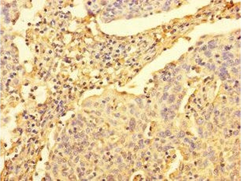
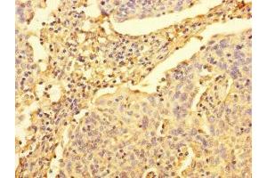
UPRT Antikörper (AA 1-309)
Kurzübersicht für UPRT Antikörper (AA 1-309) (ABIN7175093)
Target
Alle UPRT Antikörper anzeigenReaktivität
Wirt
Klonalität
Konjugat
Applikation
-
-
Bindungsspezifität
- AA 1-309
-
Verwendungszweck
- UPRT Antibody
-
Aufreinigung
- Protein G purified
-
Reinheit
- >95 %
-
Immunogen
- Recombinant Human Uracil phosphoribosyltransferase homolog protein (1-309AA)
-
Isotyp
- IgG
-
-
-
-
Applikationshinweise
- Optimal working dilution should be determined by the investigator.
-
Beschränkungen
- Nur für Forschungszwecke einsetzbar
-
-
-
Format
- Liquid
-
Buffer
-
Preservative: 0.03 % Proclin 300
Constituents: 50 % Glycerol, 0.01M PBS, PH 7.4 -
Konservierungsmittel
- ProClin
-
Vorsichtsmaßnahmen
- This product contains ProClin: a POISONOUS AND HAZARDOUS SUBSTANCE which should be handled by trained staff only.
-
Lagerung
- -20 °C,-80 °C
-
Informationen zur Lagerung
- Upon receipt, store at -20°C or -80°C. Avoid repeated freeze.
-
-
- UPRT (Uracil phosphoribosyltransferase (FUR1) Homolog (UPRT))
-
Andere Bezeichnung
- UPRT
-
Hintergrund
-
Background: cytosol, uridine kinase activity, pyrimidine nucleobase metabolic process, pyrimidine nucleoside salvage
Aliases: DKFZp781E1243 antibody, FUR1 antibody, Gm774 antibody, MGC23937 antibody, RGD1564806 antibody, RP11-311P8.3 antibody, RP23-92C4.1 antibody, UPP antibody, UPP_HUMAN antibody, uprt antibody, Uracil phosphoribosyltransferase homolog antibody
-
UniProt
- Q96BW1
-
Pathways
- Ribonucleoside Biosynthetic Process
Target
-