Telefon:
+49 (0)241 95 163 153
Fax:
+49 (0)241 95 163 155
E-Mail:
orders@antikoerper-online.de

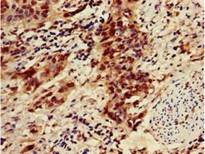
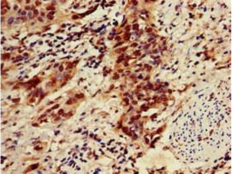
ZNF695 Antikörper (AA 1-88)

Dieser Kaninchen Polyklonal Antikörper detektiert spezifisch ZNF695 in WB, ELISA, IHC und IF. Es zeigt Reaktivität gegenüber Proben von Human.
Produktnummer ABIN7176497
328,90 €
Zzgl. Versandkosten 20,00 € und MwSt
Lieferung nach: Deutschland
Lieferung in 11 bis 15 Werktagen

Kurzübersicht für ZNF695 Antikörper (AA 1-88) (ABIN7176497)

Target

Alle ZNF695 Antikörper anzeigen
ZNF695 (Zinc Finger Protein 695 (ZNF695))

Reaktivität

  • 26
  • 1
  • 1
  • 1
Human

Wirt

  • 24
  • 2
Kaninchen

Klonalität

  • 26
Polyklonal

Konjugat

  • 11
  • 3
  • 2
  • 2
  • 1
  • 1
  • 1
  • 1
  • 1
  • 1
  • 1
  • 1
Dieser ZNF695 Antikörper ist unkonjugiert

Applikation

  • 16
  • 14
  • 1
  • 1
  • 1
  • 1
Western Blotting (WB), ELISA, Immunohistochemistry (IHC), Immunofluorescence (IF)
  • Bindungsspezifität

    • 7
    • 5
    • 2
    • 2
    • 2
    • 1
    • 1
    • 1
    • 1
    AA 1-88

    Verwendungszweck

    ZNF695 Antibody

    Kreuzreaktivität

    Maus, Ratte

    Aufreinigung

    Protein G purified

    Reinheit

    >95 %

    Immunogen

    Recombinant Human Zinc finger protein 695 protein (1-88AA)

    Isotyp

    IgG
  • Applikationshinweise

    Optimal working dilution should be determined by the investigator.

    Beschränkungen

    Nur für Forschungszwecke einsetzbar
  • Format

    Liquid

    Buffer

    Preservative: 0.03 % Proclin 300
    Constituents: 50 % Glycerol, 0.01M PBS, pH 7.4

    Konservierungsmittel

    ProClin

    Vorsichtsmaßnahmen

    This product contains ProClin: a POISONOUS AND HAZARDOUS SUBSTANCE which should be handled by trained staff only.

    Lagerung

    -20 °C,-80 °C

    Informationen zur Lagerung

    Upon receipt, store at -20°C or -80°C. Avoid repeated freeze.
  • Target

    ZNF695 (Zinc Finger Protein 695 (ZNF695))

    Andere Bezeichnung

    ZNF695

    Hintergrund

    Background: May be involved in transcriptional regulation.

    Aliases: MGC61907 antibody, RP11-551G24.1 antibody, SBZF3 antibody, Zinc finger protein 695 antibody, Zinc finger protein SBZF3 antibody, ZN695_HUMAN antibody, ZNF695 antibody

    UniProt

    Q8IW36
Sie sind hier:
Chat with us!