Telefon:
+49 (0)241 95 163 153
Fax:
+49 (0)241 95 163 155
E-Mail:
orders@antikoerper-online.de

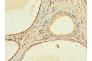
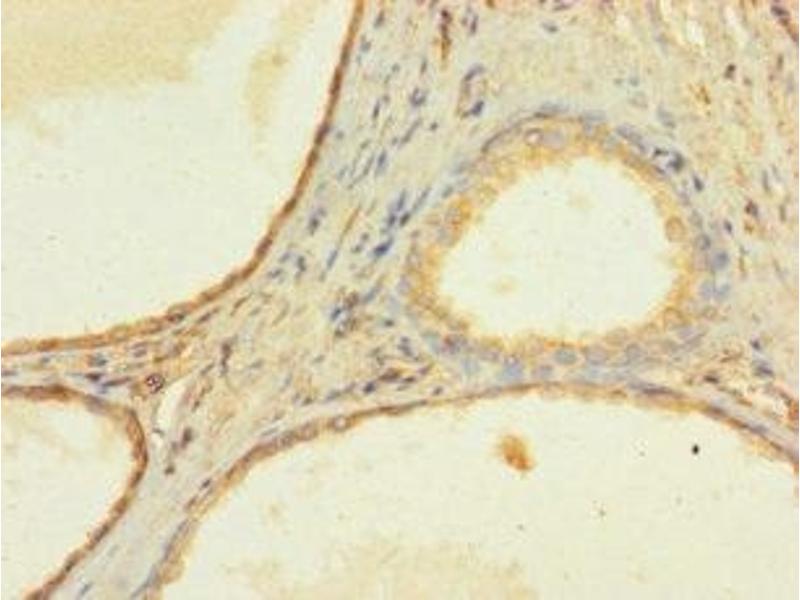
ZNF432 Antikörper (AA 1-260)

Dieser Kaninchen Polyklonal Antikörper detektiert spezifisch ZNF432 in ELISA und IHC. Es zeigt Reaktivität gegenüber Proben von Human.
Produktnummer ABIN7176311
328,90 €
Zzgl. Versandkosten 20,00 € und MwSt
Lieferung nach: Deutschland
Lieferung in 11 bis 15 Werktagen

Kurzübersicht für ZNF432 Antikörper (AA 1-260) (ABIN7176311)

Target

Alle ZNF432 Antikörper anzeigen
ZNF432 (Zinc Finger Protein 432 (ZNF432))

Reaktivität

  • 10
  • 3
  • 3
  • 3
  • 2
  • 2
  • 1
  • 1
  • 1
  • 1
  • 1
Human

Wirt

  • 10
Kaninchen

Klonalität

  • 10
Polyklonal

Konjugat

  • 6
  • 2
  • 1
  • 1
Dieser ZNF432 Antikörper ist unkonjugiert

Applikation

  • 5
  • 4
  • 1
ELISA, Immunohistochemistry (IHC)
  • Bindungsspezifität

    • 4
    • 2
    • 1
    • 1
    • 1
    • 1
    AA 1-260

    Verwendungszweck

    ZNF432 Antibody

    Aufreinigung

    Protein G purified

    Reinheit

    >95 %

    Immunogen

    Recombinant Human Zinc finger protein 432 protein (1-260AA)

    Isotyp

    IgG
  • Applikationshinweise

    Optimal working dilution should be determined by the investigator.

    Beschränkungen

    Nur für Forschungszwecke einsetzbar
  • Format

    Liquid

    Buffer

    Preservative: 0.03 % Proclin 300
    Constituents: 50 % Glycerol, 0.01M PBS, PH 7.4

    Konservierungsmittel

    ProClin

    Vorsichtsmaßnahmen

    This product contains ProClin: a POISONOUS AND HAZARDOUS SUBSTANCE which should be handled by trained staff only.

    Lagerung

    -20 °C,-80 °C

    Informationen zur Lagerung

    Upon receipt, store at -20°C or -80°C. Avoid repeated freeze.
  • Target

    ZNF432 (Zinc Finger Protein 432 (ZNF432))

    Andere Bezeichnung

    ZNF432

    Hintergrund

    Background: May be involved in transcriptional regulation.

    Aliases: ZNF432 antibody, KIAA0798Zinc finger protein 432 antibody

    UniProt

    O94892
Sie sind hier:
Chat with us!