Telefon:
+49 (0)241 95 163 153
Fax:
+49 (0)241 95 163 155
E-Mail:
orders@antikoerper-online.de

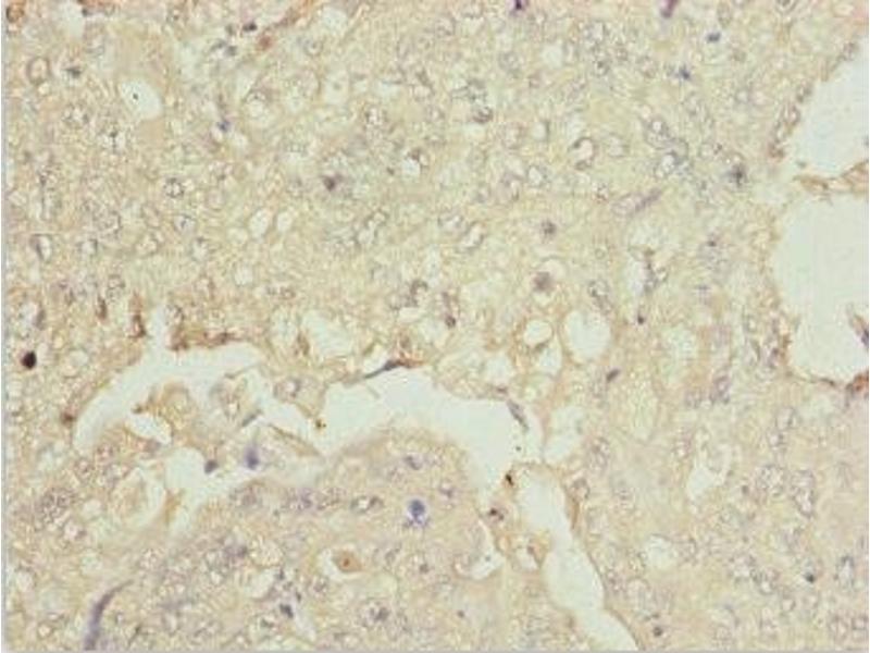
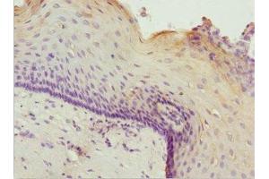
ZNF187 Antikörper (AA 239-478)

Der Kaninchen Polyklonal anti-ZNF187 Antikörper (ABIN7176007) detektiert spezifisch ZNF187 in WB, ELISA und IHC. Dieser Antikörper reagiert spezifisch mit Proben aus Human.
Produktnummer ABIN7176007
328,90 €
Zzgl. Versandkosten 20,00 € und MwSt
Lieferung nach: Deutschland
Lieferung in 11 bis 15 Werktagen

Kurzübersicht für ZNF187 Antikörper (AA 239-478) (ABIN7176007)

Target

Alle ZNF187 Antikörper anzeigen
ZNF187 (Zinc Finger Protein 187 (ZNF187))

Reaktivität

  • 31
  • 4
  • 3
  • 2
  • 1
  • 1
Human

Wirt

  • 23
  • 8
Kaninchen

Klonalität

  • 25
  • 6
Polyklonal

Konjugat

  • 26
  • 1
  • 1
  • 1
  • 1
  • 1
Dieser ZNF187 Antikörper ist unkonjugiert

Applikation

  • 27
  • 17
  • 12
  • 3
  • 2
  • 1
Western Blotting (WB), ELISA, Immunohistochemistry (IHC)
  • Bindungsspezifität

    • 8
    • 4
    • 3
    • 2
    • 2
    • 2
    • 2
    • 1
    • 1
    • 1
    • 1
    • 1
    • 1
    AA 239-478

    Verwendungszweck

    ZSCAN26 Antibody

    Kreuzreaktivität

    Maus

    Aufreinigung

    Antigen Affinity Purified

    Immunogen

    Recombinant Human Zinc finger and SCAN domain-containing protein 26 protein (239-478AA)

    Isotyp

    IgG
  • Applikationshinweise

    Optimal working dilution should be determined by the investigator.

    Beschränkungen

    Nur für Forschungszwecke einsetzbar
  • Format

    Liquid

    Buffer

    PBS with 0.02 % sodium azide, 50 % glycerol, pH 7.3.

    Konservierungsmittel

    Sodium azide

    Vorsichtsmaßnahmen

    This product contains Sodium azide: a POISONOUS AND HAZARDOUS SUBSTANCE which should be handled by trained staff only.

    Lagerung

    -20 °C,-80 °C

    Informationen zur Lagerung

    Upon receipt, store at -20°C or -80°C. Avoid repeated freeze.
  • Target

    ZNF187 (Zinc Finger Protein 187 (ZNF187))

    Andere Bezeichnung

    ZSCAN26

    Hintergrund

    Background: May be involved in transcriptional regulation.

    Aliases: MGC2815 antibody, Protein SRE ZBP antibody, Protein SRE-ZBP antibody, SRE ZBP antibody, Zinc finger and SCAN domain containing protein 26 antibody, Zinc finger and SCAN domain-containing protein 26 antibody, Zinc finger protein 187 antibody, ZN187_HUMAN antibody, Znf187 antibody, ZSCAN26 antibody

    UniProt

    Q16670
Sie sind hier:
Chat with us!