×
Aktivieren Sie Javascript in Ihrem Browser, um unsere Webseite optimal zu nutzen.
Cripto-3 Antikörper (Internal Region)
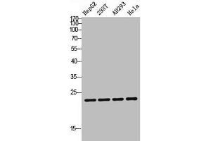
Der Kaninchen Polyklonal anti-Cripto-3 Antikörper (ABIN7186420) detektiert spezifisch Cripto-3 in WB und ELISA.
Dieser Antikörper reagiert spezifisch mit Proben aus Human.
Produktnummer ABIN7186420
218,90 €
Zzgl. Versandkosten 20,00 € und MwSt
50 μg ABIN7329668
100 μg ABIN7186420
50 μg ABIN7329668
100 μg ABIN7186420
Lieferung in 11 bis 15 Werktagen
Kurzübersicht für Cripto-3 Antikörper (Internal Region) (ABIN7186420)
Target
Cripto-3 (TDGF1P3)
(Teratocarcinoma-Derived Growth Factor 1 Pseudogene 3 (TDGF1P3))
Reaktivität
Human
Wirt
Alle Wirte für Cripto-3 Antikörper
Kaninchen
Klonalität
Alle Klonalitäten für Cripto-3 Antikörper
Polyklonal
Konjugat
Alle Konjugate für Cripto-3 Antikörper
Dieser Cripto-3 Antikörper ist unkonjugiert
Applikation
Western Blotting (WB), ELISA
Produktdetails anti-Cripto-3 Antikörper
(ausblenden)
Bindungsspezifität
Alle Epitope für Cripto-3 Antikörper
Internal Region
Verwendungszweck
TDGF1P3 Antibody
Aufreinigung
The antibody was affinity-purified from rabbit antiserum by affinity-chromatography using epitope-specific immunogen.
Immunogen
Synthesized peptide derived from the Internal region of Human Cripto-3.
Isotyp
IgG
Alternativen
(anzeigen)
Anwendungsinformationen
(ausblenden)
Applikationshinweise
Optimal working dilution should be determined by the investigator.
Beschränkungen
Nur für Forschungszwecke einsetzbar
Handhabung
(ausblenden)
Format
Liquid
Buffer
PBS containing 50 % glycerol, 0.5 % BSA and 0.02 % sodium azide.
Konservierungsmittel
Sodium azide
Vorsichtsmaßnahmen
This product contains Sodium azide: a POISONOUS AND HAZARDOUS SUBSTANCE which should be handled by trained staff only.
Lagerung
-20 °C,-80 °C
Informationen zur Lagerung
Upon receipt, store at -20°C or -80°C. Avoid repeated freeze.
Details zu Cripto-3
(ausblenden)
Target
Cripto-3 (TDGF1P3)
(Teratocarcinoma-Derived Growth Factor 1 Pseudogene 3 (TDGF1P3))
Andere Bezeichnung
TDGF1P3
Hintergrund
TDGF1P3 antibody, CRIPTO3 antibody, TDGF2 antibody, TDGF3 antibody, Putative teratocarcinoma-derived growth factor 3 antibody, Cripto-3 growth factor antibody, Epidermal growth factor-like cripto protein CR3 antibody, Teratocarcinoma-derived growth factor 1 pseudogene 3 antibody
UniProt
P51864
Zuletzt angesehen
(ausblenden)
Sie sind hier:
Startseite
anti-Cripto-3 Antikörper (Internal Region) (ABIN7186420)
Chat with us , powered by LiveChat