Telefon:
+49 (0)241 95 163 153
Fax:
+49 (0)241 95 163 155
E-Mail:
orders@antikoerper-online.de

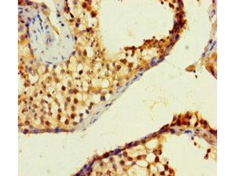
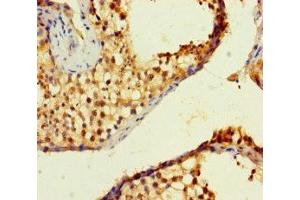
ZNF800 Antikörper (AA 1-300)

Der Kaninchen Polyklonal anti-ZNF800 Antikörper (ABIN7176535) detektiert spezifisch ZNF800 in ELISA und IHC. Dieser Antikörper reagiert spezifisch mit Proben aus Human.
Produktnummer ABIN7176535
328,90 €
Zzgl. Versandkosten 20,00 € und MwSt
Lieferung nach: Deutschland
Lieferung in 11 bis 15 Werktagen

Kurzübersicht für ZNF800 Antikörper (AA 1-300) (ABIN7176535)

Target

Alle ZNF800 Antikörper anzeigen
ZNF800 (Zinc Finger Protein 800 (ZNF800))

Reaktivität

  • 15
  • 5
  • 4
  • 4
  • 4
  • 3
  • 3
  • 2
  • 2
  • 2
  • 2
  • 1
  • 1
Human

Wirt

  • 15
Kaninchen

Klonalität

  • 15
Polyklonal

Konjugat

  • 9
  • 2
  • 2
  • 2
Dieser ZNF800 Antikörper ist unkonjugiert

Applikation

  • 8
  • 7
  • 2
  • 1
ELISA, Immunohistochemistry (IHC)
  • Bindungsspezifität

    • 7
    • 3
    • 2
    • 1
    • 1
    AA 1-300

    Verwendungszweck

    ZNF800 Antibody

    Aufreinigung

    Protein G purified

    Reinheit

    >95 %

    Immunogen

    Recombinant Human Zinc finger protein 800 protein (1-300AA)

    Isotyp

    IgG
  • Applikationshinweise

    Optimal working dilution should be determined by the investigator.

    Beschränkungen

    Nur für Forschungszwecke einsetzbar
  • Format

    Liquid

    Buffer

    Preservative: 0.03 % Proclin 300
    Constituents: 50 % Glycerol, 0.01M PBS, PH 7.4

    Konservierungsmittel

    ProClin

    Vorsichtsmaßnahmen

    This product contains ProClin: a POISONOUS AND HAZARDOUS SUBSTANCE which should be handled by trained staff only.

    Lagerung

    -20 °C,-80 °C

    Informationen zur Lagerung

    Upon receipt, store at -20°C or -80°C. Avoid repeated freeze.
  • Target

    ZNF800 (Zinc Finger Protein 800 (ZNF800))

    Andere Bezeichnung

    ZNF800

    Hintergrund

    Background: May be involved in transcriptional regulation.

    Aliases: ZNF800 antibody, PP902Zinc finger protein 800 antibody

    UniProt

    Q2TB10
Sie sind hier:
Chat with us!