Telefon:
+49 (0)241 95 163 153
Fax:
+49 (0)241 95 163 155
E-Mail:
orders@antikoerper-online.de

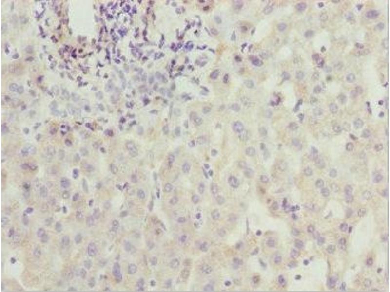
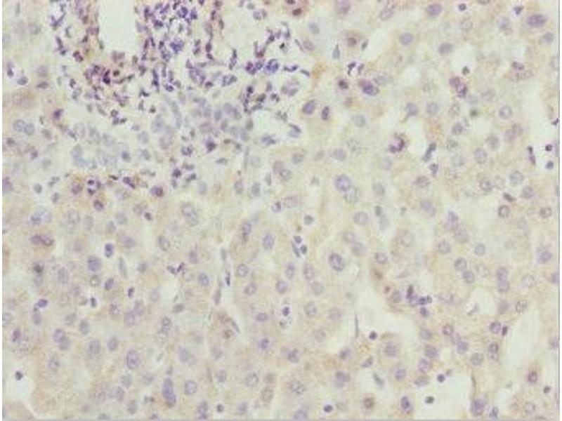
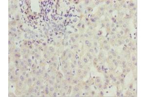
ZNF785 Antikörper (AA 1-200)

Der Kaninchen Polyklonal anti-ZNF785 Antikörper (ABIN7176529) detektiert spezifisch ZNF785 in ELISA und IHC. Dieser Antikörper reagiert spezifisch mit Proben aus Human.
Produktnummer ABIN7176529
328,90 €
Zzgl. Versandkosten 20,00 € und MwSt
Lieferung nach: Deutschland
Lieferung in 11 bis 15 Werktagen

Kurzübersicht für ZNF785 Antikörper (AA 1-200) (ABIN7176529)

Target

Alle ZNF785 Antikörper anzeigen
ZNF785 (Zinc Finger Protein 785 (ZNF785))

Reaktivität

  • 17
  • 2
  • 1
  • 1
Human

Wirt

  • 17
Kaninchen

Klonalität

  • 17
Polyklonal

Konjugat

  • 12
  • 1
  • 1
  • 1
  • 1
  • 1
Dieser ZNF785 Antikörper ist unkonjugiert

Applikation

  • 17
  • 11
  • 6
  • 2
  • 1
  • 1
ELISA, Immunohistochemistry (IHC)
  • Bindungsspezifität

    • 9
    • 3
    • 2
    • 1
    • 1
    • 1
    AA 1-200

    Verwendungszweck

    ZNF785 Antibody

    Aufreinigung

    Antigen Affinity Purified

    Immunogen

    Recombinant Human Zinc finger protein 785 protein (1-200AA)

    Isotyp

    IgG
  • Applikationshinweise

    Optimal working dilution should be determined by the investigator.

    Beschränkungen

    Nur für Forschungszwecke einsetzbar
  • Format

    Liquid

    Buffer

    PBS with 0.02 % sodium azide, 50 % glycerol, pH 7.3.

    Konservierungsmittel

    Sodium azide

    Vorsichtsmaßnahmen

    This product contains Sodium azide: a POISONOUS AND HAZARDOUS SUBSTANCE which should be handled by trained staff only.

    Lagerung

    -20 °C,-80 °C

    Informationen zur Lagerung

    Upon receipt, store at -20°C or -80°C. Avoid repeated freeze.
  • Target

    ZNF785 (Zinc Finger Protein 785 (ZNF785))

    Andere Bezeichnung

    ZNF785

    Hintergrund

    Background: May be involved in transcriptional regulation.

    Aliases: ZNF785 antibody, Zinc finger protein 785 antibody

    UniProt

    A8K8V0
Sie sind hier:
Chat with us!