Telefon:
+49 (0)241 95 163 153
Fax:
+49 (0)241 95 163 155
E-Mail:
orders@antikoerper-online.de

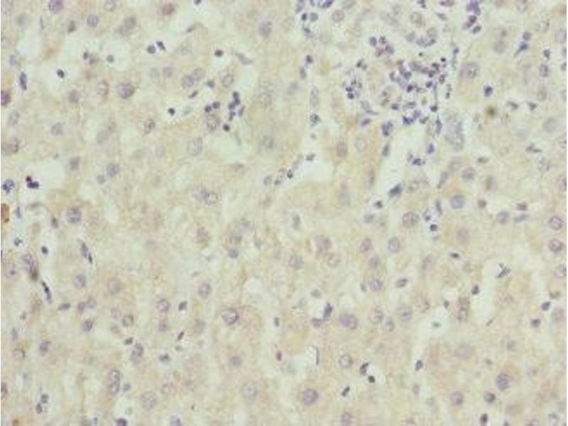
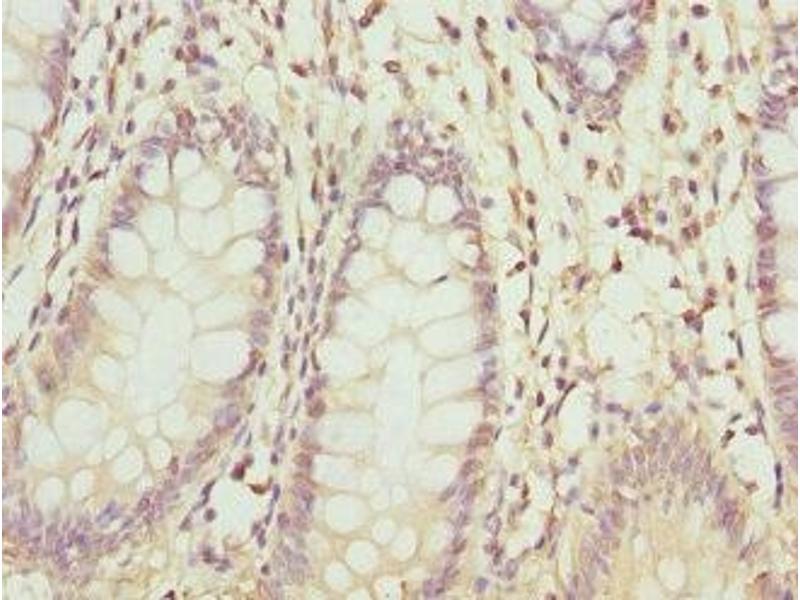
ZNF544 Antikörper (AA 1-230)

Der Kaninchen Polyklonal anti-ZNF544 Antikörper wird verwendet zum Nachweis von ZNF544 in Proben von Human. Er wurde validiert für IHC und ELISA.
Produktnummer ABIN7176363
328,90 €
Zzgl. Versandkosten 20,00 € und MwSt
Lieferung nach: Deutschland
Lieferung in 11 bis 15 Werktagen

Kurzübersicht für ZNF544 Antikörper (AA 1-230) (ABIN7176363)

Target

Alle ZNF544 Antikörper anzeigen
ZNF544 (Zinc Finger Protein 544 (ZNF544))

Reaktivität

  • 5
  • 2
  • 1
Human

Wirt

  • 4
  • 1
Kaninchen

Klonalität

  • 5
Polyklonal

Konjugat

  • 5
Dieser ZNF544 Antikörper ist unkonjugiert

Applikation

  • 5
  • 1
  • 1
Immunohistochemistry (IHC), ELISA
  • Bindungsspezifität

    • 1
    • 1
    AA 1-230

    Verwendungszweck

    ZNF544 Antibody

    Aufreinigung

    Antigen Affinity Purified

    Immunogen

    Recombinant Human Zinc finger protein 544 protein (1-230AA)

    Isotyp

    IgG
  • Applikationshinweise

    Optimal working dilution should be determined by the investigator.

    Beschränkungen

    Nur für Forschungszwecke einsetzbar
  • Format

    Liquid

    Buffer

    PBS with 0.02 % sodium azide, 50 % glycerol, pH 7.3.

    Konservierungsmittel

    Sodium azide

    Vorsichtsmaßnahmen

    This product contains Sodium azide: a POISONOUS AND HAZARDOUS SUBSTANCE which should be handled by trained staff only.

    Lagerung

    -20 °C,-80 °C

    Informationen zur Lagerung

    Upon receipt, store at -20°C or -80°C. Avoid repeated freeze.
  • Target

    ZNF544 (Zinc Finger Protein 544 (ZNF544))

    Andere Bezeichnung

    ZNF544

    Hintergrund

    Background: May be involved in transcriptional regulation.

    Aliases: Zinc finger protein 544 antibody, Zinc finger protein AF020591 antibody, ZN544_HUMAN antibody, ZNF 544 antibody, ZNF544 antibody

    UniProt

    Q6NX49
Sie sind hier:
Chat with us!