Telefon:
+49 (0)241 95 163 153
Fax:
+49 (0)241 95 163 155
E-Mail:
orders@antikoerper-online.de

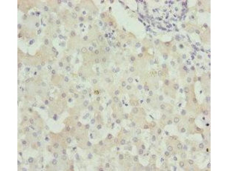
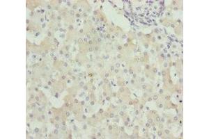
WDR45 Antikörper (AA 1-360)

Der Kaninchen Polyklonal anti-WDR45 Antikörper wird verwendet zum Nachweis von WDR45 in Proben von Human. Er wurde validiert für ELISA und IHC.
Produktnummer ABIN7175709
328,90 €
Zzgl. Versandkosten 20,00 € und MwSt
Lieferung nach: Deutschland
Lieferung in 11 bis 15 Werktagen

Kurzübersicht für WDR45 Antikörper (AA 1-360) (ABIN7175709)

Target

Alle WDR45 Antikörper anzeigen
WDR45 (WD Repeat Domain 45 (WDR45))

Reaktivität

  • 33
  • 5
  • 3
Human

Wirt

  • 31
  • 4
Kaninchen

Klonalität

  • 33
  • 2
Polyklonal

Konjugat

  • 15
  • 2
  • 2
  • 2
  • 2
  • 2
  • 1
  • 1
  • 1
  • 1
  • 1
  • 1
  • 1
  • 1
  • 1
  • 1
Dieser WDR45 Antikörper ist unkonjugiert

Applikation

  • 25
  • 12
  • 10
  • 9
  • 2
  • 1
ELISA, Immunohistochemistry (IHC)
  • Bindungsspezifität

    • 10
    • 8
    • 2
    • 2
    • 1
    • 1
    • 1
    • 1
    AA 1-360

    Verwendungszweck

    WDR45 Antibody

    Aufreinigung

    Antigen Affinity Purified

    Immunogen

    Recombinant Human WD repeat domain phosphoinositide-interacting protein 4 protein (1-360AA)

    Isotyp

    IgG
  • Applikationshinweise

    Optimal working dilution should be determined by the investigator.

    Beschränkungen

    Nur für Forschungszwecke einsetzbar
  • Format

    Liquid

    Buffer

    PBS with 0.02 % sodium azide, 50 % glycerol, pH 7.3.

    Konservierungsmittel

    Sodium azide

    Vorsichtsmaßnahmen

    This product contains Sodium azide: a POISONOUS AND HAZARDOUS SUBSTANCE which should be handled by trained staff only.

    Lagerung

    -20 °C,-80 °C

    Informationen zur Lagerung

    Upon receipt, store at -20°C or -80°C. Avoid repeated freeze.
  • Target

    WDR45 (WD Repeat Domain 45 (WDR45))

    Andere Bezeichnung

    WDR45

    Hintergrund

    Background: Plays an important role in the autophagy pathway, which is the major intracellular degradation system by which cytoplasmic materials are packaged into autophagosomes and delivered to lysosomes for degradation.

    Aliases: WDR45 antibody, WDRX1 antibody, WDRXI4 antibody, WIPI4 antibody, JM5 antibody, WD repeat domain phosphoinositide-interacting protein 4 antibody, WIPI-4 antibody, WD repeat-containing protein 45 antibody

    UniProt

    Q9Y484
Sie sind hier:
Chat with us!