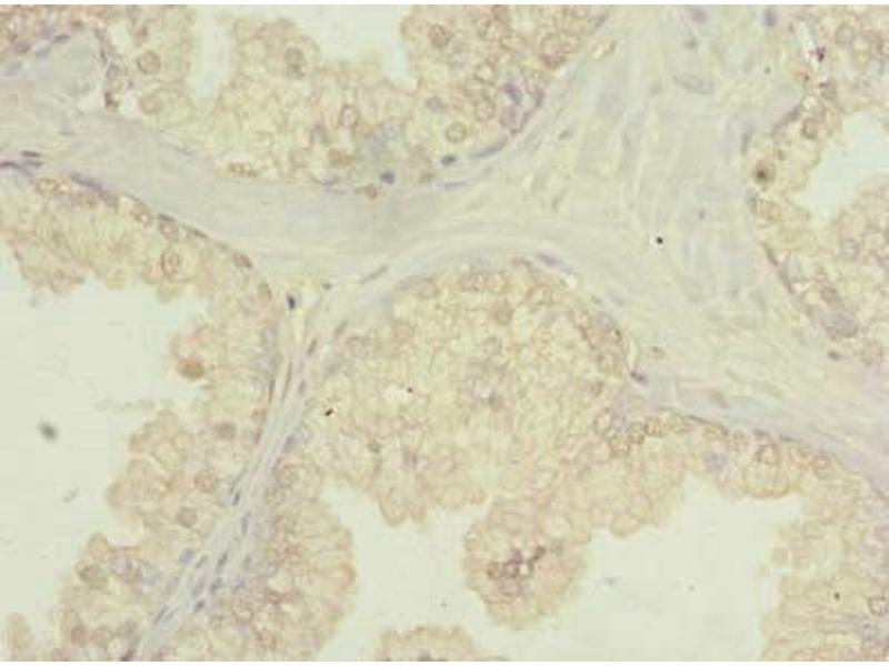
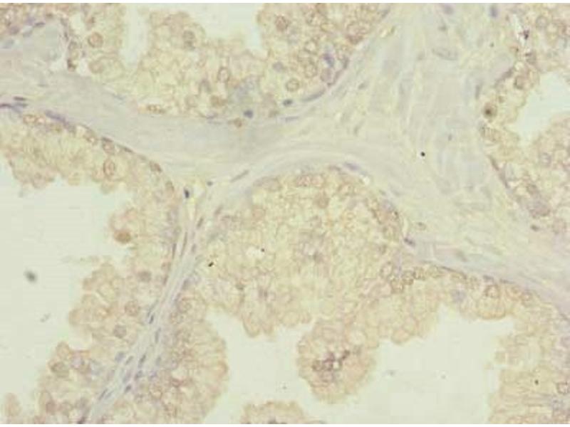
C20orf195 Antikörper (AA 10-310)
Kurzübersicht für C20orf195 Antikörper (AA 10-310) (ABIN7174808)
Target
Reaktivität
Wirt
Klonalität
Konjugat
Applikation
-
-
Bindungsspezifität
- AA 10-310
-
Verwendungszweck
- FNDC11 Antibody
-
Aufreinigung
- Protein G purified
-
Reinheit
- >95 %
-
Immunogen
- Recombinant Human Uncharacterized protein C20orf195 protein (10-310AA)
-
Isotyp
- IgG
-
-
-
-
Applikationshinweise
- Optimal working dilution should be determined by the investigator.
-
Beschränkungen
- Nur für Forschungszwecke einsetzbar
-
-
-
Format
- Liquid
-
Buffer
-
Preservative: 0.03 % Proclin 300
Constituents: 50 % Glycerol, 0.01M PBS, PH 7.4 -
Konservierungsmittel
- ProClin
-
Vorsichtsmaßnahmen
- This product contains ProClin: a POISONOUS AND HAZARDOUS SUBSTANCE which should be handled by trained staff only.
-
Lagerung
- -20 °C,-80 °C
-
Informationen zur Lagerung
- Upon receipt, store at -20°C or -80°C. Avoid repeated freeze.
-
-
- C20orf195 (Chromosome 20 Open Reading Frame 195 (C20orf195))
-
Andere Bezeichnung
- FNDC11
-
Hintergrund
-
Background: extracellular exosome
Aliases: FNDC11 antibody, C20orf195Fibronectin type III domain-containing protein 11 antibody
-
UniProt
- Q9BVV2
Target
-