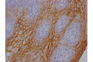
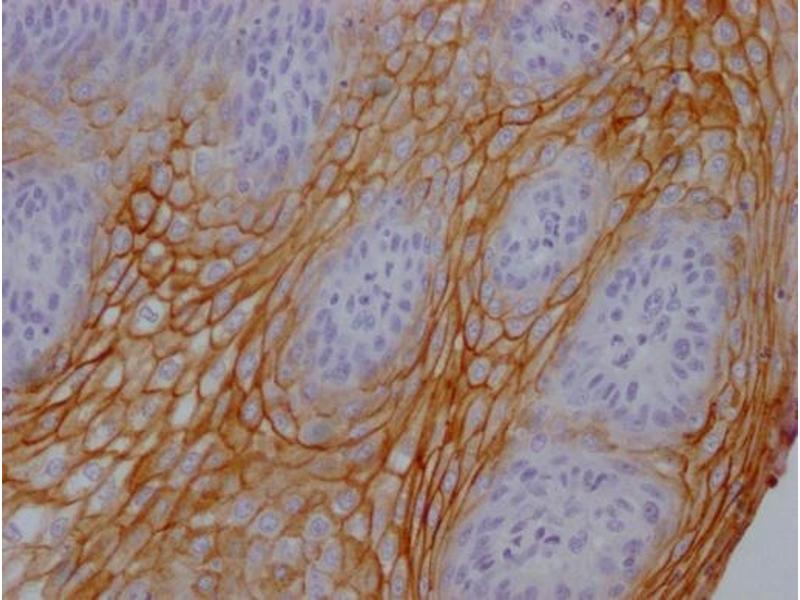
CEACAM5 Antikörper
Kurzübersicht für CEACAM5 Antikörper (ABIN7180656)
Target
Alle CEACAM5 Antikörper anzeigenReaktivität
Wirt
Klonalität
Konjugat
Applikation
-
-
Verwendungszweck
- CEACAM5 Monoclonal Antibody
-
Aufreinigung
- The antibody was affinity-purified from mouse ascites by affinity-chromatography using specific immunogen.
-
Immunogen
- Synthesized peptide derived from human carcinoembryonic antigen(CEA)
-
Isotyp
- IgG2b, kappa
-
-
-
-
Applikationshinweise
- Optimal working dilution should be determined by the investigator.
-
Beschränkungen
- Nur für Forschungszwecke einsetzbar
-
-
-
Format
- Liquid
-
Buffer
- PBS containing 50 % glycerol, 0.5 % BSA and 0.02 % sodium azide.
-
Konservierungsmittel
- Sodium azide
-
Vorsichtsmaßnahmen
- This product contains Sodium azide: a POISONOUS AND HAZARDOUS SUBSTANCE which should be handled by trained staff only.
-
Lagerung
- -20 °C,-80 °C
-
Informationen zur Lagerung
- Upon receipt, store at -20°C or -80°C. Avoid repeated freeze.
-
-
- CEACAM5 (Carcinoembryonic Antigen-Related Cell Adhesion Molecule 5 (CEACAM5))
-
Andere Bezeichnung
- CEACAM5
-
Hintergrund
-
Background: Cell surface glycoprotein that plays a role in cell adhesion and in intracellular signaling. Receptor for E.coli Dr adhesins.
Aliases: Carcinoembryonic antigen-related cell adhesion molecule 5 (Carcinoembryonic antigen) (CEA) (Meconium antigen 100) (CD antigen CD66e), CEACAM5, CEA
-
UniProt
- P06731
Target
-