Telefon:
+49 (0)241 95 163 153
Fax:
+49 (0)241 95 163 155
E-Mail:
orders@antikoerper-online.de

alpha Tubulin Antikörper (AA 380-460)

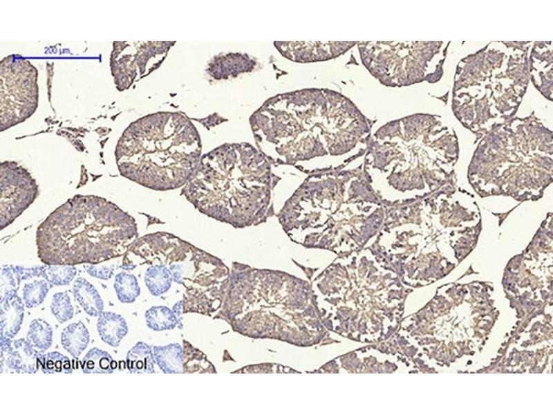
Der Kaninchen Polyklonal anti-alpha Tubulin Antikörper (ABIN7217408) detektiert spezifisch alpha Tubulin in WB, ELISA, IF und IHC (p). Dieser Antikörper reagiert spezifisch mit Proben aus Human, Maus und Ratte.
Produktnummer ABIN7217408
623,62 €
Zzgl. Versandkosten 20,00 € und MwSt
Lieferung nach: Deutschland
Lieferung in 10 bis 14 Werktagen

Kurzübersicht für alpha Tubulin Antikörper (AA 380-460) (ABIN7217408)

Target

Alle alpha Tubulin (TUBA1) Antikörper anzeigen
alpha Tubulin (TUBA1)

Reaktivität

  • 149
  • 119
  • 109
  • 23
  • 18
  • 16
  • 14
  • 12
  • 10
  • 9
  • 7
  • 6
  • 5
  • 5
  • 4
  • 4
  • 4
  • 4
  • 4
  • 4
  • 3
  • 3
  • 3
  • 3
  • 3
  • 3
  • 3
  • 3
  • 2
  • 2
  • 2
  • 2
  • 2
  • 2
  • 2
  • 2
  • 2
  • 2
  • 2
  • 2
  • 2
  • 2
  • 2
  • 2
  • 1
  • 1
  • 1
  • 1
  • 1
  • 1
Human, Maus, Ratte

Wirt

  • 91
  • 59
  • 12
  • 2
  • 2
  • 2
  • 1
  • 1
Kaninchen

Klonalität

  • 107
  • 60
  • 2
Polyklonal

Konjugat

  • 96
  • 12
  • 6
  • 6
  • 6
  • 6
  • 5
  • 5
  • 5
  • 4
  • 3
  • 3
  • 2
  • 1
  • 1
  • 1
  • 1
  • 1
  • 1
  • 1
  • 1
  • 1
  • 1
  • 1
Dieser alpha Tubulin Antikörper ist unkonjugiert

Applikation

  • 131
  • 60
  • 59
  • 57
  • 48
  • 46
  • 43
  • 30
  • 11
  • 11
  • 6
  • 5
  • 4
  • 2
  • 2
  • 1
Western Blotting (WB), ELISA, Immunofluorescence (IF), Immunohistochemistry (Paraffin-embedded Sections) (IHC (p))
  • Bindungsspezifität

    • 12
    • 11
    • 11
    • 9
    • 6
    • 5
    • 4
    • 4
    • 3
    • 3
    • 2
    • 2
    • 2
    • 2
    • 2
    • 1
    • 1
    • 1
    • 1
    • 1
    • 1
    • 1
    • 1
    • 1
    • 1
    • 1
    AA 380-460

    Verwendungszweck

    Tubulin α Polyclonal Antibody

    Spezifität

    Tubulin α Polyclonal Antibody detects endogenous levels of Tubulin α protein.

    Aufreinigung

    The antibody was affinity-purified from rabbit antiserum by affinity-chromatography using epitope-specific immunogen

    Immunogen

    Synthesized peptide derived from the C-terminal region of human Tubulin alpha at AA range: 380-460

    Isotyp

    IgG
  • Applikationshinweise

    Optimal working dilutions should be determined experimentally by the investigator. Suggested starting dilutions are as follows: WB (1:500-1:2000), IHC-P (1:100-1:300), IF (1:200-1:1000), ELISA (1:5000). Not yet tested in other applications.

    Kommentare

    Primary Antibody

    Beschränkungen

    Nur für Forschungszwecke einsetzbar
  • Format

    Liquid

    Konzentration

    1 mg/mL

    Buffer

    PBS containing 50 % Glycerol, 0.5 % BSA and 0.02 % Sodium Azide.

    Konservierungsmittel

    Sodium azide

    Vorsichtsmaßnahmen

    This product contains Sodium azide: a POISONOUS AND HAZARDOUS SUBSTANCE which should be handled by trained staff only.

    Lagerung

    -20 °C

    Informationen zur Lagerung

    Stable for one year at -20°C from date of shipment. For maximum recovery of product, centrifuge the original vial after thawing and prior to removing the cap. Aliquot to avoid repeated freezing and thawing.
  • Target

    alpha Tubulin (TUBA1)

    Andere Bezeichnung

    Tubulin alpha

    Hintergrund

    Rabbit Anti-Tubulin α Polyclonal Antibody,TUBA1A, TUBA3, Tubulin alpha-1A chain, Alpha-tubulin 3, Tubulin B-alpha-1, Tubulin alpha-3 chain, TUBA1B, Tubulin alpha-1B chain, Alpha-tubulin ubiquitous, Tubulin K-alpha-1, Tubulin alpha-ubiquitous chain,Microtubules of the eukaryotic cytoskeleton perform essential and diverse functions and are composed of a heterodimer of alpha and beta tubulins. TUBA1A encoding these microtubule constituents belong to the tubulin superfamily, which is composed of six distinct families. Genes from the alpha, beta and gamma tubulin families are found in all eukaryotes. The alpha and beta tubulins represent the major components of microtubules, while gamma tubulin plays a critical role in the nucleation of microtubule assembly. There are multiple alpha and beta tubulin genes, which are highly conserved among species. This gene encodes alpha tubulin and is highly similar to the mouse and rat Tuba1 genes. Northern blotting studies have shown that the gene expression is predominantly found in morphologically differentiated neurologic cells. This gene is one of three alpha-tubulin genes in a cluster on chromosome 12q. Mutations in this gene cause lissencephaly type 3 (LIS3) - a neurological condition characterized by microcephaly, mental retardation, and early-onset epilepsy and caused by defective neuronal migration. Alternative splicing results in multiple transcript variants encoding distinct isoforms.,Tubulin alpha-1A chain

    Molekulargewicht

    observerd band 50kDa

    Gen-ID

    7846, 10376

    Pathways

    Microtubule Dynamics
Sie sind hier:
Chat with us!