×
Aktivieren Sie Javascript in Ihrem Browser, um unsere Webseite optimal zu nutzen.
P-Selectin Antikörper (N-Term)
Der Kaninchen Polyklonal anti-P-Selectin Antikörper wird verwendet zum Nachweis von P-Selectin in Proben von Human. Er wurde validiert für WB und ELISA.
Produktnummer ABIN7188923
218,90 €
Zzgl. Versandkosten 20,00 € und MwSt
50 μg ABIN7329332
100 μg ABIN7188923
50 μg ABIN7329332
100 μg ABIN7188923
Lieferung in 11 bis 15 Werktagen
Kurzübersicht für P-Selectin Antikörper (N-Term) (ABIN7188923)
Target
Alle P-Selectin (SELP) Antikörper anzeigen
P-Selectin (SELP)
(Selectin P (Granule Membrane Protein 140kDa, Antigen CD62) (SELP))
Reaktivität
Alle Reaktivitäten für P-Selectin Antikörper
Human
Wirt
Alle Wirte für P-Selectin Antikörper
Kaninchen
Klonalität
Alle Klonalitäten für P-Selectin Antikörper
Polyklonal
Konjugat
Alle Konjugate für P-Selectin Antikörper
Dieser P-Selectin Antikörper ist unkonjugiert
Applikation
Alle Applikationen für P-Selectin Antikörper
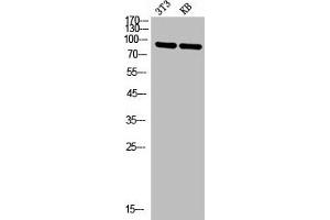
Western Blotting (WB), ELISA
Produktdetails anti-P-Selectin Antikörper
(ausblenden)
Bindungsspezifität
Alle Epitope für P-Selectin Antikörper
N-Term
Verwendungszweck
SELP Antibody
Kreuzreaktivität
Maus, Ratte
Aufreinigung
The antibody was affinity-purified from rabbit antiserum by affinity-chromatography using epitope-specific immunogen.
Immunogen
Synthesized peptide derived from the N-terminal region of Human P-Selectin.
Isotyp
IgG
Alternativen
(anzeigen)
anti-Selectin P (Granule Membrane Protein 140kDa, Antigen CD62) (SELP) (AA 701-768) antibody
SELP
Reaktivität: Human, Ratte, Maus, Schwein
WB, FACS, ELISA, IHC (fro), IHC (p), IF (p), IF (cc)
Wirt: Kaninchen
Polyclonal
unconjugated
Anwendungsinformationen
(ausblenden)
Applikationshinweise
Optimal working dilution should be determined by the investigator.
Beschränkungen
Nur für Forschungszwecke einsetzbar
Handhabung
(ausblenden)
Format
Liquid
Buffer
PBS containing 50 % glycerol, 0.5 % BSA and 0.02 % sodium azide.
Konservierungsmittel
Sodium azide
Vorsichtsmaßnahmen
This product contains Sodium azide: a POISONOUS AND HAZARDOUS SUBSTANCE which should be handled by trained staff only.
Lagerung
-20 °C,-80 °C
Informationen zur Lagerung
Upon receipt, store at -20°C or -80°C. Avoid repeated freeze.
Details zu P-Selectin
(ausblenden)
Target
P-Selectin (SELP)
(Selectin P (Granule Membrane Protein 140kDa, Antigen CD62) (SELP))
Andere Bezeichnung
SELP
Hintergrund
Antigen CD62 antibody, CD62 antibody, CD62 antigen-like family member P antibody, CD62P antibody, GMP 140 antibody, GMP-140 antibody, GMP140 antibody, GMRP antibody, Granule membrane protein 140 antibody, Granulocyte membrane protein antibody, GRMP antibody, LECAM 3 antibody, LECAM3 antibody, Leukocyte endothelial cell adhesion molecule 3 antibody, Leukocyte-endothelial cell adhesion molecule 3 antibody, LYAM3_HUMAN antibody, P Selectin antibody, P-selectin antibody, PADGEM antibody, Platelet activation dependent granule-external membrane protein antibody, Platelet alpha granule membrane protein antibody, PSEL antibody, Selectin P (granule membrane protein 140 kDa, antigen CD62) antibody, SELP antibody
UniProt
P16109
Zuletzt angesehen
(ausblenden)
Sie sind hier:
Startseite
anti-P-Selectin Antikörper (N-Term) (ABIN7188923)
Chat with us , powered by LiveChat