×
Aktivieren Sie Javascript in Ihrem Browser, um unsere Webseite optimal zu nutzen.
C5ORF22 Antikörper (AA 101-420)
Der Kaninchen Polyklonal anti-C5ORF22 Antikörper (ABIN7175029) detektiert spezifisch C5ORF22 in WB, ELISA und IHC.
Dieser Antikörper reagiert spezifisch mit Proben aus Human.
Produktnummer ABIN7175029
328,90 €
Zzgl. Versandkosten 20,00 € und MwSt
50 μg ABIN7354663
100 μg ABIN7175029
50 μg ABIN7354663
100 μg ABIN7175029
Lieferung in 11 bis 15 Werktagen
Kurzübersicht für C5ORF22 Antikörper (AA 101-420) (ABIN7175029)
Target
C5ORF22
(Chromosome 5 Open Reading Frame 22 (C5ORF22))
Reaktivität
Alle Reaktivitäten für C5ORF22 Antikörper
Human
Wirt
Alle Wirte für C5ORF22 Antikörper
Kaninchen
Klonalität
Alle Klonalitäten für C5ORF22 Antikörper
Polyklonal
Konjugat
Alle Konjugate für C5ORF22 Antikörper
Dieser C5ORF22 Antikörper ist unkonjugiert
Applikation
Alle Applikationen für C5ORF22 Antikörper
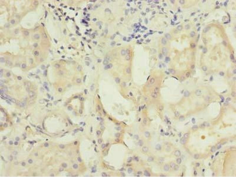
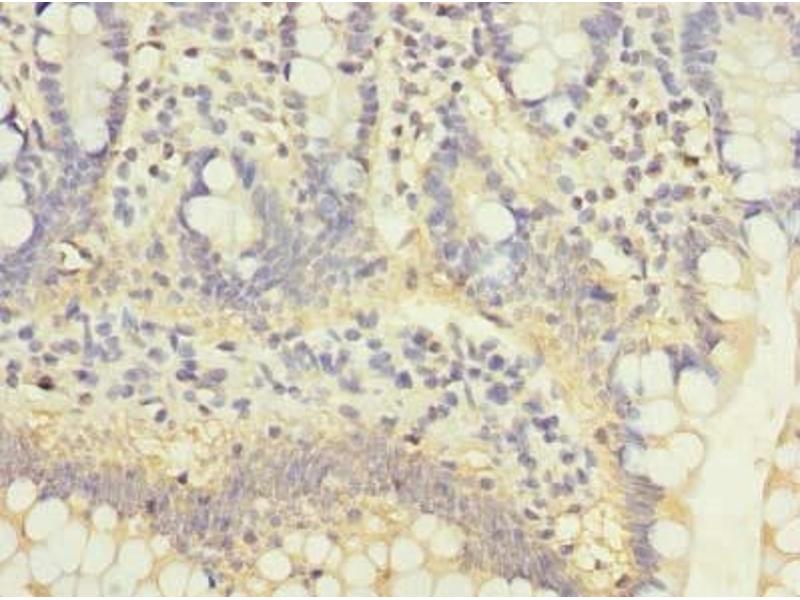
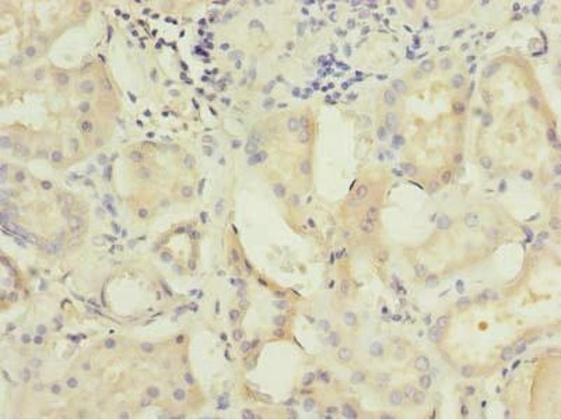
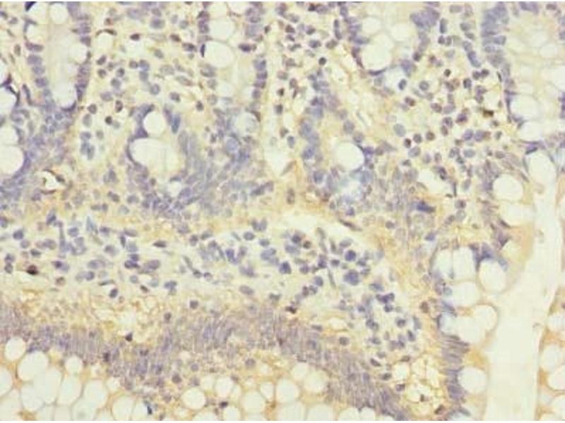
Western Blotting (WB), ELISA, Immunohistochemistry (IHC)
Produktdetails anti-C5ORF22 Antikörper
(ausblenden)
Bindungsspezifität
Alle Epitope für C5ORF22 Antikörper
AA 101-420
Verwendungszweck
C5orf22 Antibody
Kreuzreaktivität
Maus
Aufreinigung
Protein G purified
Reinheit
>95 %
Immunogen
Recombinant Human UPF0489 protein C5orf22 protein (101-420AA)
Isotyp
IgG
Alternativen
(anzeigen)
Anwendungsinformationen
(ausblenden)
Applikationshinweise
Optimal working dilution should be determined by the investigator.
Beschränkungen
Nur für Forschungszwecke einsetzbar
Handhabung
(ausblenden)
Format
Liquid
Buffer
Preservative: 0.03 % Proclin 300 Constituents: 50 % Glycerol, 0.01M PBS, PH 7.4
Konservierungsmittel
ProClin
Vorsichtsmaßnahmen
This product contains ProClin: a POISONOUS AND HAZARDOUS SUBSTANCE which should be handled by trained staff only.
Lagerung
-20 °C,-80 °C
Informationen zur Lagerung
Upon receipt, store at -20°C or -80°C. Avoid repeated freeze.
Details zu C5ORF22
(ausblenden)
Target
C5ORF22
(Chromosome 5 Open Reading Frame 22 (C5ORF22))
Andere Bezeichnung
C5orf22
Hintergrund
C5orf22 antibody, UPF0489 protein C5orf22 antibody
UniProt
Q49AR2
Zuletzt angesehen
(ausblenden)
Sie sind hier:
Startseite
anti-C5ORF22 Antikörper (AA 101-420) (ABIN7175029)
Chat with us , powered by LiveChat