Telefon:
+49 (0)241 95 163 153
Fax:
+49 (0)241 95 163 155
E-Mail:
orders@antikoerper-online.de

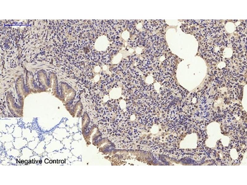
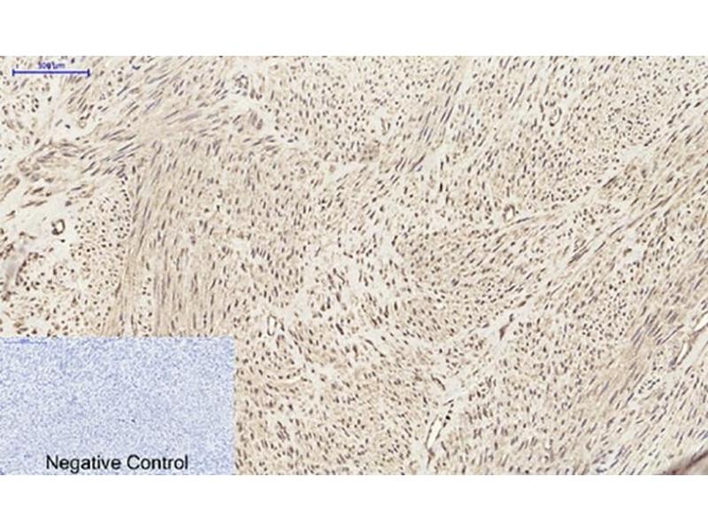
CXCL12 Antikörper (C-Term)

Dieser Kaninchen Polyklonal Antikörper detektiert spezifisch CXCL12 in WB, ELISA, IF und IHC (p). Es zeigt Reaktivität gegenüber Proben von Human, Maus und Ratte.
Produktnummer ABIN7216956
623,62 €
Zzgl. Versandkosten 20,00 € und MwSt
Lieferung nach: Deutschland
Lieferung in 10 bis 14 Werktagen

Kurzübersicht für CXCL12 Antikörper (C-Term) (ABIN7216956)

Target

Alle CXCL12 Antikörper anzeigen
CXCL12 (Chemokine (C-X-C Motif) Ligand 12 (CXCL12))

Reaktivität

  • 87
  • 26
  • 13
  • 4
  • 2
  • 2
  • 2
  • 2
  • 2
  • 1
  • 1
  • 1
  • 1
Human, Maus, Ratte

Wirt

  • 80
  • 12
  • 10
  • 2
  • 1
  • 1
  • 1
Kaninchen

Klonalität

  • 74
  • 33
Polyklonal

Konjugat

  • 60
  • 14
  • 5
  • 3
  • 3
  • 3
  • 3
  • 3
  • 3
  • 3
  • 2
  • 2
  • 1
  • 1
  • 1
Dieser CXCL12 Antikörper ist unkonjugiert

Applikation

  • 75
  • 38
  • 35
  • 24
  • 17
  • 12
  • 9
  • 6
  • 5
  • 4
  • 4
  • 3
  • 3
  • 1
  • 1
  • 1
  • 1
  • 1
  • 1
Western Blotting (WB), ELISA, Immunofluorescence (IF), Immunohistochemistry (Paraffin-embedded Sections) (IHC (p))
  • Bindungsspezifität

    • 11
    • 7
    • 7
    • 4
    • 2
    • 2
    • 2
    • 2
    • 1
    • 1
    • 1
    • 1
    • 1
    • 1
    • 1
    C-Term

    Verwendungszweck

    SDF-1 Polyclonal Antibody

    Spezifität

    SDF-1 Polyclonal Antibody detects endogenous levels of SDF-1 protein.

    Aufreinigung

    The antibody was affinity-purified from rabbit antiserum by affinity-chromatography using epitope-specific immunogen

    Immunogen

    Synthesized peptide derived from the C-terminal region of human SDF-1

    Isotyp

    IgG
  • Applikationshinweise

    Optimal working dilutions should be determined experimentally by the investigator. Suggested starting dilutions are as follows: WB (1:500-1:2000), IHC-P (1:100-1:300), ELISA (1:40000). Not yet tested in other applications.

    Kommentare

    Primary Antibody

    Beschränkungen

    Nur für Forschungszwecke einsetzbar
  • Format

    Liquid

    Konzentration

    1 mg/mL

    Buffer

    PBS containing 50 % Glycerol, 0.5 % BSA and 0.02 % Sodium Azide.

    Konservierungsmittel

    Sodium azide

    Vorsichtsmaßnahmen

    This product contains Sodium azide: a POISONOUS AND HAZARDOUS SUBSTANCE which should be handled by trained staff only.

    Lagerung

    -20 °C

    Informationen zur Lagerung

    Stable for one year at -20°C from date of shipment. For maximum recovery of product, centrifuge the original vial after thawing and prior to removing the cap. Aliquot to avoid repeated freezing and thawing.
  • Target

    CXCL12 (Chemokine (C-X-C Motif) Ligand 12 (CXCL12))

    Andere Bezeichnung

    SDF-1

    Hintergrund

    Rabbit Anti-SDF-1 Polyclonal Antibody,CXCL12, SDF1, SDF1A, SDF1B, Stromal cell-derived factor 1, SDF-1, hSDF-1, C-X-C motif chemokine 12, Intercrine reduced in hepatomas, IRH, hIRH, Pre-B cell growth-stimulating factor, PBSF,CXCL12 encodes a stromal cell-derived alpha chemokine member of the intercrine family. The Stromal cell-derived factor 1 functions as the ligand for the G-protein coupled receptor, chemokine (C-X-C motif) receptor 4, and plays a role in many diverse cellular functions, including embryogenesis, immune surveillance, inflammation response, tissue homeostasis, and tumor growth and metastasis. Mutations in this gene are associated with resistance to human immunodeficiency virus type 1 infections. Multiple transcript variants encoding different isoforms have been found for this gene.,Stromal cell-derived factor 1

    Molekulargewicht

    observerd band 10kDa

    Gen-ID

    6387

    UniProt

    P48061

    Pathways

    Regulation of Cell Size, CXCR4-mediated Signaling Events, Negative Regulation of intrinsic apoptotic Signaling
Sie sind hier:
Chat with us!