13
  • 1
  • 1
  • 1
  • 1
  • 1
  • 1
  • 1
Dieser CMTM6 Antikörper ist unkonjugiert

Applikation

  • 11
  • 6
  • 3
  • 3
  • 2
  • 2
  • 1
  • 1
  • 1
  • 1
  • 1
  • 1
Western Blotting (WB), ELISA, Immunohistochemistry (Paraffin-embedded Sections) (IHC (p))
  • Bindungsspezifität

    • 4
    • 2
    • 2
    • 1
    • 1
    C-Term

    Verwendungszweck

    CMTM6 Polyclonal Antibody

    Spezifität

    CMTM6 Polyclonal Antibody detects endogenous levels of CMTM6 protein.

    Aufreinigung

    The antibody was affinity-purified from rabbit antiserum by affinity-chromatography using epitope-specific immunogen

    Immunogen

    Synthesized peptide derived from the C-terminal region of human CMTM6

    Isotyp

    IgG
  • Applikationshinweise

    Optimal working dilutions should be determined experimentally by the investigator. Suggested starting dilutions are as follows: WB (1:500-1:2000), IHC-P (1:100-1:300), ELISA (1:20000). Not yet tested in other applications.

    Kommentare

    Primary Antibody

    Beschränkungen

    Nur für Forschungszwecke einsetzbar
  • Format

    Liquid

    Konzentration

    1 mg/mL

    Buffer

    PBS containing 50 % Glycerol, 0.5 % BSA and 0.02 % Sodium Azide.

    Konservierungsmittel

    Sodium azide

    Vorsichtsmaßnahmen

    This product contains Sodium azide: a POISONOUS AND HAZARDOUS SUBSTANCE which should be handled by trained staff only.

    Lagerung

    -20 °C

    Informationen zur Lagerung

    Stable for one year at -20°C from date of shipment. For maximum recovery of product, centrifuge the original vial after thawing and prior to removing the cap. Aliquot to avoid repeated freezing and thawing.
  • Target

    CMTM6 (CKLF-Like MARVEL Transmembrane Domain Containing 6 (CMTM6))

    Andere Bezeichnung

    CMTM6

    Hintergrund

    Rabbit Anti-CMTM6 Polyclonal Antibody,CMTM6, CKLFSF6, CKLF-like MARVEL transmembrane domain-containing protein 6, Chemokine-like factor superfamily member 6,CMTM6 belongs to the chemokine-like factor gene superfamily, a novel family that is similar to the chemokine and transmembrane 4 superfamilies. This gene is one of several chemokine-like factor genes located in a cluster on chromosome 3. This gene is widely expressed in many tissues, but the exact function of the encoded protein is unknown.,CKLF-like MARVEL transmembrane domain-containing protein 6

    Molekulargewicht

    observerd band 20kDa

    Gen-ID

    54918

    UniProt

    Q9NX76
Sie sind hier:
Chat with us!