Telefon:
+49 (0)241 95 163 153
Fax:
+49 (0)241 95 163 155
E-Mail:
orders@antikoerper-online.de

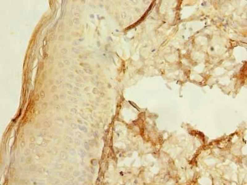
UBXN6 Antikörper (AA 1-388)

Der Kaninchen Polyklonal anti-UBXN6 Antikörper wird verwendet zum Nachweis von UBXN6 in Proben von Human. Er wurde validiert für WB, ELISA und IHC.
Produktnummer ABIN7174599
328,90 €
Zzgl. Versandkosten 20,00 € und MwSt
Lieferung nach: Deutschland
Lieferung in 11 bis 15 Werktagen

Kurzübersicht für UBXN6 Antikörper (AA 1-388) (ABIN7174599)

Target

Alle UBXN6 Antikörper anzeigen
UBXN6 (UBX Domain Protein 6 (UBXN6))

Reaktivität

  • 25
  • 16
  • 4
  • 4
  • 3
  • 3
  • 3
  • 3
  • 2
  • 1
  • 1
  • 1
  • 1
Human

Wirt

  • 23
  • 2
Kaninchen

Klonalität

  • 23
  • 2
Polyklonal

Konjugat

  • 16
  • 3
  • 2
  • 2
  • 1
  • 1
Dieser UBXN6 Antikörper ist unkonjugiert

Applikation

  • 20
  • 13
  • 13
  • 5
  • 3
  • 3
Western Blotting (WB), ELISA, Immunohistochemistry (IHC)
  • Bindungsspezifität

    • 8
    • 5
    • 4
    • 2
    • 1
    • 1
    • 1
    • 1
    AA 1-388

    Verwendungszweck

    UBXN6 Antibody

    Kreuzreaktivität

    Maus

    Aufreinigung

    Protein G purified

    Reinheit

    >95 %

    Immunogen

    Recombinant Human UBX domain-containing protein 6 protein (1-388AA)

    Isotyp

    IgG
  • Applikationshinweise

    Optimal working dilution should be determined by the investigator.

    Beschränkungen

    Nur für Forschungszwecke einsetzbar
  • Format

    Liquid

    Buffer

    Preservative: 0.03 % Proclin 300
    Constituents: 50 % Glycerol, 0.01M PBS, PH 7.4

    Konservierungsmittel

    ProClin

    Vorsichtsmaßnahmen

    This product contains ProClin: a POISONOUS AND HAZARDOUS SUBSTANCE which should be handled by trained staff only.

    Lagerung

    -20 °C,-80 °C

    Informationen zur Lagerung

    Upon receipt, store at -20°C or -80°C. Avoid repeated freeze.
  • Target

    UBXN6 (UBX Domain Protein 6 (UBXN6))

    Andere Bezeichnung

    UBXN6

    Hintergrund

    Background: Acts in a complex with VCP and cooperates with USP7 in promoting MDM2 deubiquitination and stabilization. MDM2 stabilization leads to MDM2-dependent TP53 degradation.

    Aliases: UBX domain containing 1 antibody, UBX domain containing 2 antibody, UBX domain containing protein 1 antibody, UBX domain containing protein 6 antibody, UBX domain protein 6 antibody, UBX domain-containing protein 1 antibody, UBX domain-containing protein 6 antibody, UBXD1 antibody, UBXDC2 antibody, Ubxn6 antibody, UBXN6_HUMAN antibody

    UniProt

    Q9BZV1
Sie sind hier:
Chat with us!