×
Aktivieren Sie Javascript in Ihrem Browser, um unsere Webseite optimal zu nutzen.
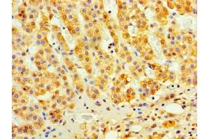
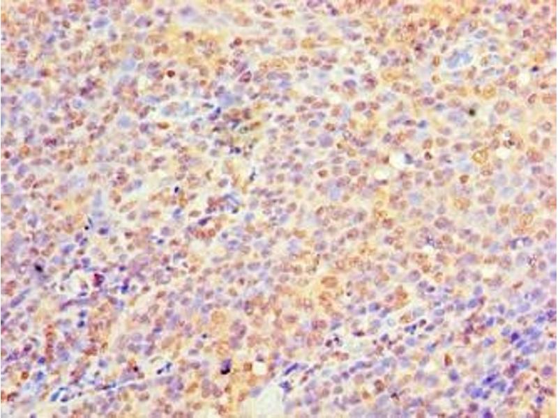
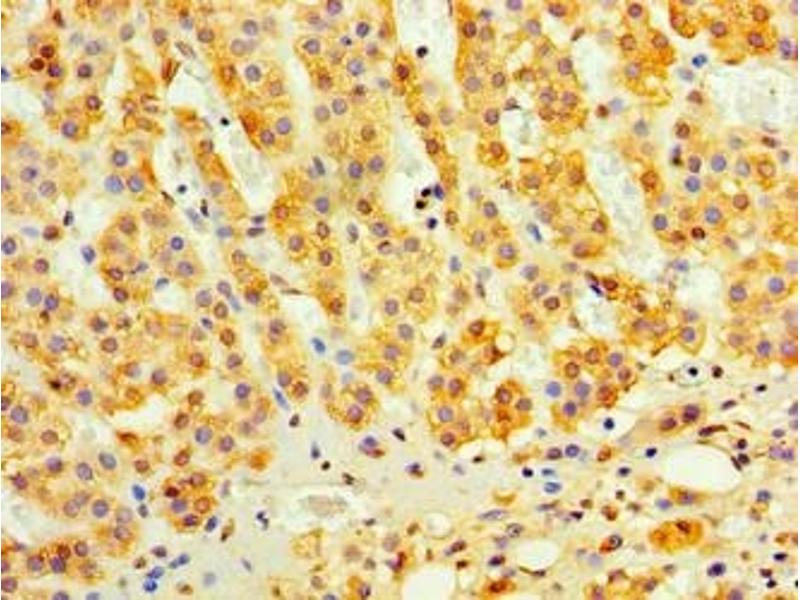
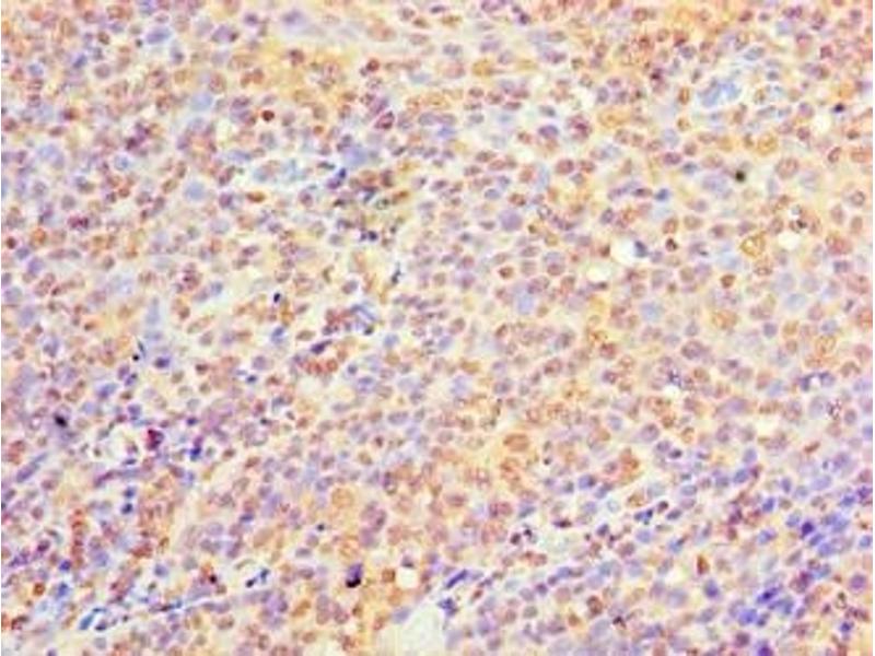
C9orf163 Antikörper (AA 1-203)
Der Kaninchen Polyklonal anti-C9orf163 Antikörper (ABIN7174912) detektiert spezifisch C9orf163 in ELISA und IHC.
Dieser Antikörper reagiert spezifisch mit Proben aus Human.
Produktnummer ABIN7174912
328,90 €
Zzgl. Versandkosten 20,00 € und MwSt
50 μg ABIN7356962
100 μg ABIN7174912
50 μg ABIN7356962
100 μg ABIN7174912
Lieferung in 11 bis 15 Werktagen
Kurzübersicht für C9orf163 Antikörper (AA 1-203) (ABIN7174912)
Target
C9orf163 (C9ORF163)
(Chromosome 9 Open Reading Frame 163 (C9ORF163))
Reaktivität
Human
Wirt
Alle Wirte für C9orf163 Antikörper
Kaninchen
Klonalität
Alle Klonalitäten für C9orf163 Antikörper
Polyklonal
Konjugat
Alle Konjugate für C9orf163 Antikörper
Dieser C9orf163 Antikörper ist unkonjugiert
Applikation
Alle Applikationen für C9orf163 Antikörper
ELISA, Immunohistochemistry (IHC)
Produktdetails anti-C9orf163 Antikörper
(ausblenden)
Bindungsspezifität
Alle Epitope für C9orf163 Antikörper
AA 1-203
Verwendungszweck
C9orf163 Antibody
Aufreinigung
Protein G purified
Reinheit
>95 %
Immunogen
Recombinant Human Uncharacterized protein C9orf163 protein (1-203AA)
Isotyp
IgG
Alternativen
(anzeigen)
Anwendungsinformationen
(ausblenden)
Applikationshinweise
Optimal working dilution should be determined by the investigator.
Beschränkungen
Nur für Forschungszwecke einsetzbar
Handhabung
(ausblenden)
Format
Liquid
Buffer
Preservative: 0.03 % Proclin 300 Constituents: 50 % Glycerol, 0.01M PBS, PH 7.4
Konservierungsmittel
ProClin
Vorsichtsmaßnahmen
This product contains ProClin: a POISONOUS AND HAZARDOUS SUBSTANCE which should be handled by trained staff only.
Lagerung
-20 °C,-80 °C
Informationen zur Lagerung
Upon receipt, store at -20°C or -80°C. Avoid repeated freeze.
Details zu C9orf163
(ausblenden)
Target
C9orf163 (C9ORF163)
(Chromosome 9 Open Reading Frame 163 (C9ORF163))
Andere Bezeichnung
C9orf163
Hintergrund
C9orf163Uncharacterized protein C9orf163 antibody
UniProt
Q8N9P6
Zuletzt angesehen
(ausblenden)
Sie sind hier:
Startseite
anti-C9orf163 Antikörper (AA 1-203) (ABIN7174912)
Chat with us , powered by LiveChat