Telefon:
+49 (0)241 95 163 153
Fax:
+49 (0)241 95 163 155
E-Mail:
orders@antikoerper-online.de

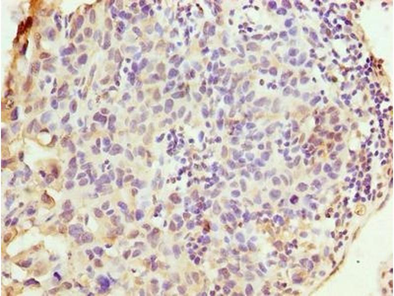
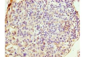
WDR62 Antikörper (AA 889-1188)

Der Kaninchen Polyklonal anti-WDR62 Antikörper (ABIN7175782) detektiert spezifisch WDR62 in ELISA und IHC. Dieser Antikörper reagiert spezifisch mit Proben aus Human.
Produktnummer ABIN7175782
328,90 €
Zzgl. Versandkosten 20,00 € und MwSt
Lieferung nach: Deutschland
Lieferung in 11 bis 15 Werktagen

Kurzübersicht für WDR62 Antikörper (AA 889-1188) (ABIN7175782)

Target

Alle WDR62 Antikörper anzeigen
WDR62 (WD Repeat Domain 62 (WDR62))

Reaktivität

  • 9
  • 2
  • 1
Human

Wirt

  • 9
  • 1
Kaninchen

Klonalität

  • 9
  • 1
Polyklonal

Konjugat

  • 6
  • 2
  • 1
  • 1
Dieser WDR62 Antikörper ist unkonjugiert

Applikation

  • 5
  • 4
  • 3
  • 1
  • 1
  • 1
  • 1
ELISA, Immunohistochemistry (IHC)
  • Bindungsspezifität

    • 4
    • 2
    • 1
    • 1
    • 1
    AA 889-1188

    Verwendungszweck

    WDR62 Antibody

    Aufreinigung

    Protein G purified

    Reinheit

    >95 %

    Immunogen

    Recombinant Human WD repeat-containing protein 62 protein (889-1188AA)

    Isotyp

    IgG
  • Applikationshinweise

    Optimal working dilution should be determined by the investigator.

    Beschränkungen

    Nur für Forschungszwecke einsetzbar
  • Format

    Liquid

    Buffer

    Preservative: 0.03 % Proclin 300
    Constituents: 50 % Glycerol, 0.01M PBS, PH 7.4

    Konservierungsmittel

    ProClin

    Vorsichtsmaßnahmen

    This product contains ProClin: a POISONOUS AND HAZARDOUS SUBSTANCE which should be handled by trained staff only.

    Lagerung

    -20 °C,-80 °C

    Informationen zur Lagerung

    Upon receipt, store at -20°C or -80°C. Avoid repeated freeze.
  • Target

    WDR62 (WD Repeat Domain 62 (WDR62))

    Andere Bezeichnung

    WDR62

    Hintergrund

    Background: Required for cerebral cortical development. Plays a role in neuronal proliferation and migration (PubMed:20890278, PubMed:20729831). Plays a role in mother-centriole-dependent centriole duplication, the function seems also to involve CEP152, CDK5RAP2 and CEP63 through a stepwise assembled complex at the centrosome that recruits CDK2 required for centriole duplication (PubMed:26297806).

    Aliases: WDR62 antibody, C19orf14 antibody, WD repeat-containing protein 62 antibody

    UniProt

    O43379
Sie sind hier:
Chat with us!