Telefon:
+49 (0)241 95 163 153
Fax:
+49 (0)241 95 163 155
E-Mail:
orders@antikoerper-online.de

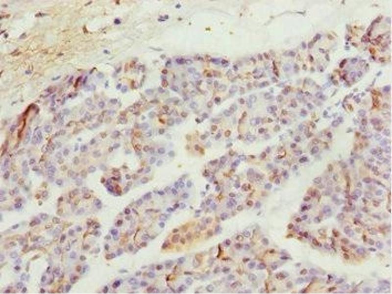
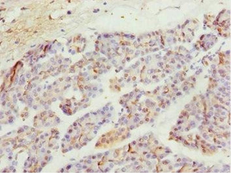
MYO5C Antikörper (AA 270-420)

Der Kaninchen Polyklonal anti-MYO5C Antikörper wird verwendet zum Nachweis von MYO5C in Proben von Human. Er wurde validiert für ELISA und IHC.
Produktnummer ABIN7174959
328,90 €
Zzgl. Versandkosten 20,00 € und MwSt
Lieferung nach: Deutschland
Lieferung in 11 bis 15 Werktagen

Kurzübersicht für MYO5C Antikörper (AA 270-420) (ABIN7174959)

Target

MYO5C

Reaktivität

  • 8
  • 2
  • 2
Human

Wirt

  • 5
  • 3
Kaninchen

Klonalität

  • 8
Polyklonal

Konjugat

  • 8
Dieser MYO5C Antikörper ist unkonjugiert

Applikation

  • 8
  • 3
  • 1
  • 1
ELISA, Immunohistochemistry (IHC)
  • Bindungsspezifität

    • 2
    • 2
    • 1
    AA 270-420

    Verwendungszweck

    MYO5C Antibody

    Aufreinigung

    Antigen Affinity Purified

    Immunogen

    Recombinant Human Unconventional myosin-Vc protein (270-420AA)

    Isotyp

    IgG
  • Applikationshinweise

    Optimal working dilution should be determined by the investigator.

    Beschränkungen

    Nur für Forschungszwecke einsetzbar
  • Format

    Liquid

    Buffer

    PBS with 0.02 % sodium azide, 50 % glycerol, pH 7.3.

    Konservierungsmittel

    Sodium azide

    Vorsichtsmaßnahmen

    This product contains Sodium azide: a POISONOUS AND HAZARDOUS SUBSTANCE which should be handled by trained staff only.

    Lagerung

    -20 °C,-80 °C

    Informationen zur Lagerung

    Upon receipt, store at -20°C or -80°C. Avoid repeated freeze.
  • Target

    MYO5C

    Hintergrund

    Background: May be involved in transferrin trafficking. Likely to power actin-based membrane trafficking in many physiologically crucial tissues.

    Aliases: MGC74969 antibody, MYO5C antibody, MYO5C_HUMAN antibody, Myosin 5C antibody, myosin VC antibody, Unconventional myosin-Vc antibody

    UniProt

    Q9NQX4
Sie sind hier:
Chat with us!