Telefon:
+49 (0)241 95 163 153
Fax:
+49 (0)241 95 163 155
E-Mail:
orders@antikoerper-online.de

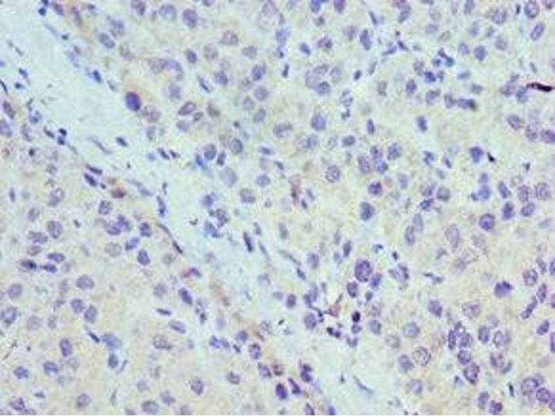
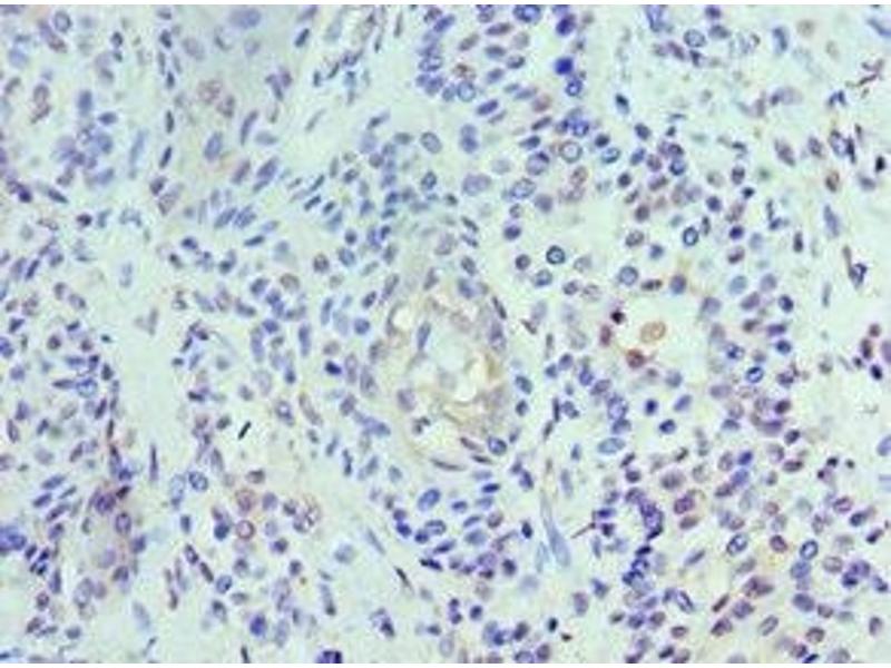
UBE2J2 Antikörper (AA 1-230)

Der Kaninchen Polyklonal anti-UBE2J2 Antikörper (ABIN7174459) detektiert spezifisch UBE2J2 in WB, IHC und ELISA. Dieser Antikörper reagiert spezifisch mit Proben aus Human.
Produktnummer ABIN7174459
328,90 €
Zzgl. Versandkosten 20,00 € und MwSt
Lieferung nach: Deutschland
Lieferung in 11 bis 15 Werktagen

Kurzübersicht für UBE2J2 Antikörper (AA 1-230) (ABIN7174459)

Target

Alle UBE2J2 Antikörper anzeigen
UBE2J2 (Ubiquitin-Conjugating Enzyme E2, J2 (UBE2J2))

Reaktivität

  • 36
  • 15
  • 9
  • 5
  • 3
  • 3
  • 2
  • 2
  • 1
  • 1
  • 1
  • 1
  • 1
  • 1
  • 1
  • 1
  • 1
  • 1
Human

Wirt

  • 33
  • 3
Kaninchen

Klonalität

  • 36
Polyklonal

Konjugat

  • 15
  • 2
  • 1
  • 1
  • 1
  • 1
  • 1
  • 1
  • 1
  • 1
  • 1
  • 1
  • 1
  • 1
  • 1
  • 1
  • 1
  • 1
  • 1
  • 1
  • 1
Dieser UBE2J2 Antikörper ist unkonjugiert

Applikation

  • 28
  • 13
  • 13
  • 7
  • 7
  • 4
  • 3
  • 2
  • 2
  • 1
  • 1
Western Blotting (WB), Immunohistochemistry (IHC), ELISA
  • Bindungsspezifität

    • 15
    • 4
    • 2
    • 2
    • 1
    • 1
    AA 1-230

    Verwendungszweck

    UBE2J2 Antibody

    Kreuzreaktivität

    Ratte

    Aufreinigung

    Antigen Affinity Purified

    Immunogen

    Recombinant Human Ubiquitin-conjugating enzyme E2 J2 protein (1-230AA)

    Isotyp

    IgG
  • Applikationshinweise

    Optimal working dilution should be determined by the investigator.

    Beschränkungen

    Nur für Forschungszwecke einsetzbar
  • Format

    Liquid

    Buffer

    PBS with 0.02 % sodium azide, 50 % glycerol, pH 7.3.

    Konservierungsmittel

    Sodium azide

    Vorsichtsmaßnahmen

    This product contains Sodium azide: a POISONOUS AND HAZARDOUS SUBSTANCE which should be handled by trained staff only.

    Lagerung

    -20 °C,-80 °C

    Informationen zur Lagerung

    Upon receipt, store at -20°C or -80°C. Avoid repeated freeze.
  • Target

    UBE2J2 (Ubiquitin-Conjugating Enzyme E2, J2 (UBE2J2))

    Andere Bezeichnung

    UBE2J2

    Hintergrund

    Background: Catalyzes the covalent attachment of ubiquitin to other proteins. Seems to function in the selective degradation of misfolded membrane proteins from the endoplasmic reticulum (ERAD)

    Aliases: NCUBE-2 antibody, NCUBE2 antibody, Non-canonical ubiquitin-conjugating enzyme 2 antibody, PRO2121 antibody, UB2J2_HUMAN antibody, UBC6 antibody, UBC6 homolog antibody, ube2j2 antibody, Ubiquitin conjugating enzyme 6 antibody, Ubiquitin-conjugating enzyme E2 J2 antibody, Yeast UBC6 homolog antibody

    UniProt

    Q8N2K1
Sie sind hier:
Chat with us!