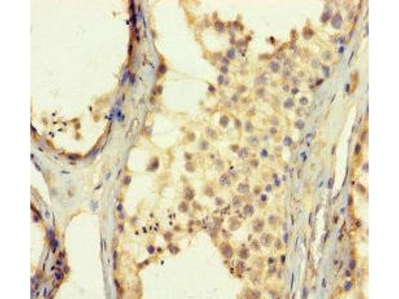
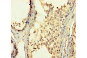
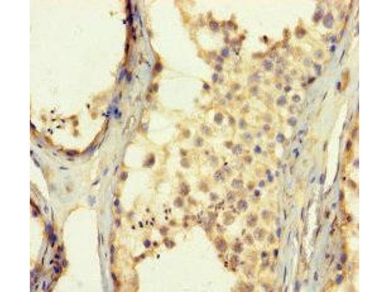
ZNF454 Antikörper (AA 301-522)
Kurzübersicht für ZNF454 Antikörper (AA 301-522) (ABIN7176323)
Target
Alle ZNF454 Antikörper anzeigenReaktivität
Wirt
Klonalität
Konjugat
Applikation
-
-
Bindungsspezifität
- AA 301-522
-
Verwendungszweck
- ZNF454 Antibody
-
Aufreinigung
- Protein G purified
-
Reinheit
- >95 %
-
Immunogen
- Recombinant Human Zinc finger protein 454 protein (301-522AA)
-
Isotyp
- IgG
-
-
-
-
Applikationshinweise
- Optimal working dilution should be determined by the investigator.
-
Beschränkungen
- Nur für Forschungszwecke einsetzbar
-
-
-
Format
- Liquid
-
Buffer
-
Preservative: 0.03 % Proclin 300
Constituents: 50 % Glycerol, 0.01M PBS, PH 7.4 -
Konservierungsmittel
- ProClin
-
Vorsichtsmaßnahmen
- This product contains ProClin: a POISONOUS AND HAZARDOUS SUBSTANCE which should be handled by trained staff only.
-
Lagerung
- -20 °C,-80 °C
-
Informationen zur Lagerung
- Upon receipt, store at -20°C or -80°C. Avoid repeated freeze.
-
-
- ZNF454 (Zinc Finger Protein 454 (ZNF454))
-
Andere Bezeichnung
- ZNF454
-
Hintergrund
-
Background: May be involved in transcriptional regulation.
Aliases: ZNF454Zinc finger protein 454 antibody
-
UniProt
- Q8N9F8
Target
-