×
Aktivieren Sie Javascript in Ihrem Browser, um unsere Webseite optimal zu nutzen.
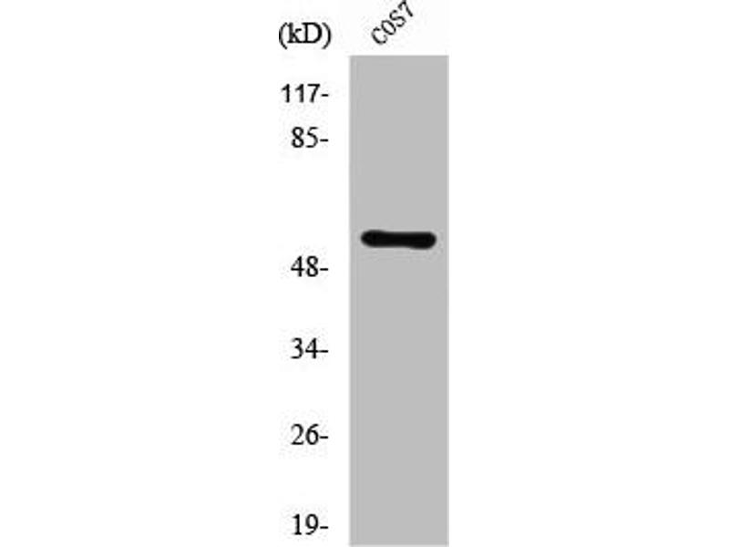
Zinc Finger and SCAN Domain Containing 25 (ZSCAN25) (C-Term) Antikörper
Der Kaninchen Polyklonal anti-Zinc Finger and SCAN Domain Containing 25 Antikörper (ABIN7185679) detektiert spezifisch Zinc Finger and SCAN Domain Containing 25 in WB und ELISA.
Dieser Antikörper reagiert spezifisch mit Proben aus Human.
Produktnummer ABIN7185679
218,90 €
Zzgl. Versandkosten 20,00 € und MwSt
50 μg ABIN7324023
100 μg ABIN7185679
50 μg ABIN7324023
100 μg ABIN7185679
Lieferung in 11 bis 15 Werktagen
Kurzübersicht für Zinc Finger and SCAN Domain Containing 25 (ZSCAN25) (C-Term) Antikörper (ABIN7185679)
Target
Alle Zinc Finger and SCAN Domain Containing 25 (ZSCAN25) Antikörper anzeigen
Zinc Finger and SCAN Domain Containing 25 (ZSCAN25)
Reaktivität
Alle Reaktivitäten für ZSCAN25 Antikörper
Human
Wirt
Alle Wirte für ZSCAN25 Antikörper
Kaninchen
Klonalität
Alle Klonalitäten für ZSCAN25 Antikörper
Polyklonal
Konjugat
Alle Konjugate für ZSCAN25 Antikörper
Unkonjugiert
Applikation
Alle Applikationen für ZSCAN25 Antikörper
Western Blotting (WB), ELISA
Produktdetails
(ausblenden)
Bindungsspezifität
Alle Epitope für ZSCAN25 Antikörper
C-Term
Verwendungszweck
ZSCAN25 Antibody
Kreuzreaktivität
Affe
Aufreinigung
The antibody was affinity-purified from rabbit antiserum by affinity-chromatography using epitope-specific immunogen.
Immunogen
Synthesized peptide derived from the C-terminal region of Human ZNF498.
Isotyp
IgG
Alternativen
(anzeigen)
Anwendungsinformationen
(ausblenden)
Applikationshinweise
Optimal working dilution should be determined by the investigator.
Beschränkungen
Nur für Forschungszwecke einsetzbar
Handhabung
(ausblenden)
Format
Liquid
Buffer
PBS containing 50 % glycerol, 0.5 % BSA and 0.02 % sodium azide.
Konservierungsmittel
Sodium azide
Vorsichtsmaßnahmen
This product contains Sodium azide: a POISONOUS AND HAZARDOUS SUBSTANCE which should be handled by trained staff only.
Lagerung
-20 °C,-80 °C
Informationen zur Lagerung
Upon receipt, store at -20°C or -80°C. Avoid repeated freeze.
Antigendetails
(ausblenden)
Target
Zinc Finger and SCAN Domain Containing 25 (ZSCAN25)
Andere Bezeichnung
ZSCAN25
Hintergrund
ZSCAN25 antibody, ZNF498Zinc finger and SCAN domain-containing protein 25 antibody, Zinc finger protein 498 antibody
UniProt
Q6NSZ9
Zuletzt angesehen
(ausblenden)
Sie sind hier:
Startseite
anti-Zinc Finger and SCAN Domain Containing 25 (ZSCAN25) (C-Term) Antikörper (ABIN7185679)
Chat with us , powered by LiveChat