Telefon:
+49 (0)241 95 163 153
Fax:
+49 (0)241 95 163 155
E-Mail:
orders@antikoerper-online.de

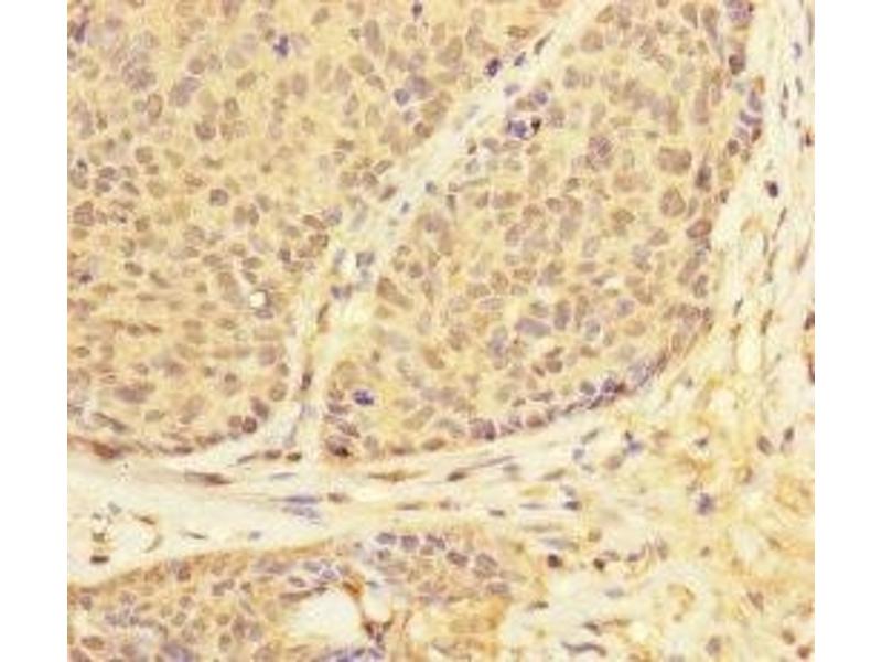
USP28 Antikörper (AA 430-580)

Der Kaninchen Polyklonal anti-USP28 Antikörper (ABIN7174303) detektiert spezifisch USP28 in WB, ELISA und IHC. Dieser Antikörper reagiert spezifisch mit Proben aus Human.
Produktnummer ABIN7174303
328,90 €
Zzgl. Versandkosten 20,00 € und MwSt
Lieferung nach: Deutschland
Lieferung in 11 bis 15 Werktagen

Kurzübersicht für USP28 Antikörper (AA 430-580) (ABIN7174303)

Target

Alle USP28 Antikörper anzeigen
USP28 (Ubiquitin Specific Peptidase 28 (USP28))

Reaktivität

  • 56
  • 19
  • 3
  • 1
  • 1
Human

Wirt

  • 68
  • 2
  • 1
Kaninchen

Klonalität

  • 57
  • 14
Polyklonal

Konjugat

  • 24
  • 6
  • 3
  • 3
  • 3
  • 3
  • 3
  • 3
  • 3
  • 3
  • 2
  • 2
  • 1
  • 1
  • 1
  • 1
  • 1
  • 1
  • 1
  • 1
  • 1
  • 1
  • 1
  • 1
  • 1
Dieser USP28 Antikörper ist unkonjugiert

Applikation

  • 47
  • 19
  • 13
  • 13
  • 13
  • 13
  • 11
  • 10
  • 5
  • 5
  • 3
  • 2
  • 1
Western Blotting (WB), ELISA, Immunohistochemistry (IHC)
  • Bindungsspezifität

    • 15
    • 8
    • 8
    • 7
    • 7
    • 3
    • 2
    • 2
    • 2
    • 1
    • 1
    • 1
    AA 430-580

    Verwendungszweck

    USP28 Antibody

    Aufreinigung

    Antigen Affinity Purified

    Immunogen

    Recombinant Human Ubiquitin carboxyl-terminal hydrolase 28 protein (430-580AA)

    Isotyp

    IgG
  • Applikationshinweise

    Optimal working dilution should be determined by the investigator.

    Beschränkungen

    Nur für Forschungszwecke einsetzbar
  • Format

    Liquid

    Buffer

    PBS with 0.02 % sodium azide, 50 % glycerol, pH 7.3.

    Konservierungsmittel

    Sodium azide

    Vorsichtsmaßnahmen

    This product contains Sodium azide: a POISONOUS AND HAZARDOUS SUBSTANCE which should be handled by trained staff only.

    Lagerung

    -20 °C,-80 °C

    Informationen zur Lagerung

    Upon receipt, store at -20°C or -80°C. Avoid repeated freeze.
  • Target

    USP28 (Ubiquitin Specific Peptidase 28 (USP28))

    Andere Bezeichnung

    USP28

    Hintergrund

    Background: Deubiquitinase involved in DNA damage response checkpoint and MYC proto-oncogene stability. Involved in DNA damage induced apoptosis by specifically deubiquitinating proteins of the DNA damage pathway such as CLSPN. Also involved in G2 DNA damage checkpoint, by deubiquitinating CLSPN, and preventing its degradation by the anaphase promoting complex/cyclosome (APC/C). In contrast, it does not deubiquitinate PLK1. Specifically deubiquitinates MYC in the nucleoplasm, leading to prevent MYC degradation by the proteasome: acts by specifically interacting with isoform 1 of FBXW7 (FBW7alpha) in the nucleoplasm and counteracting ubiquitination of MYC by the SCF(FBW7) complex. In contrast, it does not interact with isoform 4 of FBXW7 (FBW7gamma) in the nucleolus, allowing MYC degradation and explaining the selective MYC degradation in the nucleolus. Deubiquitinates ZNF304, hence preventing ZNF304 degradation by the proteasome and leading to the activated KRAS-mediated promoter hypermethylation and transcriptional silencing of tumor suppressor genes (TSGs) in a subset of colorectal cancers (CRC) cells (PubMed:24623306).

    Aliases: Deubiquitinating enzyme 28 antibody, KIAA1515 antibody, Ubiquitin carboxyl terminal hydrolase 28 antibody, Ubiquitin carboxyl-terminal hydrolase 28 antibody, ubiquitin carboxyl-terminal hydrolase 28 variant 1 antibody, Ubiquitin specific peptidase 28 antibody, Ubiquitin specific processing protease 28 antibody, Ubiquitin specific protease 28 antibody, Ubiquitin thioesterase 28 antibody, Ubiquitin thiolesterase 28 antibody, Ubiquitin-specific-processing protease 28 antibody, UBP28_HUMAN antibody, USP 28 antibody, USP28 antibody, USP28 protein antibody

    UniProt

    Q96RU2
Sie sind hier:
Chat with us!