Telefon:
+49 (0)241 95 163 153
Fax:
+49 (0)241 95 163 155
E-Mail:
orders@antikoerper-online.de

CTBP1 Antikörper (Ser422)

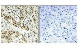
Der Kaninchen Polyklonal anti-CTBP1 Antikörper (ABIN7179997) detektiert spezifisch CTBP1 in WB, IHC und ELISA. Dieser Antikörper reagiert spezifisch mit Proben aus Human.
Produktnummer ABIN7179997
326,70 €
Zzgl. Versandkosten 20,00 € und MwSt
100 μL
Lieferung nach: Deutschland
Lieferung in 11 bis 15 Werktagen

Kurzübersicht für CTBP1 Antikörper (Ser422) (ABIN7179997)

Target

Alle CTBP1 Antikörper anzeigen
CTBP1 (C-terminal Binding Protein 1 (CTBP1))

Reaktivität

  • 97
  • 65
  • 59
  • 17
  • 6
  • 5
  • 4
  • 3
  • 2
  • 2
  • 2
  • 1
  • 1
Human

Wirt

  • 106
  • 8
Kaninchen

Klonalität

  • 87
  • 27
Polyklonal

Konjugat

  • 62
  • 7
  • 4
  • 3
  • 3
  • 3
  • 3
  • 3
  • 3
  • 3
  • 3
  • 3
  • 1
  • 1
  • 1
  • 1
  • 1
  • 1
  • 1
  • 1
  • 1
  • 1
  • 1
  • 1
  • 1
  • 1
Dieser CTBP1 Antikörper ist unkonjugiert

Applikation

  • 75
  • 38
  • 34
  • 25
  • 24
  • 14
  • 14
  • 14
  • 13
  • 6
  • 5
  • 4
  • 2
  • 1
  • 1
Western Blotting (WB), Immunohistochemistry (IHC), ELISA
  • Bindungsspezifität

    • 27
    • 14
    • 8
    • 8
    • 8
    • 3
    • 3
    • 2
    • 2
    • 2
    • 2
    • 1
    • 1
    • 1
    • 1
    • 1
    • 1
    • 1
    • 1
    • 1
    • 1
    • 1
    • 1
    • 1
    • 1
    • 1
    • 1
    • 1
    Ser422

    Verwendungszweck

    CTBP1 (Ab-422) Antibody

    Kreuzreaktivität

    Maus

    Aufreinigung

    The antibody was affinity-purified from rabbit antiserum by affinity-chromatography using epitope-specific immunogen.

    Immunogen

    Synthesized non-phosphopeptide derived from Human CtBP1 around the phosphorylation site of serine 422 (A-P-S(p)-P-G).

    Isotyp

    IgG
  • Applikationshinweise

    Optimal working dilution should be determined by the investigator.

    Beschränkungen

    Nur für Forschungszwecke einsetzbar
  • Format

    Liquid

    Buffer

    phosphate buffered saline (without Mg2+ and Ca2+), pH 7.4, 150 mM NaCl, 0.02 % sodium azide and 50 % glycerol.

    Konservierungsmittel

    Sodium azide

    Vorsichtsmaßnahmen

    This product contains Sodium azide: a POISONOUS AND HAZARDOUS SUBSTANCE which should be handled by trained staff only.

    Lagerung

    -20 °C,-80 °C

    Informationen zur Lagerung

    Upon receipt, store at -20°C or -80°C. Avoid repeated freeze.
  • Target

    CTBP1 (C-terminal Binding Protein 1 (CTBP1))

    Andere Bezeichnung

    CTBP1

    Hintergrund

    Background: Corepressor targeting diverse transcription regulators such as GLIS2 or BCL6. Has dehydrogenase activity. Involved in controlling the equilibrium between tubular and stacked structures in the Golgi complex. Functions in brown adipose tissue (BAT) differentiation.

    Schaeper U., Proc. Natl. Acad. Sci. U.S.A. 92:10467-10471(1995).
    Sewalt R.G.A.B., Mol. Cell. Biol. 19:777-787(1999).
    Boyd J.M., EMBO J. 12:469-478(1993).

    Aliases: BARS antibody, brefeldin A- ribosylated substrate antibody, C terminal binding protein 1 antibody, C-terminal-binding protein 1 antibody, CTBP antibody, CtBP1 antibody, CTBP1_HUMAN antibody, MGC104684 antibody

    UniProt

    Q13363

    Pathways

    Retinoic Acid Receptor Signaling Pathway
Sie sind hier:
Chat with us!