×
Aktivieren Sie Javascript in Ihrem Browser, um unsere Webseite optimal zu nutzen.
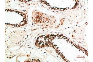
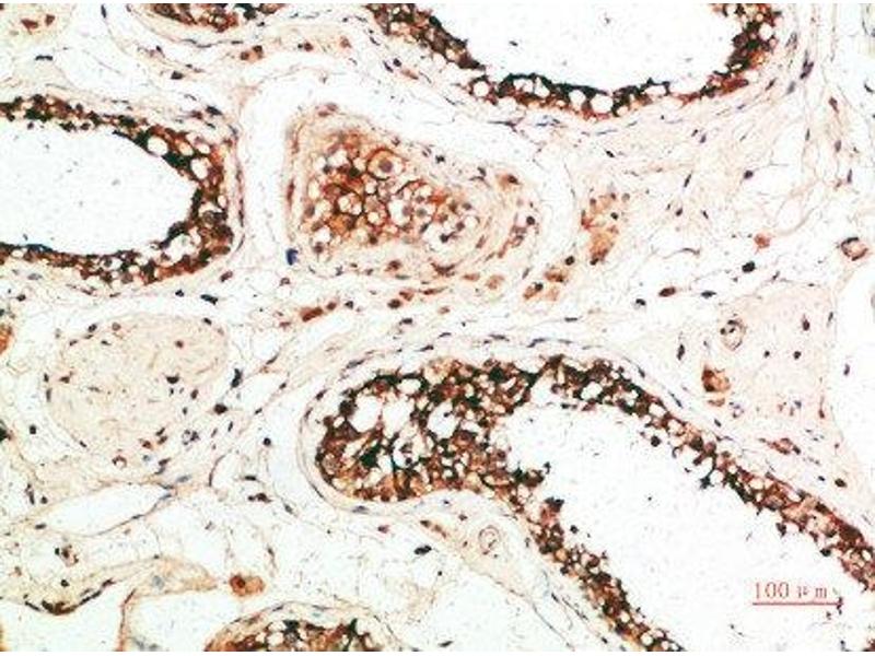
MZB1 Antikörper
Der Kaninchen Polyklonal anti-MZB1 Antikörper (ABIN7189404) detektiert spezifisch MZB1 in IHC und ELISA.
Dieser Antikörper reagiert spezifisch mit Proben aus Human.
Produktnummer ABIN7189404
218,90 €
Zzgl. Versandkosten 20,00 € und MwSt
50 μg ABIN7329835
100 μg ABIN7189404
50 μg ABIN7329835
100 μg ABIN7189404
Lieferung in 11 bis 15 Werktagen
Kurzübersicht für MZB1 Antikörper (ABIN7189404)
Target
Alle MZB1 Antikörper anzeigen
MZB1
(Marginal Zone B and B1 Cell-Specific Protein (MZB1))
Reaktivität
Alle Reaktivitäten für MZB1 Antikörper
Human
Wirt
Alle Wirte für MZB1 Antikörper
Kaninchen
Klonalität
Alle Klonalitäten für MZB1 Antikörper
Polyklonal
Konjugat
Alle Konjugate für MZB1 Antikörper
Dieser MZB1 Antikörper ist unkonjugiert
Applikation
Alle Applikationen für MZB1 Antikörper
Immunohistochemistry (IHC), ELISA
Produktdetails anti-MZB1 Antikörper
(ausblenden)
Verwendungszweck
MZB1 Antibody
Aufreinigung
The antibody was affinity-purified from rabbit serum by affinity-chromatography using specific immunogen.
Immunogen
Synthetic peptide from Human protein at AA range: 1-50
Isotyp
IgG
Alternativen
(anzeigen)
Anwendungsinformationen
(ausblenden)
Applikationshinweise
Optimal working dilution should be determined by the investigator.
Beschränkungen
Nur für Forschungszwecke einsetzbar
Handhabung
(ausblenden)
Format
Liquid
Buffer
PBS, pH 7.4, containing 0.02 % sodium azide as Preservative and 50 % Glycerol.
Konservierungsmittel
Sodium azide
Vorsichtsmaßnahmen
This product contains Sodium azide: a POISONOUS AND HAZARDOUS SUBSTANCE which should be handled by trained staff only.
Lagerung
-20 °C,-80 °C
Informationen zur Lagerung
Upon receipt, store at -20°C or -80°C. Avoid repeated freeze.
Details zu MZB1
(ausblenden)
Target
MZB1
(Marginal Zone B and B1 Cell-Specific Protein (MZB1))
Andere Bezeichnung
MZB1
Hintergrund
MZB1 antibody, Caspase 2 binding protein antibody, FLJ32987 antibody, HSPC190 antibody, Marginal zone B and B1 cell specific protein antibody, Marginal zone B- and B1-cell-specific protein antibody, MEDA 7 antibody, MEDA-7 antibody, Mesenteric estrogen dependent adipose 7 antibody, Mesenteric estrogen-dependent adipose 7 antibody, Mesenteric oestrogen dependent adipose gene 7 antibody, MGC29506 antibody, Mzb1 antibody, MZB1_HUMAN antibody, PACAP antibody, pERp1 antibody, Plasma cell-induced ER protein 1 antibody, Plasma cell-induced resident endoplasmic reticulum protein antibody, Plasma cell-induced resident ER protein antibody, Proapoptotic caspase adapter protein antibody
UniProt
Q8WU39
Pathways
Production of Molecular Mediator of Immune Response
Zuletzt angesehen
(ausblenden)
Chat with us , powered by LiveChat